Foram encontradas 801 questões.
Um paciente do gênero masculino, 39 anos de idade, procurou tratamento odontológico queixando-se de fortes dores na hemiarcada superior. A dor tinha característica difusa, espontânea que piorava em decúbito. O exame clinico revelou presença de restaurações fraturadas com cárie secundária nos elementos 14 e 13, e presença de lesão cariosa profunda no 15. Durante os exames complementares, observou-se que o dente 14 e 13 responderam com dor forte de curta duração após a remoção do estimulo a frio, no entanto o dente 15 respondeu mais intensamente com declínio lento. Não houveram respostas dolorosas quanto aos testes de percussão e palpação.

Patologia oral & maxilofacial / Brad Neville... [et al.] ; [tradução Danielle Resende Camisasca Barroso... et al.]. — Rio de Janeiro : Elsevier, 2009 |
Em relação ao caso clinico, assinale a alternativa correta.
Provas
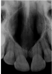
Um paciente de 24 anos, sexo feminino, procurou atendimento odontológico queixando-se de um desconforto pela tumefação da região anterior do palato. Na avaliação do exame radiográfico periapical apresentou uma imagem radiolúcida bem-circunscrita próxima ou na linha média da região anterior de maxila, entre os ápices dos incisivos centrais, sendo observado o deslocamento das raízes dos incisivos. O paciente não se queixava de dor, nem relatou história de trauma ou de procedimento cirúrgico nessa região. Observou-se que no exame clínico, os incisivos superiores se apresentavam íntegros, sendo que os testes de percussão, profundidade de sondagem e palpação na área do vestíbulo, não foram identificados sinais de anormalidades, bem como os testes de sensibilidade pulpar apresentaram -se dentro da normalidade. Ainda na inspeção observou-se uma tumefação firme assintomática, porém o paciente percebeu que ela vem aumentando de tamanho. Diante do caso acima relatado, qual o diagnóstico provável?
Provas
Um paciente, do gênero feminino com 26 anos de idade, queixou-se de dor do tipo ferroada no dente 15, que se manifestava principalmente quando ela bebia água, mas rapidamente cessa ao remover o estímulo. Relatou, também, agulhada quando mastigou um pedaço de pão sobre esse dente. Ao realizar o exame clínico, verificou-se que havia a presença de cárie oclusal/mesial subjacente a restauração fraturada. No exame radiográfico, observou-se rarefaciência na região correspondente à cárie, com comprometimento de porção significativa da espessura da dentina, mas sem comunicação com a câmara pulpar. Não foi observado a presença de lesão periapical, sendo que a estrutura de suporte ósseo estava nos padrões de normalidade. (0,3)
Com base nesse caso clínico, julgue os itens a seguir em V ou F e em seguida assinale a alternativa correta:
I. O tipo de dor relatado é comum nos casos em que não há comprometimento pulpar em que há estimulação das terminações nervosas livres das fibras do tipo A presentes, predominantemente, na periferia da polpa coronária.
II. No caso em consideração, a sensação descrita, devido ao tempo relatado pelo paciente, é conseqüência da estimulação das terminações nervosas das fibras dos tipos A-delta e C
III. Neste caso , o provável diagnóstico clinico refere-se a uma pulpite reversível, cujo tratamento será a remoção do tecido cariado, proteção pulpar e restauração definitiva.
IV. O teste de percussão deve ser aplicado sobre os dentes vizinhos e no dente objeto da queixa principal, para verificação da saúde do periodonto apical, devendo esse recurso ser utilizado como rotina diagnóstica, mesmo quando se trata de polpa vital.
V. Na complementação diagnóstica, o teste à palpação irá definir o quadro clinico acima, pois irá evidenciará os aspectos inflamatórios periapicais presentes neste caso.
Provas
A Odontometria radiográfica ou eletrônica são denominações empregadas a uma etapa do tratamento endodôntico, sendo o momento pelo qual o comprimento do dente é mensurado, permitindo assim a identificação das referências necessárias para o estabelecimento do limite apical de instrumentação. Sobre esta etapa, considere as afirmativas abaixo:
I. Algumas condições como isolamento absoluto deficiente, restaurações com infiltrações cervicais, excesso de solução na câmara pulpar e restaurações metálicas podem dificultar a aferição do limite apical pelo método eletrônico.
II. A falta de coincidência do forame apical com o vértice radicular na maioria dos dentes, a variação das distâncias entre essas entidades anatômicas e o posicionamento das curvaturas são considerados fatores limitantes dos métodos radiográficos.
III. Não há limitações dos métodos radiográficos para a localização da constrição apical pois em 80% dos casos elas coincidem com o ápice radiográfico.
IV. Uma limitação dos métodos radiográficos para a obtenção do comprimento de trabalho refere-se ao fato de a imagem radiográfica de processos reabsortivos em tecidos duros não mostrar, com precisão, os estágios iniciais do processo destrutivo.
V. Uma das vantagens da odontometria eletrônica é sua precisão nos casos de dentes com rizogênese incompleta, onde o aparelho nos indica o nível onde termina o canal dentinário, limite difícil de ser detectado nas radiografias.
Estão corretas apenas as afirmativas
Provas
Embora seja expressiva, a redução da carga microbiana verificada após a finalização da limpeza e da modelagem do canal radicular, muitas vezes o tratamento endodôntico requer a colocação de uma medicação intracanal entre sessões, com o objetivo de potencializar o processo de desinfecção do sistema de túbulos dentinários. Diante disso, julgue os itens seguintes em V ou F e, em seguida assinale a alternativa correta:
I. A hidrossolubilidade do veículo empregado pode alterar a velocidade de dissociação e difusão iônica de íons hidroxila do hidróxido de cálcio.
II. O hidróxido de cálcio oferece duas principais propriedades enzimáticas, a de inibir enzimas bacterianas (efeito antibacteriano) e a de estimular enzimas teciduais, como a fosfatase alcalina, induzindo ao efeito mineralizador.
III. A maior facilidade de eliminação das bactérias dentro do canal radicular é atribuída a maior velocidade de dissociação e difusão iônica do hidróxido de cálcio quando misturado em veículo oleoso
IV. O hidróxido de cálcio causa a hidrólise do lipídio A, destruindo ligações éster dentro da molécula de LPS, que são endotoxinas presentes da membrana externa da parede celular de bactérias gram-positivas.
V. Os íons hidroxila do hidróxido de cálcio devem difundir-se pela dentina e alcançar níveis suficientes para ter efeito letal, no entanto, a hidroxiapatita, principal componente inorgânico da dentina, tem efeito tampão para substâncias alcalinas, limitando sua ação.
Provas
A instrumentação dos canais radiculares visa o controle da infecção endodôntica através da instrumentação mecânica. Infelizmente, restos orgânicos e bactérias podem permanecer dentro dos canais radiculares, principalmente devido as complexidades anatômicas, mesmo após meticuloso procedimento quimico-mecânico. Portanto, as medicações intracanais atuam eliminando ou limitando a proliferação dos microorganismos que sobreviveram ao preparo químico-mecânico. Com relação as medicação de hidróxido de cálcio pode-se afirmar, EXCETO:
Provas
Na endodontia, os agentes quelantes são amplamente utilizados durante a fase do preparo químico cirúrgico. Conhecendo as propriedades dessas substâncias, pode-se afirmar que:
Provas
As substâncias químicas auxiliares têm sido usadas durante e imediatamente após o preparo dos canais para remover debris e tecido pulpar necrótico e para eliminar microorganismos e toxinas dos canais. A propósito das soluções irrigadoras utilizadas em endodontia assinale a alternativa correta:
Provas
Os micro-organismos são os fundamentais agentes etiológicos das patologias de origem endodôntica, desempenhando um papel importante na contaminações dos canais radiculares, sendo assim pode-se afirmar que:
Provas
Em relação aos princípios do acesso e localização dos canais radiculares é correto afirmar que:
Provas
Caderno Container