Foram encontradas 30 questões.
Foi esse o caminho percorrido no ano passado por Marah Khamis, de 23 anos, ao lado do marido, dos pais e de três irmãs, que deixaram Damasco depois que um familiar desenvolveu um câncer em consequência de uma bomba química. Os bens foram convertidos em passagens aéreas para o Brasil. Desembarcaram com poucas malas e economias suficientes para algumas semanas. O único endereço em mente era a mesquita de Guarulhos, onde foram acolhidos e se juntaram a cerca de 150 conterrâneos que seguiram o mesmo itinerário – hoje, o país contabiliza 2.077 refugiados sírios, segundo a ONU.
Uma tragédia também foi o motivo que trouxe ao Brasil a síria Fateh Saymeh, de 29 anos, o marido, Mohamed Saymeh, e as duas filhas de cinco anos. “Minha casa explodiu na minha frente", lembra Fateh, de fala calma e serena ante as memórias da guerra. A indignação fica por conta do marido, que assumiu uma dura rotina para sustentar a família. Saymeh é funcionário de um restaurante das 9h às 18h, o que lhe rende 1.000 reais por mês – dinheiro que tem como destino o aluguel da casa. Para complementar a renda, ele trabalha na Feira da Madrugada, no Brás. Embora ainda não consiga se comunicar em português, ele já aprendeu a pronunciar as únicas palavras que definem sua realidade – e a de milhares de brasileiros: “Muito cansado".
(Disponível em: http://veja.abril.com.br/noticia/brasil/recomeco-a-vida-dos-refugiados-sirios-em-sao-paulo. Acesso em: setembro de 2015.)
Provas
Provas
Provas
Provas

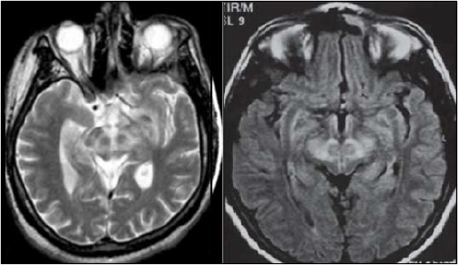
(Disponível em: https://cachorroidiota.files.wordpress.com/2012/08/2.png e Barra FR, Gonçalves FG, Matos VL, Jovem CL, Mendonça JLF, Amaral LLF, delCarpio-O’Donovan R. Sinais em neurorradiologia – Parte 2. Radiol Bras. 2011 Mar/Abr;44(2):129–133.)
Qual a patologia mais comumente relacionada ao achado nas imagens anteriores?
Provas
Sobre o uso de contrastes em radiologia, analise as afirmativas a seguir.
I. A sensibilidade da RM ao gadolínio é maior que a da tomografia computadorizada ao contraste iodado. Além disso, o volume médio de contraste administrado por via intravenosa nos exames de RM é cerca de 5 a 15 vezes menor do que o utilizado com os contrastes iodados na tomografia computadorizada.
II. Considera-se, em geral, que os contrastes à base de gadolínio são mais seguros que os contrastes à base de iodo.
Assinale a alternativa correta.
Provas

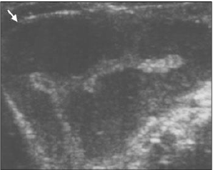
(Disponível em: http://www.scielo.br/scielo.php?pid=S0100-39842005000300010&script=sci_arttext.)
Assinale a hipótese diagnóstica mais provável para este caso.
Provas
“Estima-se que 10-18% das mulheres menopausadas assintomáticas tenham cistos ovarianos simples, e que 3% destas tenham cistos ovarianos complexos. Face à alta prevalência de cistos e à relativa baixa incidência (1 a cada 2.500 mulheres/ano) com câncer de ovário na população, há inúmeros estudos tentando identificar pacientes de maior risco.”
(Disponível em: http://www.hospitalperola.com.br/manual.pdf.)
Assinale o método de escolha para avaliação de pacientes sintomáticas em que se suspeita de câncer ovariano.
Provas
Provas
Provas
Caderno Container