Foram encontradas 385 questões.
A pesquisa de anticorpos irregulares séricos (PAI) serve para avaliar anticorpos irregulares
Provas
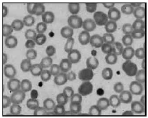
O Laboratório de Análises Clínicas, pertencente a uma UBS de São Paulo, recebeu uma equipe de plantonistas médicos para discussão de caso clínico referente ao laudo de hemograma de uma paciente, sexo feminino, 45 anos, que apresentava o valor de hemoglobina de 5,7 g/dL com 250 eritroblastos contados em relação a diferencial de 100 leucócitos e ferritina sérica elevada de 350 ng/mL.
Imagem de lâmina periférica

(Imagem gentilmente cedida pelo Laboratório de Análises Clínicas da FMABC)
A imagem da lâmina indica a pesquisa ao diagnóstico para a seguinte patologia:
Provas
Realizado exame de hemograma, com leitura de lâmina de esfregaço periférico de uma criança de 7 anos, apresentando quadro febril e herpes simples. No laudo, foi relatado a presença de grânulos gigantes nos leucócitos e pancitopenia.
Imagem de lâmina periférica

(Imagem gentilmente cedida pelo Laboratório de Análises Clínicas da FMABC)
A imagem dada demonstra um leucócito contendo alterações citoplasmática peculiares a
Provas
Os testes de agregação plaquetária avaliam a capacidade das plaquetas se agregarem em resposta ao acréscimo de vários ativadores (p. ex., colágeno, adrenalina, ADP ou ristocetina), e é considerada um distúrbio hereditário intrínseco das plaquetas.
Assinale a alternativa que indica a patologia hemostática que é acometida por distúrbios de ativação plaquetária.
Provas
Paciente idoso tem o diagnóstico de Púrpura Trombocitopênica Idiopática, e seu último hemograma revelou valor de 35 000 plaquetas acompanhado de elevação de volume plaquetário médio (VPM) 13.0 !$ \mu !$m3, conforme demonstra imagem a seguir.
Imagem: Lâmina de sangue periférico

(Imagem gentilmente cedida pelo Laboratório de Análises Clínicas da FMABC)
Essa alteração do índice VPM é indicativo do processo patológico de
Provas
Na hemostasia, o exame Tempo de Protrombina avalia a via extrínseca e comum da cascata de coagulação.
O tempo de formação dessa coagulação empregada na técnica laboratorial automatizada tem como princípio a presença do plasma citratado do paciente adicionado a quais componentes para avaliação do tempo de protrombina?
Provas
A mutação no gene da protrombina e o Fator V de Leiden estão associados ao risco de trombose venosa, assim como a mutação no gene da Metilenotetrahidrofolato Redutase (MTHFR), sendo esta associada ao aumento do risco de doença coronariana e ao aumento dos níveis de
Provas
Na doença da hemoglobinúria paroxística noturna, que cursa uma doença adquirida da stem cell hematopoiética, caracterizada por anemia hemolítica crônica, episódios trombóticos, e com frequência pancitopenia, o diagnóstico é feito por:
Provas
Pacientes diabéticos e que possuem síndrome metabólica realizam periodicamente exames de sangue laboratoriais para acompanhamento de sua saúde. A realização do exame de hemoglobina glicada é aplicada como referência no diagnóstico e monitoramento dessas patologias; todavia, algumas condições clínicas podem interferir no resultado desse analito.
O exame de hemoglobina glicada deixa de ser aplicável no caso de pacientes com
Provas
Realizado o esfregaço de mielograma de um paciente masculino de 58 anos, devido à suspeita de uma Síndrome Mielodisplásica que apresentou duas citopenias, plaquetária e neutropênica, somadas a uma hiperplasia da série eritroide. Nesta extensão medular visualizada na imagem microscópica a seguir, identifique o nome da coloração que foi aplicada e, também, o princípio desse corante.
Imagem: Lâmina de mielograma

(Imagem gentilmente cedida pelo Laboratório de Análises Clínicas da FMABC)
Provas
Caderno Container