Foram encontradas 395 questões.
Provas

Segundo os critérios de guia de 2015 da FIGO, em relação às contrações uterinas, assinale a alternativa correta quanto à cardiotocografia apresentada.
Provas

Considere primigesta de 40 semanas, em trabalho de parto conduzido com ocitocina em dose baixa. A cardiotocografia basal dos últimos 90 minutos mostra uma imagem como a apresentada.
De acordo com os critérios do guia de 2015 da FIGO, em relação à frequência cardíaca fetal, a cardiotocografia apresentada está
Provas


Algumas vezes, o cariótipo humano pode apresentar variações que se configuram em mutações em grande escala, as alterações cromossômicas, e que são classificadas como numérica e estrutural. Os cariótipos apresentados (I e II) representam alterações cromossômicas numéricas. Assinale a alternativa que indica a nomenclatura correta de cada distúrbio.
Provas

A pirâmide nasal tem a respectiva forma final vinculada ao desenvolvimento dos ossos que compõem o terço médio da face e, frequentemente, ocorre em razão do padrão genético de cada pessoa. É possível, em alguns casos, que alterações no desenvolvimento dos ossos dessa região proporcionem desvios externos associados à anormalidade no interior das cavidades nasais, como o desvio de septo. Essas alterações podem ocorrer, quase exclusivamente, em razão do padrão hereditário, mas podem também ser adquiridas, por exemplo, após traumas ou processos inflamatórios ou infecciosos crônicos na região.
O heredograma apresentado foi constituído com base na anamnese familiar de um indivíduo portador do desvio acentuado do septo nasal. Assinale a alternativa que apresenta o padrão de herança sugerido por esse heredograma.
Provas
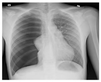
No que concerne a esse caso clínico hipotético, e considerando a imagem radiográfica apresentada, assinale a alternativa que indica, respectivamente, a hipótese diagnóstica e o tratamento para esse paciente.
Provas

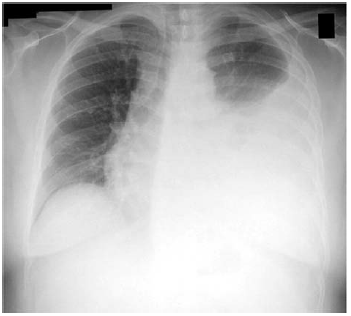
Com base nesse caso clínico hipotético e na imagem radiográfica apresentada, e considerando os conhecimentos médicos correlatos, assinale a alternativa correta.
Provas
Certo médico está trabalhando em ambulância que dá suporte a uma corrida competitiva (maratona) e, em determinado instante, em local muito próximo a ele, pessoas o convocam para ajudar, mostrando-lhe um atleta caído no chão. Ele aparentemente perdeu a consciência antes de cair e encontra-se imóvel, respirando, inconsciente. Ao aferir os sinais vitais, observam-se pressão arterial de 80 mmHg x 30 mmHg e eritema difuso. A frequência cardíaca do atleta, nesse momento, é 30 bpm, e a onda da curva de oximetria está com forma diferente do habitual, conforme se verifica na figura apresentada.

Com base nessa situação hipotética, assinale a alternativa que corresponde, respectivamente, ao provável diagnóstico e à conduta compatível.
Provas
Nesse caso, o distúrbio eletrolítico apresentado pelo referido
paciente trata-se deProvas

Paciente do sexo masculino, de 62 anos de idade, previamente hígido, com diagnóstico de adenocarcinoma de pulmão com mutação do EGFR, metastático para fígado, comparece à consulta ambulatorial pós-ciclo 1 de primeira linha de tratamento paliativo com gefitinibe. Refere aparecimento de lesões em tronco após o início do tratamento, sem outras queixas. Ao exame dermatológico, identifica-se rash eritematoso papulovesicular acneiforme pruriginoso em toda a extensão anterior e posterior do tronco, bem como em região malar grau 3 pelo CTCAE 4.0, como na imagem apresentada, claramente relacionadas ao tratamento com gefitinibe. Com relação ao caso descrito, assinale a alternativa correta.
Provas
Caderno Container