Magna Concursos

Foram encontradas 600 questões.

3986146 Ano: 2025
Disciplina: Medicina
Banca: VUNESP
Orgão: SES-SP
Qual subtipo de linfoma não Hodgkin associado ao HIV está relacionado ao herpes vírus humano tipo 8 (HHV8)?
 

Provas

Questão presente nas seguintes provas
3986145 Ano: 2025
Disciplina: Medicina
Banca: VUNESP
Orgão: SES-SP
A hemocromatose hereditária (HH) é uma doença do metabolismo do ferro, determinada geneticamente e associada a mutações em diferentes genes.

Em relação a essa doença, é correto afirmar:
 

Provas

Questão presente nas seguintes provas
3986144 Ano: 2025
Disciplina: Medicina
Banca: VUNESP
Orgão: SES-SP
Observe a imagem a seguir:

Enunciado 4918596-1
(Arquivo pessoal; imagem usada com autorização)

Essa imagem sugere o diagnóstico de
 

Provas

Questão presente nas seguintes provas
3986143 Ano: 2025
Disciplina: Medicina
Banca: VUNESP
Orgão: SES-SP
O Grupo de Trabalho Internacional de Mieloma (IMWG) expandiu a estratificação de risco pelo ISS adicionando anormalidades citogenéticas (R-ISS).

Constitui anormalidade de alto risco:
 

Provas

Questão presente nas seguintes provas
3986142 Ano: 2025
Disciplina: Medicina
Banca: VUNESP
Orgão: SES-SP
O manejo de pacientes com macroglobulinemia de Waldestrom sintomática depende da idade, estado funcional, presença e gravidade dos sintomas (especialmente sintomas relacionados à hiperviscosidade) e presença de outras comorbidades.

Aumentos transitórios nos níveis séricos de IgM e hiperviscosidade associada podem ocorrer na terapia com
 

Provas

Questão presente nas seguintes provas
3986141 Ano: 2025
Disciplina: Medicina
Banca: VUNESP
Orgão: SES-SP
Os promielócitos neoplásicos têm a capacidade única de diferenciar com a exposição ao ATRA. A síndrome de diferenciação (SD) é uma complicação durante a indução causada pelos efeitos de agentes diferenciadores (ATRA e ATO) nos blastos leucêmicos.

A manifestação mais comum da sindrome de diferenciação é
 

Provas

Questão presente nas seguintes provas
3986140 Ano: 2025
Disciplina: Medicina
Banca: VUNESP
Orgão: SES-SP
A avaliação da resposta ao tratamento no cHL deve ser feita usando PET/CT graduado pelo sistema de 5 pontos de deauville.
Após tratamento quimioterápico, um paciente apresentou adenomegalia axilar de 3,0 × 3,2 cm com SUV máx. 3,0. Não havia hipermetabolismo em outras regiões. SUV máx. hepático de 4,4 e SUV pool mediastinal de 2,0.
Tal resultado corresponde a
 

Provas

Questão presente nas seguintes provas
3986139 Ano: 2025
Disciplina: Medicina
Banca: VUNESP
Orgão: SES-SP
O valor prognóstico do FISH para anormalidades recorrentes na leucemia linfocítica crônica (LLC) tem sido extensivamente estudado, e uma abordagem hierárquica para classificar o risco é clinicamente útil.

A estratificação hierárquica para o risco de progressão da doença é:
 

Provas

Questão presente nas seguintes provas
3986138 Ano: 2025
Disciplina: Medicina
Banca: VUNESP
Orgão: SES-SP
Gemtuzumabe ozogamicina (GO) melhorou os resultados quando adicionado à quimioterapia de indução intensiva nas leucemias mieloide agudas que expressam:
 

Provas

Questão presente nas seguintes provas
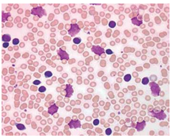
3986137 Ano: 2025
Disciplina: Medicina
Banca: VUNESP
Orgão: SES-SP
Paciente feminina, 28 anos, dá entrada no PS com quadro de petéquias, anemia e hiperleucocitose, com predomínio de células, conforme esfregaço a seguir:

Enunciado 4918586-1
(Arquivo pessoal; imagem usada com autorização)

A alteração genética mais provavelmente envolvida é:
 

Provas

Questão presente nas seguintes provas