Foram encontradas 365 questões.
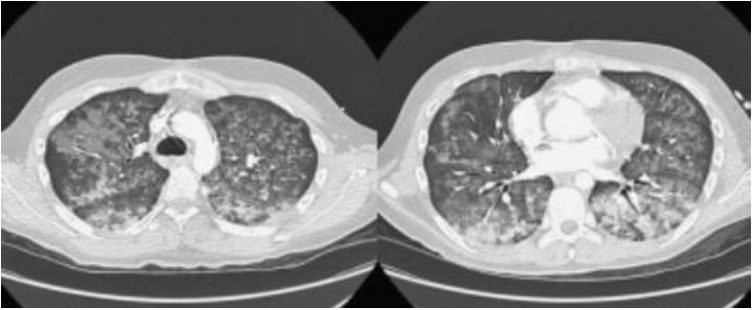
Jovem de 20 anos estava hígido até duas semanas atrás, quando começou a apresentar desconforto torácico e fraqueza de membros. Ao exame: PA = 120/90mmHg; FC = 75bpm; FR = 24irpm; temperatura axilar = 36,3ºC. Exame cardiovascular sem alterações, mas com estertores crepitantes nos 1/3 inferiores de ambos os pulmões. No hemograma: hematócrito = 30,7%; hemoglobina = 10,4g/dL; plaquetas = 345mil/µL; leucograma = 14.500/µL; ureia = 214mg/dL; creatinina = 30mg/dL; potássio = 5,5mEq/L; sódio = 141mEq/L; cálcio = 7,6mg/dL; fósforo = 7,3mg/dL; magnésio = 3,0mg/dL; proteína total = 5,1g/dL (albumina 2,1g/dL); AST = 18ui/L; ALT = 14ui/L com EAS apresentando 3+ de proteína. Os complementos séricos estavam normais e os seguintes exames foram negativos: HBsAG, antiHCV, FAN e ANCA. Iniciado procedimento de hemodiálise, no 4º dia de hospitalização, apresentou hemoptise volumosa com instabilidade hemodinâmica. Foi para o centro de terapia intensiva e realizou tomografia computadorizada de tórax (conforme imagem a seguir). A dosagem do anticorpo antimembrana basal glomerular foi de 257EU/mL (valor de referência: < 5EU/mL).
O diagnóstico mais provável é:
O diagnóstico mais provável é:
Provas
Questão presente nas seguintes provas
Com o aumento da disponibilidade dos exames de imagem, tem crescido a descoberta da incidência de nódulos renais incidentais. Além disso, também vem aumentando a detecção de lesões pequenas (< 2cm), benignas e de neoplasias de baixo grau. Alguns estudos demonstraram que lesões benignas, nesse contexto, podem representar até 42% dos casos. Sobre a vigilância ativa de lesões focais renais, é correto afirmar que:
Provas
Questão presente nas seguintes provas
Menino de 12 anos é levado por familiares à emergência, após ser alvejado com dois tiros de fuzil no abdômen, durante um confronto numa comunidade. Os orifícios de entrada eram, respectivamente, no hipocôndrio e flanco direitos e orifícios de saída na região lombar nos níveis de L2 e L4. Após as medidas de sustentação da vida e estabilização hemodinâmica, uma tomografia computadorizada (TC) contrastada evidenciou lesões em múltiplos órgãos. Os rins concentraram e eliminaram contraste com boa densidade, com ureteres pérvios bilateralmente. Submetido a uma laparotomia exploradora, foram encontradas várias lesões intestinais e uma lesão na borda inferior do fígado e da vesícula biliar. O inventário da cavidade não detectou lesões parenquimatosas nos rins e em seus sistemas coletores e excretores. Todas as lesões encontradas foram resolvidas. No 10º dia pós-operatório, uma TC de controle não evidenciou complicações nos órgãos afetados, mas o rim direito retardou em eliminar o contraste e ficou evidente uma interrupção da eliminação do contraste no nível de L3/L4, com discreto borramento retroperitoneal nesse nível. Nesse caso, o diagnóstico mais provável é:
Provas
Questão presente nas seguintes provas
Aos pacientes com recorrência bioquímica, após todos os tratamentos locais do câncer de próstata, sem doença metastática, a indicação deve ser:
Provas
Questão presente nas seguintes provas
Em relação ao câncer de bexiga não músculo invasivo (CBNMI), a imunoterapia com pembrolizumab deve ser feita em pacientes não responsivos ao BCG de alto grau com:
Provas
Questão presente nas seguintes provas
Sobre o carcinoma urotelial de trato urinário superior hereditário, é INCORRETO afirmar que:
Provas
Questão presente nas seguintes provas
Paciente de 68 anos, tabagista, chega ao atendimento com quadro de hematúria macroscópica recorrente. Realizou TC que evidenciou falha de enchimento da pelve renal direita com suspeita de invasão, além de linfonodomegalia regional de 2cm. A citologia evidenciou: atipias celulares e células uroteliais neoplásicas de alto grau e a cistoscopia não evidenciou lesão. A conduta mais apropriada, nesse caso, é realizar:
Provas
Questão presente nas seguintes provas
Paciente chega ao ambulatório de litíase, trazendo seu exame de análise do sedimento urinário. O laudo do exame sumário da urina descrevia cristalúria, que foi complementada com microscopia, cujo laudo descrevia cristais de formatos hexagonais. O tipo de cálculo correspondente à microscopia descrita é o(a):
Provas
Questão presente nas seguintes provas
O antibiótico contraindicado em crianças abaixo de 3 meses de idade é o(a):
Provas
Questão presente nas seguintes provas
As imagens radiológicas a seguir apontam um diagnóstico de:


Provas
Questão presente nas seguintes provas
Cadernos
Caderno Container