Foram encontradas 200 questões.
São considerados princípios básicos descritos na LEI Nº 8.080, DE 19 DE SETEMBRO DE 1990, que dispõe sobre as condições para a promoção, proteção e recuperação da saúde, a organização e o funcionamento dos serviços correspondentes e dá outras providências:
Provas
Questão presente nas seguintes provas
A reparação tecidual acontece em várias fases. Em que ordem de eventos ocorre?
Provas
Questão presente nas seguintes provas
Na área de Administração de projetos são definidas certas variáveis vinculadas ao problema de aceleração de tarefas, aos efeitos de diminuir o tempo total previsto de duração do projeto.
I) O tempo normal (TN) é o tempo necessário para concluir uma atividade sob condições de incerteza moderada.
II) O custo normal (CN) é o custo da atividade associada ao tempo normal.
III) O tempo de aceleração (TA) é o tempo mais curto possível para concluir a atividade.
IV) O custo de aceleração (CA) é o custo da atividade associada ao tempo de aceleração.
Das definições anteriores, está(ão) correta(s) apenas:
Provas
Questão presente nas seguintes provas
O processo de trombose ocorre devido à coagulação do sangue no interior dos vasos sanguíneos de um animal vivo. Dentre as alternativas abaixo é correto afirmar que o mecanismo que desencadeia essa alteração é:
Provas
Questão presente nas seguintes provas
Relacione as colunas e após assinale a alternativa que contém a sequência correta correspondente:
I) Seneciose
II) Fotossensibilização secundária
III) Hepatite infecciosa canina
IV) Hemoglobinúria bacilar
V) Toxemia da prenhez
( ) Doença causada por um Adenovírus 1, caracteriza-se microscopicamente por áreas de necrose hepática, congestão e hemorragia com
presença de corpúsculos de inclusão intranucleares nos hepatócitos.
( ) Doença hepática que cursa com fibrose hepática.
( ) Doença infecciosa causada pelo Clostridium haemolyticum, necessita de áreas de baixa tensão de oxigênio no fígado, para se proliferar e produzir toxinas, agravando as lesões hepáticas e causando um infarto característico.
( ) Doença que ocorre em herbívoros quando a disfunção hepática ou obstrução biliar prejudicam a excreção normal de filoeritrina junto com a bile, depositando-se agentes fotodinâmicos nos tecidos, necessitando de radiação solar para sua ocorrência.
( ) É uma enfermidade que ocorre quando o metabolismo das gorduras se torna excessivo, devido ao aumento das necessidades de energia. É caracterizada pelo aumento nas concentrações de corpos cetônicos no sangue, hipoglicemia e diminuição na concentração de glicogênio hepático.
Provas
Questão presente nas seguintes provas
A característica do preparo cavitário para uma restauração de amálgama MO no dente 36 deve apresentar:
Provas
Questão presente nas seguintes provas
Considerando as teorias sobre estilos de liderança, analise as afirmações a seguir.
I) No Estilo de Liderança Autocrática, o líder fixa as diretrizes, sem qualquer participação do grupo, enquanto no Estilo de Liderança Liberal as diretrizes são decididas pelo grupo com total participação do líder.
II) No Estilo de Liderança Democrática a divisão das tarefas fica a critério do grupo e cada membro tem liberdade de escolher seus companheiros de trabalho.
III) No Estilo de Liderança Liberal o líder não avalia o grupo nem controla os acontecimentos. Apenas comenta as atividades quando perguntado.
Está(ão) correta(s) apenas
Provas
Questão presente nas seguintes provas
O processamento técnico, inserido no processo de organização das coleções para disponibilização aos usuários, consiste em:
Provas
Questão presente nas seguintes provas
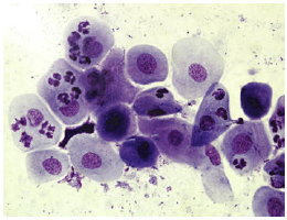
De acordo com a fase do ciclo estral podem ser detectadas alterações estruturais nos órgãos reprodutivos femininos. Através da colpocitologia, é possível estimar o momento mais adequado para cópula.

http://www.vetmed.lsu.edu/eiltslotus/theriogenology-5361/k-
9__vaginal_cytology.htm
Com base na imagem acima e em seus conhecimentos a respeito do ciclo estral na cadela, marque a alternativa correta:
Provas
Questão presente nas seguintes provas
Considerando a Instrução Normativa n.° 17 de 13 de julho de 2006, que estabelece a Norma Operacional do Serviço de Rastreabilidade da Cadeia Produtiva de Bovinos e Bubalinos (SISBOV), existem alguns requisitos básicos de Rastreabilidade para Estabelecimentos Rurais aprovados no SISBOV.
Marque a alternativa que apresenta os requisitos básicos exigidas a esses Estabelecimentos.
Provas
Questão presente nas seguintes provas
Cadernos
Caderno Container