Foram encontradas 611 questões.
Homem, 47 anos, negro, tem diagnóstico de insuficiência cardíaca por miocardiopatia dilatada há 1 ano. Referia dispneia aos esforços na época do diagnóstico, a qual cedeu após instituição de furosemida 80 mg/dia por via oral. No momento, em uso apenas desta medicação, está assintomático. Trabalha como pedreiro e anda 18 quilômetros por dia de bicicleta para ir e voltar ao trabalho. Exame físico: Ritmo cardíaco regular em 2 tempos, com sopro sistólico 1+/4+ em foco mitral. Frequência cardíaca – 72 bpm, pressão arterial – 128X82 mmHg. Ausculta pulmonar sem alterações. Ecocardiograma mostra dilatação leve das câmaras esquerdas, com fração de ejeção de 37% (normal > 50%). Exames: creatinina – 0,78mg/dL, potássio – 3,7mg/dL. Qual a melhor conduta para este caso?
Provas
Paciente de 55 anos com fibrilação atrial crônica em anticoagulação com rivaroxabana, tabagista, apresentou quadro de dor torácica sendo diagnosticado infarto inferior com acometimento de VD. Foi transferido tardiamente ao nosso serviço sem terapia de reperfusão no serviço de origem. No terceiro dia pós infarto evoluído, com instabilidade hemodinâmica e febre, foi optado pela passagem de Swan-Ganz para interpretação do status hemodinâmico.
Ao registrar a curva de pressão do capilar pulmonar (pressão encunhada), qual das seguintes curvas não é esperada para este caso?
Provas
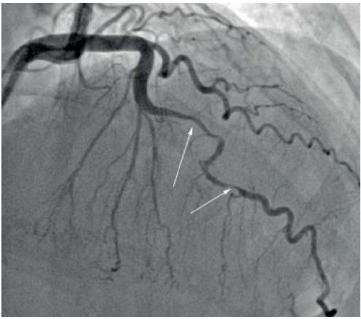
Mulher de 32 anos, deu entrada no em serviço de emergência com história de dor torácica. Conta que estava fazendo sua corrida rotineira de 5km quando apresentou forte dor precordial (intensidade 10/10) em aperto, de, associada a dispneia e sudorese, sem irradiação e que já durava mais de 1 hora. Previamente hígida, única medicação que fazia uso era anticoncepcional oral. Negava tabagismo ou história familiar de doenças cardíacas. Na chagada ao serviço de emergência foi realizado prontamente o ECG que é visto abaixo. O plantonista acionou a equipe de hemodinâmica, e a paciente foi levada ao cateterismo em 25 minutos. No momento do transporte sua dor melhorou (intensidade 2/10), e houve contato do laboratório dizendo que os marcadores de necrose miocárdica solicitados na urgência eram negativos. A imagem da coronariografia esquerda é apresentada abaixo. Baseado no caso clínico e imagem apresentada, qual opção melhor descreve o evento, e qual a melhor conduta?


Provas
Homem, 59 anos, é admitido na unidade de emergência com história de dor precordial e dispneia há 3 horas. Tem história de hipertensão em tratamento com hidroclorotiazida. Ao exame físico, encontra-se confuso, afebril, com pressão arterial – 84X50 mmHg; frequência cardíaca – 124 bpm; frequência respiratória – 25 irpm. A saturação em ar ambiente é 90%. A propedêutica pulmonar mostra estertores crepitantes. A extremidades estão frias.
O ECG está mostrado abaixo:

Aspirina e clopidogrel são administrados na sala de emergência. Qual a próxima conduta é a mais adequada neste caso?
Provas
Homem, 76 anos, foi admitido na unidade de emergência com dor precordial. Neste momento, fez o ECG mostrado abaixo. Foi levado à sala de hemodinâmica e submetido à intervenção coronária 20 horas após o início dos sintomas. No terceiro dia de internação hospitalar, desenvolveu dor precordial súbita e perda da consciência. Ao exame, encontrava-se com a atividade elétrica cardíaca sem pulso. As bulhas cardíacas estavam bastante hipofonéticas.

Qual o diagnóstico mais provável?
Provas
Caso clínico para questões 3 e 4:
Paciente do sexo masculino de 37 anos, natural e procedente de Campinas, previamente hígido e assintomático, procura atendimento cardiológico após seu irmão mais jovem de 27 anos ter falecido subitamente. Na entrevista inicial o paciente negava uso de substancias ilícitas, álcool ou medicações, informando que nunca havia passado em consulta com cardiologista e que praticava atividade física de moderada intensidade por 40 min 4 x por semana. Relatava também que seu pai foi diagnosticado com “doença no coração” quando era adolescente, tendo implantado cardiodesfibrilador (CDI) há 5 anos em outro serviço. Ao exame físico apresentava ausculta pulmonar e cardíacas normais, pressão arterial no membro superior esquerdo 118/72 mmHg, FC: 65bpm, pulsos simétrico, seu eletrocardiograma apresentava ritmo sinusal, FC: 67bpm, eixo do QRS normal, sobrecargas atrial esquerda e ventricular esquerda. O ecocardiograma bidimensional transtorácico demonstrou os seguintes achados: aumento discreto do átrio esquerdo, função biventricular preservada, massa do ventrículo esquerdo 248g, espessura do septo 31 mm, espessura da parede posterior 12 mm, trabeculação miocárdica normal, valva aórtica sem anormalidades, insuficiência mitral discreta, ausência de obstrução da via de saída do ventrículo esquerdo com arco aórtico sem alterações. Realizou também estudo de monitorização eletrocardiográfica com 3 canais por 24 hs (sistema Holter) que revelou ritmo de base sinusal com raras extra sístoles supra ventricular e ventricular isoladas sem demais amoralidades.
Baseando no caso clinico descrito acima, qual dos diagnósticos abaixo melhor se encaixa:
Provas
Mulher, 55 anos, comparece em consulta de rotina, sem queixas. Antecedentes pessoais: hipertensão arterial controlada com losartana 50 mg/dia. Sem história familiar de neoplasia. A paciente questiona sobre necessidade de rastreio para câncer de cólon. É correto afirmar:
Provas
Homem, 45 anos, procurou o pronto socorro com febre não aferida há oito dias acompanhada de tosse seca, coriza e fadiga. Há um dia evoluiu com dispneia aos médios esforços. Exame físico: peso 120 kg, altura 1,62 m, frequência respiratória 25 irpm, saturação O2 (ar ambiente) 90%. Pulmões: estertores crepitantes em campos médios. Recomenda-se:
Provas
Homem, 25 anos, com queixa de corrimento uretral há duas semanas, sem outros sintomas. Refere quadro semelhante há cinco anos, tratado com melhora. Exame físico: testículos e pênis normais à inspeção. Saída de secreção pela uretra. No local onde o paciente está sendo atendido não há como fazer a coleta da secreção uretral.
A conduta inicial é:
Provas
Homem, 28 anos, na consulta de inclusão no presídio referia tosse produtiva há dois meses, emagrecimento de 7 kg no período e uso frequente de substância psicoativa. Exame físico: peso 55 kg; altura 1,70m; FR 20 irpm; PA128/80 mmHg; FC 76 bpm. Gânglios cervicais posteriores à esquerda palpáveis, de 3 cm, coalescentes, com sinais flogísticos; orofaringe com presença de placas brancas, pilosas na borda lateral da língua. Restante sem alterações.
Sobre o teste rápido molecular para tuberculose é correto:
Provas
Caderno Container