Magna Concursos

Foram encontradas 1.047 questões.

578975 Ano: 2016
Disciplina: Medicina
Banca: CESGRANRIO
Orgão: UNIRIO
Qual é o acesso cirúrgico menos indicado para um nasoangiofibroma juvenil Chandler II?
 

Provas

Questão presente nas seguintes provas
578974 Ano: 2016
Disciplina: Medicina
Banca: CESGRANRIO
Orgão: UNIRIO
Provas:
Ainda há debate acerca da melhor técnica cirúrgica para o tratamento do câncer de esôfago. Uma vantagem da esofagectomia transhiatal quando comparada à técnica de Ivor-Lewis é
 

Provas

Questão presente nas seguintes provas
578973 Ano: 2016
Disciplina: Medicina
Banca: CESGRANRIO
Orgão: UNIRIO
Provas:
Homem, 60 anos, apresenta adenocarcinoma G2 que se inicia a 6 cm da margem anal e tem 4 cm de extensão, ocupando 50 % da circunferência do reto. A ressonância magnética da pelve mostrou linfonodomegalias no mesorreto e a tumoração localizada em reto extraperitoneal.
No tratamento multimodal do câncer retal,
 

Provas

Questão presente nas seguintes provas
578971 Ano: 2016
Disciplina: Medicina
Banca: CESGRANRIO
Orgão: UNIRIO
Provas:
Considere o caso descrito a seguir para responder à questão.
Um paciente de 43 anos é atendido na emergência com relato de atropelamento, resultando em trauma direto sobre a perna direita e presença de fratura exposta. Ao examiná-lo, verifica-se laceração cutânea de cerca de 3 cm, associada a dano extenso de tecidos moles. A radiografia do membro evidencia fratura transversa simples em tíbia.
No caso clínico descrito, o esquema antibiótico de primeira escolha a ser empregado é
 

Provas

Questão presente nas seguintes provas
578970 Ano: 2016
Disciplina: Medicina
Banca: CESGRANRIO
Orgão: UNIRIO
Provas:
Paciente de 30 anos, sexo feminino, estava na cadeira do dentista, quando apresentou quadro de movimentos tônicos por 10 segundos, com perda da consciência e liberação esfincteriana. Apresentou também dor muscular após o evento e ficou sonolenta por cerca de 30 segundos. O diagnóstico foi de
 

Provas

Questão presente nas seguintes provas
578969 Ano: 2016
Disciplina: Medicina
Banca: CESGRANRIO
Orgão: UNIRIO
Provas:
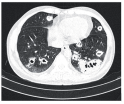
Mulher de 45 anos iniciou quadro de hemoptise e emagrecimento há 1 mês. Trouxe TC de tórax, sendo sua imagem mostrada abaixo. Pesquisa realizada de BAAR em 3 escarros espontâneos foi negativa. A TC de seios da face revelou sinusite. O EAS apresentava hematúria e proteinúria de 3+, confirmada em urina de 24 horas (1g de proteinúria). O hemograma era alterado apenas com anemia normocítica e normocrômica; a creatinina sérica era de 2,0 mg/dL, e a biópsia renal revelou glomerulonefrite pauci-imune. A biópsia de seios da face constatou presença de granuloma com necrose.
enunciado 578969-1 O diagnóstico dessa doença e o anticorpo que pode estar presente são, respectivamente,
 

Provas

Questão presente nas seguintes provas
578968 Ano: 2016
Disciplina: Medicina
Banca: CESGRANRIO
Orgão: UNIRIO
Provas:

O sistema renina-angiotensina-aldosterona é importante na fisiopatologia das doenças renais e seu adequado entendimento é essencial para minimizar a progressão da doença.

Com relação aos componentes desse sistema sabe-se que

 

Provas

Questão presente nas seguintes provas
578966 Ano: 2016
Disciplina: Medicina
Banca: CESGRANRIO
Orgão: UNIRIO
Provas:
Paciente de 40 anos, sexo feminino, negra, é trazida para emergência por febre e sonolência. Ao exame físico, apresentou-se hipocorada 3+/4+, icterícia +/4+, sem deficits focais, PA 120 x 80 mmHg, FC 120 bpm, FR 24 irpm, TA 39 ºC. As auscultas respiratória e cardíaca são normais, o abdômen sem alterações e os membros inferiores com petéquias. Exames iniciais revelaram HTº 20% VCM 90 HCM 30, leucócitos 8 mil/mm³ , plaquetas 30 mil/mm³ , bilirrubina total 4,0 mg/dL, sendo indireta de 3,0 mg/dL, creatinina 4,0 mg/dL. O tratamento foi feito com infusão de plasma com resolução do quadro. Esse diagnóstico, na sua forma clássica,
 

Provas

Questão presente nas seguintes provas
578965 Ano: 2016
Disciplina: Medicina
Banca: CESGRANRIO
Orgão: UNIRIO
Provas:
A linfadenectomia na cirurgia do câncer de estômago requer grande conhecimento anatômico da vascularização gástrica. As origens das artérias gastroepiploicas esquerda e direita são, respectivamente,
 

Provas

Questão presente nas seguintes provas
578964 Ano: 2016
Disciplina: Medicina
Banca: CESGRANRIO
Orgão: UNIRIO
Provas:
Homem de 50 anos, com hipertensão arterial pulmonar primária, classe funcional II e gasometria sem hipoxemia realizou cateterismo cardíaco direito para realização do teste da vasoreatividade. A pressão média de artéria pulmonar (mPAP) foi 50 mmHg. Após adenosina intravenosa, a mPAP foi para 30 mmHg. A medicação ambulatorial inicial para esse paciente será
 

Provas

Questão presente nas seguintes provas