Magna Concursos

Foram encontradas 276.545 questões.

4073004 Ano: 2026
Disciplina: Medicina
Banca: AOCP
Orgão: SES-SC
Provas:

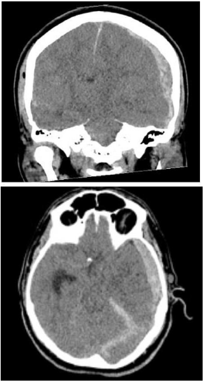
Paciente do sexo masculino, 23 anos, com quadro de traumatismo cranioencefálico após acidente automobilístico é levado para avaliação na emergência. Ao exame, apresentava Glasgow de 6. Foi realizada tomografia de crânio que mostrou o seguinte achado:

Enunciado 4576544-1

Quanto ao caso descrito e considerando o achado, é correto afirmar que

 

Provas

Questão presente nas seguintes provas
4073003 Ano: 2026
Disciplina: Medicina
Banca: AOCP
Orgão: SES-SC

De acordo com a Lei nº 8.080/1990, que trata da organização, direção e gestão do Sistema Único de Saúde (SUS), assinale a alternativa correta.

 

Provas

Questão presente nas seguintes provas
4073002 Ano: 2026
Disciplina: Medicina
Banca: AOCP
Orgão: SES-SC

A respeito dos direitos da criança e do adolescente previstos no Capítulo II do Estatuto da Criança e do Adolescente (ECA), assinale a alternativa correta.

 

Provas

Questão presente nas seguintes provas
4073001 Ano: 2026
Disciplina: Medicina
Banca: AOCP
Orgão: SES-SC

Sobre o estresse do cuidador no contexto de cuidados paliativos (CP), assinale a alternativa correta.

 

Provas

Questão presente nas seguintes provas
4073000 Ano: 2026
Disciplina: Medicina
Banca: AOCP
Orgão: SES-SC

Considerando as definições, diretrizes organizacionais, competências do Núcleo de Segurança do Paciente (NSP) e obrigações de monitoramento e notificação previstas na Resolução - RDC nº 36/2013, assinale a alternativa correta.

 

Provas

Questão presente nas seguintes provas
4072998 Ano: 2026
Disciplina: Medicina
Banca: AOCP
Orgão: SES-SC

Com base nos princípios éticos que regem a profissão médica, assinale a alternativa correta.

 

Provas

Questão presente nas seguintes provas
4072997 Ano: 2026
Disciplina: Medicina
Banca: AOCP
Orgão: SES-SC

Considerando os limites éticos da relação médico-paciente, especialmente no que diz respeito à autonomia, comunicação adequada e condutas em situações de risco, com base nas normas éticas previstas no Código de Ética Médica, assinale a alternativa correta.

 

Provas

Questão presente nas seguintes provas
4072996 Ano: 2026
Disciplina: Medicina
Banca: AOCP
Orgão: SES-SC

As metas nacionais de prevenção e controle de Infecções Relacionadas à Assistência à Saúde (IRAS) incluem diversos objetivos a serem alcançados até 2025. A respeito do tema, assinale a alternativa correta.

 

Provas

Questão presente nas seguintes provas
4072995 Ano: 2026
Disciplina: Medicina
Banca: AOCP
Orgão: SES-SC

A respeito da Rede de Cuidados à Pessoa com Deficiência (RCPD), estabelecida pela Portaria de Consolidação nº 3/GM/MS (2017), assinale a alternativa correta.

 

Provas

Questão presente nas seguintes provas
4072993 Ano: 2026
Disciplina: Medicina
Banca: AOCP
Orgão: SES-SC

De acordo com a legislação que institui o Subsistema de Atenção à Saúde Indígena no âmbito do Sistema Único de Saúde (SUS), assinale a alternativa correta.

 

Provas

Questão presente nas seguintes provas