Foram encontradas 273.833 questões.
Mulher de 32 anos evolui com complexo quadro hematológico caracterizado por pancitopenia de origem
clonal, associada a hemólise intermitente intravascular e fenômenos trombóticos venosos. Há evidências
laboratoriais de hemólise intravascular intermitente, sendo as hemácias particularmente vulneráveis à lise
por complemento. Um exame de citometria de fluxo revelou a depleção de moléculas CD55 e CD59 na
superfície das hemácias, o que permitiu caracterizar o diagnóstico de:
Provas
Questão presente nas seguintes provas
Paciente de 65 anos é internado com quadro de neutropenia febril cerca de oito dias após iniciar
quimioterapia de indução para leucemia mieloide aguda. São colhidas hemoculturas, realizados exames
radiográficos e iniciada antibioticoterapia empírica com cefepime. Cerca de quatro a sete dias após, o
paciente segue fazendo picos febris, sendo as hemoculturas persistentemente negativas.
Nesse contexto, a dosagem seriada de galactomanana sérica pode ser realizada com vistas ao reconhecimento de:
Nesse contexto, a dosagem seriada de galactomanana sérica pode ser realizada com vistas ao reconhecimento de:
Provas
Questão presente nas seguintes provas
Jovem de 27 anos comparece à quarta consulta seguida com seu pneumologista informando que, apesar
dos incrementos no tratamento escalonado de sua asma, já em uso de altas doses de corticoide inalatório,
beta-2-agonista de longa duração e bloqueadores de leucotrienos, ela continua bastante sintomática. Refere
manter sibilância frequente, tosse com secreção espessa e acastanhada e pressão no peito. Hemograma
completo mostra eosinofilia persistente e níveis elevados de IgE, sendo positiva a pesquisa de preciptinas
contra A. fumigatus. Tomografia computadorizada de tórax mostra a presença de bronquiectasias centrais
em ambos os hemitórax.
O diagnóstico correto do caso é:
O diagnóstico correto do caso é:
Provas
Questão presente nas seguintes provas
Mulher de 28 anos de idade desenvolve quadro de trombose venosa profunda proximal no membro inferior
direito cerca de trinta dias após ter iniciado contraceptivo oral com estrógenos conjugados. A paciente
é internada para início de anticoagulação oral plena com rivaroxabana. No terceiro dia de evolução, a
paciente sofre um wake-up stroke (observada hemiparesia direita com afasia assim que despertou). Não
há evidências na história, exame físico ou exames complementares que apontem no sentido da existência
de uma trombofilia herdada ou adquirida, salvo o fator de risco anteriormente exposto. Uma ressonância
magnética ponderada em difusão é compatível com evento arterial agudo no território de artéria cerebral
média esquerda.
A técnica diagnóstica que deve ser aplicada para confirmar a principal hipótese explicativa para o caso é:
A técnica diagnóstica que deve ser aplicada para confirmar a principal hipótese explicativa para o caso é:
Provas
Questão presente nas seguintes provas
Jovem de 24 anos é encaminhado ao cardiologista após ser submetido a uma avaliação clínica geral para
fins de liberação para prática de esforços físicos. Segundo informa, foi “escutado um sopro no coração”.
Ao exame especializado, o paciente apresenta ritmo cardíaco regular em dois tempos, com P2 levemente
maior que A2, estando a segunda bulha fixamente desdobrada. São auscultados dois sopros sistólicos
sobre o precórdio: o primeiro, algo mais intenso, localizado no foco tricúspide; o segundo, mediossistólico,
no foco pulmonar. Seu eletrocardiograma revela um bloqueio de ramo direito (BRD) incompleto.
A melhor explicação para a semiologia cardíaca apresentada pelo paciente é:
A melhor explicação para a semiologia cardíaca apresentada pelo paciente é:
Provas
Questão presente nas seguintes provas
Mulher de 48 anos vem sendo investigada em razão de quadro neurológico desmielinizante, caracterizado
por surtos de exacerbação e remissão parcial de déficits neurológicos. A paciente relata que, tipicamente,
seu quadro neurológico costuma sofrer exacerbações quando submetida a elevadas temperaturas
corpóreas, como quando se encontra febril. Ao exame físico, além de alguns déficits motores e sensitivos
esparsos, a paciente queixa-se de uma sensação de choque elétrico ao longo do neuroeixo ao lhe ser fletida
a coluna cervical. Sua ressonância magnética de encéfalo revela a presença de lesões desmielinizantes em
formato digitiforme, que são localizadas na substância branca periventricular, sendo perpendiculares aos
ventrículos laterais.
Diante dos dados expostos, o diagnóstico correto da paciente é:
Diante dos dados expostos, o diagnóstico correto da paciente é:
Provas
Questão presente nas seguintes provas
Após três dias de quadro neurológico complexo, caracterizado por rebaixamento de consciência,
oftalmoplegia externa e nistagmo, um paciente hipertenso, diabético e etilista inveterado superficializa
o nível de consciência, passando a conseguir se comunicar verbalmente com o examinador. Observa-se,
contudo, grave comprometimento da memória anterógrada, bem como amnésia para fatos recentes,
apresentando o paciente intensa atividade confabulatória, atribuindo respostas para fatos mais recentes
a episódios ocorridos no passado. É solicitada uma ressonância magnética de encéfalo, que revela
intensidade de sinal anormal nos corpos mamilares do hipotálamo e no fórnix.
A causa do quadro neuropsiquiátrico apresentado pelo paciente foi:
A causa do quadro neuropsiquiátrico apresentado pelo paciente foi:
Provas
Questão presente nas seguintes provas
Mulher de 52 anos, com histórico de artrite reumatoide deformante grave, em uso de metotrexate,
hidroxicloroquina e imunobiológico anti-TNF, vem se queixando ultimamente de estalos na região cervical
associados a parestesias locais e ocasional fraqueza para sustentar a cabeça.
A melhor hipótese explicativa para o quadro é:
A melhor hipótese explicativa para o quadro é:
Provas
Questão presente nas seguintes provas
Pessoa vivendo com HIV/AIDS comparece à consulta com seu infectologista com queixas de febre
intermitente, sudorese noturna e emagrecimento. O paciente vem em uso irregular de terapia antirretroviral
com lamivudina, tenofovir e dolutegravir. Ao exame físico, o paciente mostra-se pouco hipocorado, febril
e com vários linfonodos palpáveis em diversas cadeias periféricas; a ausculta respiratória é normal. Sua
última contagem de linfócitos T CD4+ é de 72 células/mm3
.
Considerando o contexto de imunodefi ciência do paciente relacionada à infecção crônica pelo HIV, uma boa estratégia para confi rmar o diagnóstico provável do caso é:
Considerando o contexto de imunodefi ciência do paciente relacionada à infecção crônica pelo HIV, uma boa estratégia para confi rmar o diagnóstico provável do caso é:
Provas
Questão presente nas seguintes provas
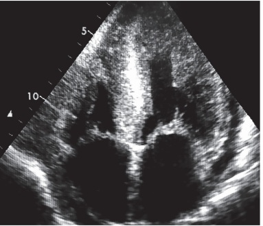
Mulher de 79 anos é encaminhada para realização de ecocardiograma transtorácico com vistas a
esclarecimento de padrão de cardiomiopatia dilatada (ICFEr) associada a proteinúria nefrótica e discretas
equimoses peripalpebrais. O exame complementar revela um brilho intenso no septo interventricular
(fi gura abaixo) associado ao padrão “apical sparing”.
Disponível em: https://portal.afya.com.br/cardiologia/o-ecocardiograma-na-amiloidose-quais-os-achados-tipicos. Acesso em: 12 jan. 2026.
O procedimento diagnóstico que tem elevada sensibilidade para confi rmar a presença da substância depositada nos tecidos do organismo é:
Disponível em: https://portal.afya.com.br/cardiologia/o-ecocardiograma-na-amiloidose-quais-os-achados-tipicos. Acesso em: 12 jan. 2026.
O procedimento diagnóstico que tem elevada sensibilidade para confi rmar a presença da substância depositada nos tecidos do organismo é:
Provas
Questão presente nas seguintes provas
Cadernos
Caderno Container