Foram encontradas 60 questões.
Durante uma exploração cirúrgica por inguinotomia, em mulher de 45 anos com abaulamento local, observou-se a existência de um saco herniário medial aos vasos femorais e acima do ligamento inguinal. Com base nesses achados, pode-se considerar tratar-se de uma hérnia do tipo
Provas
Mulher, 46 anos, procura o pronto-socorro por dor abdominal em cólica há 3 dias, acompanhada de vômitos, e refere episódios anteriores de dor abdominal após três horas de refeições copiosas. Nega febre. Ao exame físico: BEG, desidratada ++/4+, corada e com dor à palpação profunda do andar superior do abdome (mais acentuada à direita) com descompressão brusca negativa e sinal de Murphy negativo. Diante dessa história, é correto afirmar que
Provas
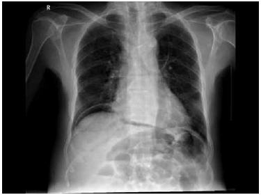
Homem de 38 anos dá entrada no pronto-socorro, referindo forte dor em todo o abdome há duas horas, de início súbito, sem fatores de melhora. Há duas semanas, está em tratamento para úlcera no duodeno. Encontra-se consciente, descorado ++/++++, eupneico. PA: 90 x 40 mmHg; P: 98 bpm. Ao exame físico do abdome: plano, com resistência voluntária à palpação, DB + difuso, com sinal de Jobert presente. RHA + normais. Após as medidas de suporte clínico e coleta de exames laboratoriais, foi realizada radiografia simples de abdome (demonstrada a seguir).

A conduta para com o paciente deverá ser
Provas
Homem de 23 anos refere dor abdominal difusa, mais intensa no hipogástrio há 3 dias, acompanhada de diminuição do apetite e náuseas. Não evacua nem elimina gases há 12 horas. Não houve melhora da dor com uso de antiespasmódico. Nega febre. Refere ter sido operado de hérnia inguinal esquerda encarcerada há 3 meses. Ao exame físico: sinais vitais normais. Abdome distendido, com presença de cicatriz operatória (12 cm) na região inguinal esquerda. RHA aumentados. Abdome doloroso à palpação superficial e profunda com descompressão brusca negativa. Realizadas radiografias simples de abdome em pé e posição ortostática (imagem demonstrada a seguir).

De acordo com dados da história clínica, exame físico e radiológico, a abordagem inicial para com o paciente deverá ser
Provas
Distorção de resultado pelo modo dos participantes serem recrutados ou perdidos durante o estudo. Das alternativas a seguir, aquela que corresponde a esse erro em estudos epidemiológicos é:
Provas
A mortalidade neonatal precoce é definida por ocorrência do óbito de crianças:
Provas
Segundo o protocolo clínico e as diretrizes terapêuticas para manejo da infecção pelo HIV em criança e adolescentes, afirma-se que, nos cuidados imediatos do recém- -nascidos e no pós-parto imediato,
Provas
Qual fator diminui a prevalência de uma doença?
Provas
São medidas qualitativas utilizadas para avaliar um sistema de vigilância epidemiológica:
Provas
A definição – “Um conjunto de ações que proporcionam o conhecimento, a detecção ou prevenção de qualquer mudança nos fatores determinantes e condicionantes de saúde individual ou coletiva, com finalidade de recomendar e adotar as medidas de prevenção e controle das doenças ou agravos” – corresponde
Provas
Caderno Container