Foram encontradas 1.119 questões.
Paciente com 25 anos de idade, vítima de trauma torácico, evolui com empiema pleural fase III, por hemotórax
retido e encarceramento pulmonar com pequena cavidade pleural.
O tratamento indicado para esse paciente será:
O tratamento indicado para esse paciente será:
Provas
Questão presente nas seguintes provas
De acordo com o escore de severidade do derrame
parapneumônico na infância, considerando os parâmetros pH, glicose, escoliose, encarceramento pulmonar
e infecção por anaeróbio ou gram-negativos, é correto
afirmar que o tratamento indicado será
Provas
Questão presente nas seguintes provas
Paciente 19 anos, longilíneo, apresenta dor torácica súbita,
após espirros, em hemitórax direito. Relata que é o terceiro episódio em menos de um ano, e que, nos anteriores,
a resolução da dor aconteceu após 4 a 5 dias com uso
de anti-inflamatórios não esteroidais. Procura atendimento médico no segundo dia de dor. Tomografia de tórax
demonstra pneumotórax pequeno em hemitórax direito.
O diagnóstico e a conduta são, respectivamente:
O diagnóstico e a conduta são, respectivamente:
Provas
Questão presente nas seguintes provas
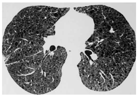
Paciente feminina, 38 anos, tabagista 2 anos/maço (esporádica), apresenta dispneia progressiva e já foi submetida a
dois procedimentos de drenagem pleural direita nos últimos
dois anos. Antecedentes pessoais: tumor muscular operado há 20 anos, sem diagnóstico histológico disponível no
momento. Ultrassonografia abdominal: nódulos renais.
Tomografia de tórax atual a seguir:

(Arquivo pessoal; imagem usada com autorização)
Biópsia pulmonar videoassistida revelou alargamento dos espaços alveolares, cistos pulmonares, pequenos nódulos periarteriolares e perialveolares as custas de proliferação de musculatura lisa. Positividade para o anticorpo monoclonal HMB-45 e para a pesquisa de alfa-actina de músculo liso (a-SMA).
O diagnóstico e tratamento são, respectivamente:
Tomografia de tórax atual a seguir:

(Arquivo pessoal; imagem usada com autorização)
Biópsia pulmonar videoassistida revelou alargamento dos espaços alveolares, cistos pulmonares, pequenos nódulos periarteriolares e perialveolares as custas de proliferação de musculatura lisa. Positividade para o anticorpo monoclonal HMB-45 e para a pesquisa de alfa-actina de músculo liso (a-SMA).
O diagnóstico e tratamento são, respectivamente:
Provas
Questão presente nas seguintes provas
Paciente com 43 anos, metástases cerebrais e derrame pleural neoplásico de etiologia mamária. Submetida
à drenagem pleural, com dreno 36Fr, sem expansão do
pulmão encarcerado e com fístula aérea.
A conduta adequada é:
A conduta adequada é:
Provas
Questão presente nas seguintes provas
Paciente 35 anos, feminina, vítima de ferimento por
projétil de arma de fogo transfixante de mediastino
posterior, com fratura parcial de corpo vertebral de T5.
Submetida à drenagem pleural bilateral na admissão. Dreno no hemitórax esquerdo retirado no 5º dia
pós-trauma, mantido dreno em hemitórax direito. Após
7 dias, nota-se aumento do débito do dreno, com saída de líquido turvo, com aumento de 150 mL do volume
drenado diariamente. Últimas 24 horas = 650 mL, líquido
esbranquiçado. Bom estado geral. Após quinze dias do
início do quadro, a análise do líquido demonstra exsudato com predomínio de linfócitos (90%).
O diagnóstico e a conduta serão, respectivamente:
O diagnóstico e a conduta serão, respectivamente:
Provas
Questão presente nas seguintes provas
Paciente 67 anos, com osteoporose severa após a menopausa. Fratura/achatamento de corpo vertebral de T5 (há
4 anos) e L1 (há dois anos), sem lesão neurológica, com
cifose moderada. Fratura de colo de fêmur com tratamento cirúrgico há 7 anos. Família refere que a paciente perdeu cerca de oito centímetros nos últimos anos, segundo
os médicos em virtude das fraturas. Há um ano apresenta
crises de tosse intensa, após IOT (4 dias) por pneumonia
bacteriana. As crises estão se acentuando, principalmente durante a noite, acompanhadas de dispneia moderada. Broncoscopia mostra colabamento anteroposterior
da subglote e de toda a traqueia, durante expiração, com
obstrução completa.
O diagnóstico e a conduta são, respectivamente:
O diagnóstico e a conduta são, respectivamente:
Provas
Questão presente nas seguintes provas
Paciente, vítima de trauma cranioencefálico (TCE) e
politrauma, submetido à laparotomia por lesão hepática e gástrica graves. Sondagem nasogástrica (sete
dias), drenagem torácica esquerda (oito dias), drenagem abdominal com dreno tubulolaminar à direita
(15 dias). Permaneceu com intubação orotraqueal por
nove dias e, posteriormente, foi submetido à traqueostomia, mantido com cânula plástica com balonete por
mais vinte dias. Evoluindo com melhora do nível de
consciência, trocou-se a cânula de traqueostomia
plástica por metálica, realimentou-se por via oral o
paciente, porém ele apresentou aumento do volume
de secreção pulmonar e expectoração abundante.
O diagnóstico e a conduta são, respectivamente:
O diagnóstico e a conduta são, respectivamente:
Provas
Questão presente nas seguintes provas
Paciente com neoplasia pulmonar confirmada por biópsia transparietal de tórax. Tem indicação de realização de
PET/CT com FDG18 para estadiamento.
Qual das alternativas seguir indica situação em que a utilização desse PET/CT tem limitações?
Qual das alternativas seguir indica situação em que a utilização desse PET/CT tem limitações?
Provas
Questão presente nas seguintes provas
Paciente 60 anos submetido à lobectomia inferior direita
por bronquiectasia, sem intercorrências. Retirado dreno
no terceiro dia pós-operatório. No oitavo dia, apresenta
febre, dor torácica direita, tosse com expectoração amarelada em moderada quantidade. Radiografia de tórax
evidencia nível hidroaéreo pequeno.
Diagnóstico e conduta imediatos são, respectivamente:
Diagnóstico e conduta imediatos são, respectivamente:
Provas
Questão presente nas seguintes provas
Cadernos
Caderno Container