Foram encontradas 1.119 questões.
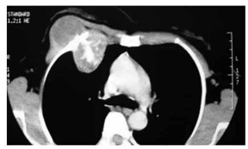
Paciente 45 anos, com abaulamento em região torácica
anterior há 2 anos. Exame físico: lesão endurecida, pouco móvel, pouco dolorosa, em região anterior de hemitórax direito.
Tomografia de tórax a seguir:

(Arquivo pessoal; imagem usada com autorização)
Biópsia demonstra: hipercelularidade, condrócitos com núcleos volumosos e as vezes binucleados, polimorfismo, atipias, matriz celular mixoide, invasão e destruição de trabéculas ósseas adjacentes.
O diagnóstico do paciente é de
Tomografia de tórax a seguir:

(Arquivo pessoal; imagem usada com autorização)
Biópsia demonstra: hipercelularidade, condrócitos com núcleos volumosos e as vezes binucleados, polimorfismo, atipias, matriz celular mixoide, invasão e destruição de trabéculas ósseas adjacentes.
O diagnóstico do paciente é de
Provas
Questão presente nas seguintes provas
Homem, 75 anos, tabagista 20 anos/maço, procura
atendimento médico com dor torácica anterior e posterior, mais acentuada na metade superior do hemitórax
direito. Emagrecimento 8 kg em seis meses (12% peso
habitual) e osteoporose de longa data. Exame físico:
edema cervical bilateral e de mamas, com circulação
colateral visível no tórax e pescoço. Discreta pletora
facial e edema conjuntival. Radiografia de toráx (PA/P):
alargamento mediastinal superior direito e redução do
corpo vertebral de T5.
Qual será o diagnóstico e tratamento preconizado?
Qual será o diagnóstico e tratamento preconizado?
Provas
Questão presente nas seguintes provas
Em relação ao estadiamento do câncer de pulmão, com
possível comprometimento linfonodal, é correto afirmar
que os resultados da técnica empregando EBUS-TBNA
quando comparados à mediastinoscopia (convencional
ou vídeo) são:
Dado: EBUS-TBNA-EndoBronchial UltraSound-guided TransBronchial Needle Aspiration (Biópsia por agulha guiada por ultrassom endobrônquico)
Dado: EBUS-TBNA-EndoBronchial UltraSound-guided TransBronchial Needle Aspiration (Biópsia por agulha guiada por ultrassom endobrônquico)
Provas
Questão presente nas seguintes provas
Paciente com adenocarcinoma de pulmão, com 4,5 cm de
diâmetro, sem evidências de neoplasia em outros sítios
intra e extratorácicos. Submetido à lobectomia pulmonar e linfadenectomia. Exame anatomopatológico revela
comprometimento neoplásico de um linfonodo intralobar
e nenhum comprometimento em linfonodos mediastinais.
Dado: IASLC (International Association for the Study of Lung Cancer)
O estadiamento desse paciente, segundo a IASLC 9ª edição, será:
Dado: IASLC (International Association for the Study of Lung Cancer)
O estadiamento desse paciente, segundo a IASLC 9ª edição, será:
Provas
Questão presente nas seguintes provas
O prognóstico de pacientes submetidos à ressecção de
metástases pulmonares depende de fatores diversos.
Assinale a alternativa que contêm uma contraindicação ao tratamento cirúrgico das metástases pulmonares.
Assinale a alternativa que contêm uma contraindicação ao tratamento cirúrgico das metástases pulmonares.
Provas
Questão presente nas seguintes provas
A indicação de timectomia para pacientes com miastenia
gravis é critério decisivo e importante para o resultado
satisfatório do tratamento cirúrgico.
Analise os critérios a seguir, e assinale aquele em que não há benefícios do tratamento cirúrgico.
Analise os critérios a seguir, e assinale aquele em que não há benefícios do tratamento cirúrgico.
Provas
Questão presente nas seguintes provas
São fatores prognósticos relevantes para a sobrevida
global de pacientes com tumores malignos do timo:
Provas
Questão presente nas seguintes provas
Paciente 40 anos é encaminhado para serviço terciário
de cirurgia torácica com quadro de chiado no peito há
6 meses. Atleta. Investigação clínica, radiografia e tomografia de tórax demonstraram tumor traqueal, três centímetros acima da carina principal. Broncoscopia flexível
mostrou lesão 2,5 cm, elevada, bocelada, endurecida,
pediculada e móvel na parede anterolateral da traqueia,
bloqueando 80% do lumen traqueal.
A conduta imediata, visando proporcionar alívio da obstrução e potencializar o estadiamento correto, é:
A conduta imediata, visando proporcionar alívio da obstrução e potencializar o estadiamento correto, é:
Provas
Questão presente nas seguintes provas
Assinale a alternativa que contém uma contraindicação
à realização de traqueostomia percutânea.
Provas
Questão presente nas seguintes provas
Paciente 46 anos, com tosse persistente pós-Covid-19.
Relatou um episódio de desmaio há 20 dias, atribuído à
hipoglicemia na época. Procura serviço médico, e é submetido à tomografia de tórax, conforme demonstrado a seguir:

(Arquivo pessoal; imagens usadas com autorização)
Biópsia transparietal:
Hematoxilina/eosina: tecido conectivo e células fibroblásticas.
Imuno-histoquímica: negativo para citoqueratina e antígeno carcino-embriônico. Positivo para vimentina, CD34 e para oncoproteina bcl-2.
O diagnóstico e a conduta são, respectivamente:

(Arquivo pessoal; imagens usadas com autorização)
Biópsia transparietal:
Hematoxilina/eosina: tecido conectivo e células fibroblásticas.
Imuno-histoquímica: negativo para citoqueratina e antígeno carcino-embriônico. Positivo para vimentina, CD34 e para oncoproteina bcl-2.
O diagnóstico e a conduta são, respectivamente:
Provas
Questão presente nas seguintes provas
Cadernos
Caderno Container