Foram encontradas 590 questões.
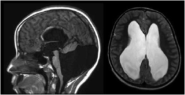
Paciente do sexo feminino, 8 anos, há um mês sofre de cefaleia holocraniana diária associada a vômitos, com melhora parcial com analgésicos. Ao exame, apresenta papiledema. Realizou a ressonância de crânio a seguir.

O diagnóstico é hidrocefalia secundária
Provas
Na investigação etiológica de uma paciente com AVC isquêmico, o estudo por arteriografia digital descreve estenose de artérias carótidas internas distais e artérias cerebrais médias e anteriores, com extensa rede de colaterais lenticuloestriatais e corticais por meio da circulação posterior e das carótidas externas. Esse achado é compatível com o diagnóstico de
Provas
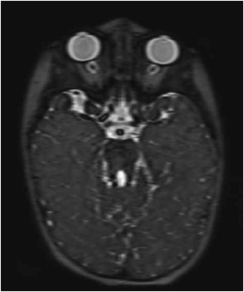
Paciente do sexo feminino, 2 anos, com atraso no desenvolvimento, ataxia e apraxia oculomotora. Realizou a ressonância magnética de crânio mostrada a seguir.

Nesse caso, o diagnóstico é:
Provas
Considere o seguinte caso: paciente do sexo masculino, 6 anos, com ataxia progressiva desde os 2 anos, associada a coreia, telangiectasias oculares e infecções respiratórias de repetição. A imagem mostra atrofia cerebelar.
Qual é a alteração bioquímica comum nessa condição?
Provas
Paciente do sexo feminino, 10 anos, apresenta quadro de hemiparesia completa à esquerda de início súbito. Realizou a ressonância magnética de crânio mostrada a seguir.

O diagnóstico é
Provas
Assinale a alternativa correta em relação à infecção congênita por citomegalovírus.
Provas
Paciente do sexo feminino, 8 anos, é encaminhada para neuropediatra devido à dificuldade de aprendizagem. Ao exame físico, apresenta manchas café com leite, sardas axilares e, na ressonância magnética de crânio, há presença de áreas de vacuolização da mielina em núcleos da base e cerebelo. O pai tem quadro semelhante. O diagnóstico é
Provas
Em relação ao diagnóstico do transtorno do espectro autista (TEA), pode-se afirmar corretamente:
Provas
Um paciente do sexo masculino, 7 anos, é encaminhado ao neuropediatra devido à alteração comportamental. Desde os primeiros anos de vida, os genitores percebem que ele é agitado e não consegue permanecer em uma mesma atividade por muito tempo. Na escola, há reclamação frequente de que se levanta várias vezes durante a aula, perturba os colegas e não termina as tarefas. Tal comportamento está prejudicando o rendimento do aluno. Há 6 meses faz psicoterapia e já foram realizadas adaptações no ambiente escolar, com melhora discreta. Após a avaliação, optou-se por terapia farmacológica. A primeira opção é
Provas
Em relação ao exame físico de um paciente com paralisia cerebral caracterizada por hemiplegia espástica, pode-se afirmar corretamente:
Provas
Caderno Container