Foram encontradas 590 questões.
Na Síndrome de Weber, há acometimento do tracto corticoespinhal a nível mesencefálico associado ao seguinte nervo craniano:
Provas
Assinale a alternativa correta referente às miopatias.
Provas
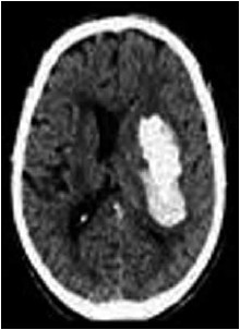
Paciente de 57 anos, masculino, hipertenso sem controle adequado, é admitido na emergência com quadro de hemiplegia súbita à esquerda e disartria. Na admissão, apresenta Glasgow de 13, afebril, pressão arterial aferida de 200/130 mmHg e glicemia capilar de 87 mg/dL. Tomografia de crânio abaixo.

(https://www.google.com.br/imgres)
Assinale a alternativa correta referente ao tratamento inicial para este paciente.
Provas
No paciente portador da trissomia do 21, a complicação neurológica mais comum durante a fase adulta é:
Provas
Paciente do sexo masculino, 22 anos, refere que iniciou crises convulsivas caracterizadas por episódios de abalos musculares rápidos, principalmente em membros superiores, usualmente ao acordar e sem perda da consciência, de início aos 16 anos. Está em uso de carbamazepina, na dose de 1 000 mg/dia, sem melhora do quadro.
Assinale a alternativa que contempla a terapia medicamentosa ideal para este paciente.
Provas
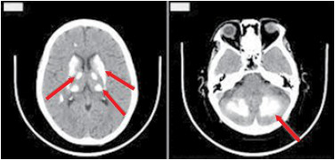
A tomografia de crânio a seguir mostra as lesões cerebrais características de um paciente portador de Doença de Fahr.

(https://www.google.com.br/imgres?imgurl=x-raw-image%3A%2F%2F%2F63fc0f91aac9890a31a5afd8c9e24b5b2fd30a5e052251f9f0cd4bd99358d4ee&imgrefurl=https%3A%2F%2Factamedicaportuguesa.com%2Frevista%2Findex.php%2Famp%2Farticle%2Fdownload%2F4090%2F3228&tbnid=ConJq)
Assinale a alternativa correta que contempla outras doenças que podem cursar com o mesmo achado de imagem.
Provas
A síndrome da fadiga crônica representa uma forma de disautonomia e tem sido renomeada como doença sistêmica de intolerância ao exercício, com novos critérios diagnósticos. Além da hipotensão ortostática, o sinal ou sintoma necessário para a confirmação deste diagnóstico é:
Provas
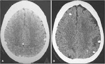
Observe a imagem a seguir.

(https://www.google.com.br/imgres)
Com base nessa imagem, o diagnóstico é:
Provas
Paciente do sexo feminino, 30 anos, comparece ao ambulatório para primeira consulta, queixando-se de parestesias em membro superior direito e dor de forte intensidade em hemiface esquerda. Há dois anos, apresentou o mesmo quadro de dor em hemiface, sendo diagnosticada com neuralgia do trigêmio, foi medicada com carbamazepina e, devido à melhora do quadro, recebeu alta ambulatorial. Nega pródromos infecciosos. Com base na sua suspeita clínica, assinale a alternativa correta referente aos próximos passos na investigação e no tratamento desta paciente.
Provas
Assinale a alternativa correta referente ao acometimento do sistema nervoso pelo coronavírus.
Provas
Caderno Container