Foram encontradas 1.030 questões.
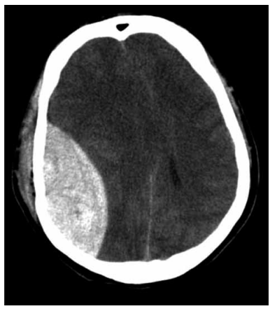
Homem de 39 anos dá entrada no pronto-socorro de um hospital após queda de escada (altura aproximada de 2,5 m). Apresenta afundamento de crânio em região parietal direita com sangramento ativo. Exame neurológico: AO = ao estímulo doloroso; RV = emitiu sons incompreensíveis; RM = flexão anormal; otorragia ipsilateral e anisocoria. Estável hemodinamicamente. Realizado atendimento inicial corretamente e como não há neurocirurgião na unidade, o paciente será transferido a um hospital de referência em Trauma. Tomografia de crânio demonstrada a seguir.

Assinale a alternativa que contempla, respectivamente, o correto escore da Escala de Coma de Glasgow (ECG), o diagnóstico da lesão e a terapia medicamentosa indicada para redução inicial da pressão intracraniana.
Provas
Mulher de 23 anos, cozinheira, pesando 60 kg, vítima de queimadura após incêndio em local fechado (explosão de botijão de gás na cozinha onde trabalhava), foi transportada ao hospital pelos bombeiros. Foi admitida apresentando queimaduras de 2º e 3º graus de espessura total da parede anterolateral do tronco, e superficial da face (totalizando 45% da superfície corporal total com chamuscamento das vibrissas nasais e boca), com muita dificuldade respiratória. PA: 88/57 mmHg; Sat. O2 : 78%; FC: 124 bpm e no exame pulmonar, expansibilidade diminuída bilateralmente, com presença de estertores e sibilos difusos. Exame do abdome e pelve sem alterações. e-FAST negativo. Realizada avaliação inicial com intubação orotraqueal, porém com pouca melhora da ventilação e saturação de O2 . Essa situação deveu-se, provavelmente, ao fato de a equipe de plantonistas NÃO ter realizado
Provas
A unidade de cuidados pós-anestésicos (UCPA) é uma área destinada ao cuidado de pacientes em recuperação das consequências fisiológicas e farmacológicas associadas à anestesia e à cirurgia. Dentro deste tema, assinale a alternativa correta.
Provas
O suporte nutricional em pacientes cirúrgicos tem sido muito estudado nas últimas décadas. Sobre este tema, assinale a alternativa correta.
Provas
A única célula verdadeiramente fundamental para a cicatrização de feridas, por orquestrar a liberação de citocinas e estimular muitos dos processos subsequentes da cicatrização, é
Provas
Com relação ao choque hipovolêmico por perda hemorrágica nos pacientes traumatizados, muitos conceitos têm sido estudados nas últimas décadas. Atualmente, considera-se verdadeiro:
Provas
As neoplasias da traqueia são raras e, sobre este tema, é correto afirmar que:
Provas
Homem de 67 anos com história de emagrecimento acentuado há 2 meses, náuseas, icterícia, dor abdominal e dorsalgia, com diagnóstico recente de diabetes melitus, apresenta-se, no exame físico, com massa palpável de consistência cística e indolor no hipocôndrio direito. Este quadro corresponde a:
Provas
O câncer de pulmão é o maior responsável pelas mortes entre as doenças oncológicas, constituindo-se num problema significativo para a saúde global. Sobre essa doença, é correto afirmar
Provas
Segundo as diretrizes brasileiras, o implante de marcapasso provisório está indicado no(a):
Provas
Caderno Container