Foram encontradas 740 questões.
- SUSLei 8.080/1990: Lei Orgânica da SaúdeSistema Único de SaúdePrincípios, Objetivos, Diretrizes e Atribuições.Art. 7º: Princípios e Diretrizes
Um homem de nacionalidade boliviana, em situação irregular do ponto de vista da imigração, chega a uma unidade de saúde queixando-se de dor precordial intensa. A recepção o coloca para ser atendido pelo médico antes dos demais pacientes que já tinham consultas de rotina, agendadas previamente. É correto afirmar que
Provas
- SUSLei 8.080/1990: Lei Orgânica da SaúdeSistema Único de SaúdeArts. 8º ao 14-B: Organização, Direção e Gestão
As Comissões Intergestores Bipartite – CIB são instâncias de representação, monitoramento e pactuação política e administrativa utilizadas pelo SUS. Elas são constituídas por representantes dos gestores
Provas
- SUSLei 8.080/1990: Lei Orgânica da SaúdeSistema Único de SaúdePrincípios, Objetivos, Diretrizes e Atribuições.Art. 7º: Princípios e Diretrizes
Ao se afirmar que o Sistema Único de Saúde – SUS garante o direito à vida e à igualdade de acesso sem distinção de raça, sexo, religião ou qualquer forma de discriminação, refere-se ao princípio da
Provas
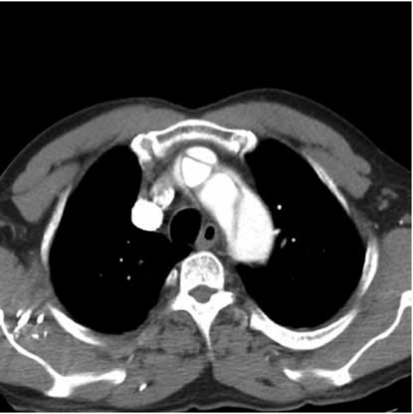
Paciente hipertenso em uso atual de 3 anti-hipertensivos inicia dor torácica de forte intensidade, em “facada”, com irradiação parar dorso. Frequência cardíaca de 90 bpm e pressão arterial de 220 x 120 mmHg. Eletrocardiograma mostra sobrecarga atrial e ventricular esquerdas. Realizou a angiotomografia a seguir.

O nível-alvo de pressão arterial sistólica a ser atingido idealmente em 20 minutos é
Provas
Homem, 75 anos, portador de cardiomiopatia isquêmica e fração de ejeção de 35% e uso irregular de terapia farmacológica. Chega em pronto-atendimento com queixa de dispneia aos mínimos esforços e ortopneia. Apresenta estertores nos dois terços inferiores de ambos os pulmões e edema de membros inferiores 2+/4+, além de estase jugular e hepatomegalia. Frequência cardíaca de 115 bpm, pressão arterial de 140 x 90 mmHg, saturação de O2 de 88% em ar ambiente. É iniciada terapia com furosemida intravenosa com o objetivo de atingir, nas primeiras 6 horas:
Provas
Homem, 52 anos, apresenta história de dispneia aos esforços progressiva. Realiza ecocardiograma que demonstra dilatação de ambos os átrios, obliteração do ápice dos ventrículos direito e esquerdo e padrão de enchimento diastólico ventricular do tipo restritivo.
Assinale a alternativa que corresponde à hipótese diagnóstica.
Provas
Mulher, 31 anos, com valva aórtica bivalvular apresenta febre há 5 dias e dispneia com pequenos esforços. A ausculta cardíaca revela sopro diastólica aórtico, mais acentuado na expiração e com inclinação para frente. Realizou o eletrocardiograma a seguir.

Assinale a alternativa que mostra a hipótese diagnóstica mais provável.
Provas
Mulher, 85 anos, insuficiência cardíaca com fração de ejeção reduzida (35%) apresenta episódio de síncope. Holter não mostra arritmias sustentadas e ecocardiograma mostra estenose aórtica com gradiente sistólico máximo de 50 mmHg e médio de 30 mmHg. Área valvar de 0,90 cm2. Realiza ecocardiograma sob estresse farmacológico com baixas doses de dobutamina. Assinale a alternativa que contém um achado no exame sob estresse que representa uma indicação de intervenção (implante transcateter de bioprótese aórtica ou cirurgia).
Provas
Mulher, 75 anos, dá entrada em pronto-atendimento em parada cardiovascular em fibrilação ventricular. Após 10 minutos de ressuscitação cardiopulmonar, intubação orotraqueal e desfibrilações, houve retorno da circulação espontânea (RCE). Pressão arterial (PA) de 80 x 50 mmHg, frequência cardíaca de 100 bpm. Eletrocardiograma mostra ritmo sinusal com sobrecarga atrial e ventricular esquerdas.
Assinale a alternativa correta sobre a conduta.
Provas
Mulher, 70 anos, hipertensa e dislipidêmica sem tratamento prévio apresentou infarto agudo do miocárdico. Assinale a alternativa que contém apenas tratamentos que se associam a redução ≥ 50% dos níveis de LDL-colesterol para prevenção secundária.
Provas
Caderno Container