Foram encontradas 740 questões.
Assinale a alternativa que contém uma contraindicação absoluta ao teste ergométrico.
Provas
Homem, 55 anos, hipertenso, procura pronto-atendimento por queixa de dor torácica ventilatório-dependente realiza o seguinte eletrocardiograma:

Assinale a alternativa com a hipótese diagnóstica correta.
Provas
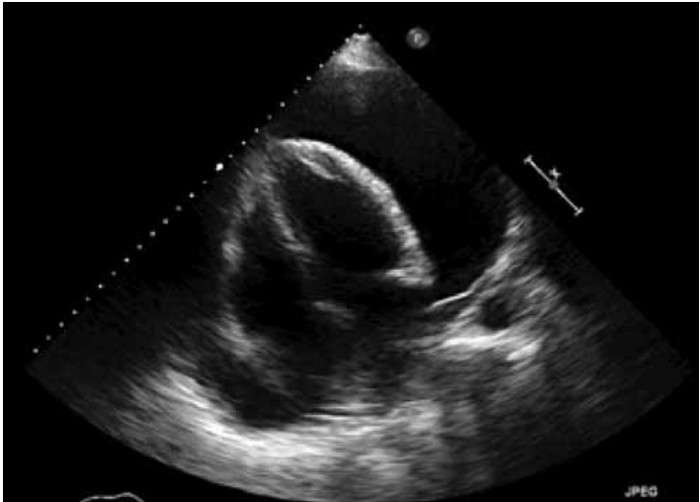
Mulher, 70 anos, com câncer de mama em quimioterapia, queixa-se de dispneia a mínimos esforços nos últimos dois dias. Apresenta frequência cardíaca de 110 bpm e pressão arterial de 90x50 mmHg. Realiza ecocardiograma que mostra a imagem a seguir.

Assinale a alternativa que contém achado do ecocardiograma que indica a necessidade de punção pericárdica urgente.
Provas
Homem, 60 anos, insuficiência cardíaca com fração de ejeção reduzida e fibrilação atrial, mantém queixa frequente de palpitações e frequência cardíaca (FC) média de 90 bpm, com episódios frequentes de FC acima de 120 bpm, sintomáticos, em Holter, apesar de tratamento otimizado, com betabloqueador em dose máxima. O Holter não demonstra episódios de arritmia ventricular.
Qual das opções a seguir é indicada para melhora sintomática desse paciente.
Provas
Homem, 78 anos, parkinsoniano, apresenta doença arterial coronariana crônica, com lesão triarterial sem possibilidade de tratamento percutâneo ou cirúrgico. Atualmente com angina aos esforços CCR III. Em uso atual de AAS, betabloqueador em dose máxima, atorvastatina e nitrato de longa duração para a DAC. Já utilizou diltiazem previamente, sendo suspenso por intolerância. Frequência cardíaca de 85 bpm e pressão arterial de 120 x 80 mmHg. Qual o próximo fármaco indicado para melhora sintomática.
Provas
Em paciente com doença pulmonar obstrutiva crônica (DPOC) e suspeita de tromboembolismo pulmonar (TEP), qual achado ecocardiográfico é específico para TEP mesmo em pacientes com doença de doença cardiorrespiratória prévia?
Provas
Assinale a alternativa correta referente à ausculta cardíaca das bulhas cardíacas.
Provas
Homem, 16 anos, atleta de natação, realiza o eletrocardiograma abaixo pré-participação esportiva pela história de morte súbita na família.

Assinale a alternativa correta em relação ao traçado.
Provas
Pacientes com fibrilação atrial revertida frequentemente necessitam terapia com fármacos antiarrítmicos para manutenção do ritmo sinusal. Assinale alternativa que contém afirmação correta sobre esses fármacos.
Provas
Assinale a alternativa que descreve paciente e pressão arterial (PA) com indicação de iniciar terapia anti-hipertensiva com combinação fixa de dois fármacos.
Provas
Caderno Container