Foram encontradas 740 questões.
Atualmente, tem se realizado o cateterismo para realização de intervenção coronária percutânea pela via radial na maioria dos casos. Assinale a alternativa que contém apenas vantagens dessa via de acesso para o cateterismo.
Provas
Mulher, 25 anos, com suspeita de miocardite é submetida à ressonância magnética cardíaca. Assinale a alternativa que contém achado que indica edema miocárdico.
Provas
Assinale a alternativa que indica um paciente com indicação de angiotomografia de artéria coronárias.
Provas
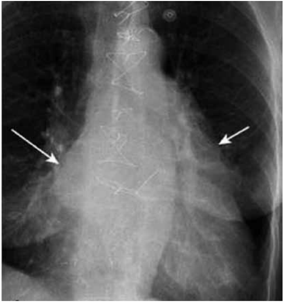
As setas na radiografia a seguir indicam a dilatação da(s) seguinte(s) câmara(s) cardíaca(s):

Provas
Mulher, 76 anos, com insuficiência cardíaca com fração de ejeção reduzida, está recebendo alta após tratamento diurético intensivo após internação de 3 dias por descompensação clínica. Assinale a alternativa correta em relação a essa paciente.
Provas
Assinale a alternativa correta em relação à avaliação de paciente com sopro sistólico.
Provas
Homem, 60 anos, hipertenso em uso irregular de dois anti-hipertensivos apresenta cefaleia holocraniana de início insidioso, náuseas, turvação visual e hiperreflexia generalizada. Não há déficit motor. Frequência cardíaca de 92 bpm e pressão arterial de 260 x 130 mmHg. Fundoscopia mostra papiledema bilateral. A tomografia de crânio não apresenta alterações. Assinale a alternativa sobre a conduta imediata.
Provas
Em relação às drogas vasoativas utilizadas na insuficiência cardíaca, é correto afirmar:
Provas
Quanto à oxigenação por membrana extracorpórea (ECMO), assinale a alternativa correta.
Provas
O sopro cardíaco é um fenômeno auscultatório originado pela turbulência do fluxo sanguíneo intracardíaco e/ou transvalvar. A alternativa que se pode encontrar em uma criança com o coração estruturalmente normal é sopro
Provas
Caderno Container