Foram encontradas 625 questões.
Mulher de 82 anos dá entrada no PS com história de melena volumosa há 2 dias, sinais de instabilidade hemodinâmica, referindo ser portadora de úlcera péptica gástrica. Refere nunca fazer uso de antiinflamatórios não esteroidais (AINE), por ser alérgica. Após medidas para a estabilização hemodinâmica da paciente e realização da endoscopia digestiva alta, a equipe indicou o tratamento cirúrgico. Considerando que foi optado por se realizar uma antrectomia, incluindo a úlcera + vagotomia, o(s) tipo(s) de úlcera(s) mais provável(eis) dessa paciente era a tipo
Provas
Abordando o tema dos distúrbios da Motilidade do Corpo do Esôfago, temos a entidade nosológica denominada Acalasia, cuja tríade clássica de sintomas consiste em disfagia, regurgitação e perda de peso.
Assinale a afirmação correta com relação a essa patologia.
Provas
O baço é um órgão de 80 a 300 g que inicialmente se desenvolve a partir de células mesenquimais no mesogástrio dorsal a partir da quinta semana da embriogênese e instala-se na porção superior esquerda do abdome.
A respeito desse órgão, assinale a afirmativa correta:
Provas
A incidência de abscesso hepático piogênico é rara (em torno de 0,45% e 0,59%) e sobre ele é correto afirmar:
Provas
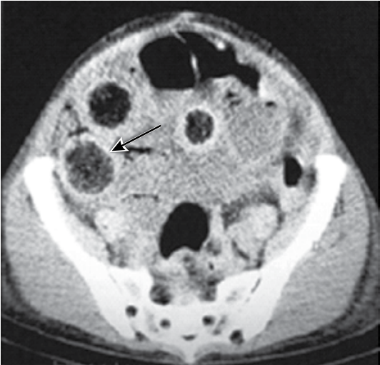
Paciente do sexo feminino, 18 anos, procura o serviço de Pronto-Socorro com relato de constipação intestinal há 15 dias, sem comorbidades conhecidas até o momento. Após lavagem intestinal com clister glicerinado, foi avaliada com melhora e alta no mesmo dia. Após 24 horas, evoluiu com vômitos fecaloides, distensão abdominal e febre não aferida. Observada alopécia traumática em região occipital. Após estabilização hemodinâmica, foi realizada tomografia computadorizada de abdome, evidenciando sinais representados em imagem abaixo.

Quais os diagnósticos sindrômico e etiológico mais prováveis?
Provas
A anatomia da parede abdominal anterior é direta e consideravelmente mais fácil de se apreender do que a anatomia da área inguinal. Entretanto, uma compreensão clara do suprimento sanguíneo e da inervação do abdome é importante quando da realização de reconstrução da parede abdominal.
Assim, é correto afirmar:
Provas
A avaliação da anestesia pré-operatória tem diversos objetivos a serem atingidos através de ações que antecedem a cirurgia, todos voltados para a redução dos riscos anestésicos.
A respeito desse tema, assinale a alternativa correta.
Provas
O sintoma que está 100% presente num quadro de abdome agudo é a dor abdominal. Com relação a suas características e manifestações, assinale a afirmação correta.
Provas
Com relação a pacientes idosos que se submetem a cirurgias, é correto afirmar:
Provas
A pancreatite aguda é uma doença com diferentes espectros de gravidade, que se relacionam diretamente ao prognóstico e ao tratamento do paciente. Nas últimas décadas, pesquisadores têm procurado definir um consenso global e um sistema de classificação para a pancreatite aguda; dentre estas, utiliza-se o escore de Marshall. Com relação a este, assinale a alternativa correta.
Provas
Caderno Container