Foram encontradas 625 questões.
O atual “padrão de excelência” para a avaliação da perfusão sistêmica após um trauma abdominal é:
Provas
Com relação à Doença Arterial Periférica (DAP), a natureza sistêmica da aterosclerose tem impacto significativo em todos os leitos vasculares em menor ou maior grau. A presença de doença arterial coronária ou cerebrovascular deve ser avaliada em todos os pacientes com novas manifestações de DAP.
Diante desse contexto, assinale a alternativa correta.
Provas
A respeito das neoplasias vasculares, assinale a alternativa correta.
Provas
Homem de 33 anos, vítima de choque elétrico, sofrendo queimaduras em várias partes do corpo, foi admitido em unidade de referência para queimados. A equipe de plantonistas realizou o atendimento inicial a contento, procedendo correta reposição volêmica. Após algumas horas, evoluiu com edema importante da panturrilha esquerda, com diminuição dos pulsos e perfusão do membro, e urina avermelhada. Deve-se suspeitar de:
Provas
Com relação à Síndrome do Desfiladeiro Torácico (TOS Syndrom), assinale a alternativa correta.
Provas
Sobre o cisto de Thornwaldt, assinale a alternativa que descreve corretamente esta patologia.
Provas
Com relação à cicatrização das feridas operatórias, as características da fase proliferativa são:
Provas
“Manifesta-se por meio de dor abdominal e hematoquezia. O diagnóstico é difícil e requer um alto índice de suspeição em pacientes com dor abdominal, perda sanguínea e antecedentes de pancreatite.”
A afirmação refere-se ao seguinte diagnóstico:
Provas
Homem de 60 anos, com diagnóstico de cirrose hepática (com endoscopia prévia realizada 6 meses antes, que mostrava presença de varizes de esôfago), dá entrada no pronto-socorro consciente, com quadro de hematêmese e melena há 1 dia. Sinais vitais: PA: 90 x 60 mmHg, FC: 128 bpm. A conduta a ser tomada inicialmente deverá ser:
Provas
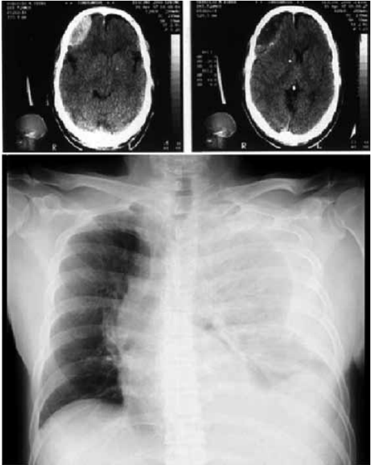
Homem de 48 anos deu entrada na sala de emergência (cerca de 30 minutos após a colisão do ônibus escolar que dirigia) com alteração do nível de consciência (ECG = 10), em hipotensão severa, sem sangramento externo evidente. Após o atendimento inicial, realizado a contento pelo plantonista, obtêm-se os achados tomográficos e radiográficos abaixo demonstrados.

A conduta para com o paciente, sequencialmente, deverá ser:
Provas
Caderno Container