Foram encontradas 1.149 questões.
Diante da hipótese diagnóstica e da recorrência do quadro, o que seria recomendado se fazer nesse momento?
Provas
Provas
Sua conduta inicial frente a esse quadro, além de orientar sobre o uso abusivo de telas, foi:
Provas
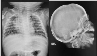
Lactente masculino, 6 meses de idade, é levado à emergência pediátrica por sua mãe devido ao surgimento de “caroços” em pescoço e na virilha há cerca de 1 mês. Nos últimos dias, refere que o menor está mais irritado, além de perceber a respiração mais “rápida”. Relata que a criança apresentou picos febris em alguns dias ao longo desse período
O exame físico chamou a atenção do pediatra nos seguintes aspectos:
- Leve palidez; irritabilidade durante todo o exame físico; linfonodos palpáveis em regiões cervical e inguinais bilaterais, com os maiores medindo cerca de 3 cm; frequência respiratória de 60 incursões por minuto; fígado palpável a 4 cm do rebordo costal direito.
Solicitados exames:
- Hemograma: HGB 10,5 g/dL VCM 70 fL HCM 24 pg
- Leucócitos 12.450 mm3 / Plaquetas 165.000 / mm3
- RX tórax (vide imagem abaixo). *O laudo do radiologista evidenciou, entre outros achados, lesões osteolíticas em ambas as escápulas. Foi sugerido realizar RX de crânio (vide abaixo).

Provas
RN nasceu de parto vaginal, com APGAR 5 e 6, apresentando desconforto respiratório de imediato, caracterizado por gemência, tiragem subcostal e taquipneia. A idade gestacional pela DUM foi de 31 semanas. RN foi levado à UTI neonatal, com piora importante do desconforto respiratório, necessitando de intubação orotraqueal. Neonatologista solicitou RX de tórax (imagem abaixo).

Genitora relatou perda de líquido vaginal um dia antes do parto, porém, como foi em pequena quantidade e não teve contrações, decidiu ficar em casa. Somente foi à maternidade 20 horas após a ruptura das membranas, em função da forte intensidade e da elevada frequência das contrações. RN nasceu cerca de duas horas após admissão da gestante na maternidade. Dados pré-natais: Gesta IV/ Aborto II. O cartão da gestante mostrou apenas quatro consultas, com exames realizados somente no primeiro trimestre (todos normais). Sobre esse paciente, assinale a alternativa CORRETA.
Provas
Provas
Considerando o quadro acima, qual o provável diagnóstico?
Provas
Provas
Provas
Provas
Caderno Container