Foram encontradas 1.149 questões.
• Primeiro dia da última menstruação: 16 de agosto de 2025.
• Último dia da última menstruação: 19 de agosto de 2025.
• Data da última ovulação: 30 de agosto de 2025.
• Data da 1ª ultrassonografia: 27 de setembro de 2025 (calculada pelo diâmetro médio do saco gestacional – 4 semanas).
• Data da 2ª ultrassonografia: 31 de outubro de 2025 (IG: calculada pela média do diâmetro biparietal, circunferência abdominal e comprimento do fêmur – 11 semanas).
• Data da 3ª ultrassonografia: 20 de novembro de 2025 (IG: calculada pelo comprimento céfalo-nádegas – 13 semanas e 6 dias).
• Data da 4ª ultrassonografia: 06 de dezembro de 2025 (IG: 17 semanas).
Diante desses dados, qual a idade gestacional CORRETA para acompanhamento da gravidez no dia da consulta de prénatal?
Provas
Provas
Diante do quadro, qual a conduta mais apropriada?
Provas
Diante dos achados, qual a conduta mais apropriada?
Provas
Diante do quadro, qual seria a conduta mais apropriada?
Provas
Diante do quadro, qual a conduta nutricional pré-operatória ideal?
Provas
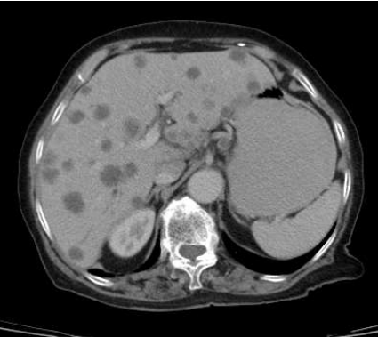
Mulher de 51 anos, portadora de obesidade grau 1 e diabetes mellitus, procura atendimento por queixa de dor
intermitente em hipocôndrio direito há 4 dias, associada à colúria e acolia fecal nas últimas 24 horas. Nega febre. Ao
exame físico, apresenta-se ictérica (2+/4+), com dor à palpação em hipocôndrio direito e Murphy negativo. Exames
laboratoriais: BT 5,2mg/dL (BD 4,3mg/dL), FA 420 U/L, GGT 610 U/L, TGO 86 U/L, TGP 104 U/L, amilase 30 U/L,
lipase 55 U/L, leucometria 8.900/mm

Diante do achado da imagem, qual a conduta mais adequada?
Provas
Provas
Qual seria a conduta mais apropriada para esse paciente?
Provas
O paciente encontra-se assintomático, com performance ECOG 0 e sem icterícia. Qual é a conduta inicial mais apropriada?
Provas
Caderno Container