Foram encontradas 50 questões.
Uma moça de 27 anos de idade relata que, há 4 meses, vem apresentando quadro de palpitações, tremores, irritabilidade, aumento de apetite, ganho ponderal de 6 kg e piora do desempenho no trabalho e na faculdade. Ela iniciou tratamento para ansiedade com fluoxetina, porém sem melhora dos sintomas. Há 3 dias, apresenta crises recorrentes de palpitação, mal-estar e pré-síncope. Realizou um ECG, cujo resultado pode ser visto a seguir.

Assinale a alternativa que apresenta a melhor correlação entre o diagnóstico do ECG, o possível achado de exame físico, o diagnóstico etiológico e o tratamento adequado.
Provas
Uma mulher de 25 anos de idade refere, há 40 minutos, palpitações e mal-estar após discussão familiar. Nega dor torácica, síncope, dispneia. Relata dois episódios prévios de palpitações. Nega comorbidades. No pronto-socorro, foi diagnosticada com taquiarritmia supraventricular estável. Realizou manobra de Valsalva modificada sem melhora do sintoma e realizou adenosina endovenosa, evoluindo com PCR em fibrilação ventricular (FV) que foi revertida após desfibrilação. Observe a imagem a seguir.

Nesse caso hipotético, assinale a alternativa que apresenta, respectivamente, o diagnóstico do ECG de admissão e a causa da fibrilação ventricular.
Provas
Um homem de 45 anos de idade está em tratamento para linfoma não Hodgkin difuso de grandes células B. A última quimioterapia foi há 48 horas. Refere mal-estar geral, parestesias, náuseas, dor abdominal difusa, diurese reduzida. Ele nega febre e outras queixas. Em exame físico, apresenta-se em mau estado geral, afebril, hipocorado, abdome plano, baço palpável a 6 cm do rebordo costal esquerdo com frequência cardíaca de 88 bpm e pressão arterial de 100 mmHg x 60 mmHg. Os exames laboratoriais apresentam os seguintes resultados: Hb = 10,2 g/dL, Ht = 28,5%, leucócitos = 8.000/mm3; plaquetas = 130.000/mm3; PCR = 4,5 mg/dL (VR < 1,0 mg/dL); DHL = 1.200 U/L (VR < 220 U/L); creatinina = 4,1 mg/dL (VR < 1,2 mg/dL); ureia = 180 mg/dL (VR = 10 a 50 mg/dL); sódio = 138 mmol/L (VR = 135 a 145 mmol/L); potássio = 7,1 mmol/L (VR = 3,5 a 5,0 mmol/L); fósforo = 8,5 mg/dL (VR = 2,5 a 4,5 mg/dL); cálcio iônico = 0,85 mmol/L (VR = 1,11 a 1,40 mmol/L); ácido úrico = 10,5 (VR = 3,4 a 7,0 mg/dL). Acerca desse caso hipotético, assinale, respectivamente, o diagnóstico mais adequado e a melhor conduta a ser tomada.
Provas
Um homem de 58 anos de idade está internado há 10 dias com diagnóstico de neoplasia maligna de pâncreas metastática e está sob cuidados paliativos em uso de morfina oral. Durante a internação, após piora da dor abdominal, foi iniciada bomba de morfina 100 mg em 24 horas. Após 2 horas da infusão de morfina endovenosa, o paciente evoluiu com rebaixamento do nível de dificuldade de consciência, ritmo respiratório agônico e pupilas puntiformes.
Acerca dessa situação, assinale, respectivamente, o diagnóstico mais provável, o evento causador e a melhor conduta para o caso.
Provas
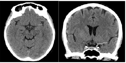
Um homem de 64 anos de idade, sem comorbidades conhecidas, há 3 horas apresenta dificuldade para movimentar o braço direito e para andar, além de relatar sensação de formigamento do lado direito do corpo e apresentar dificuldade para conversar. Familiares negam história de traumatismo craniano. Na admissão do paciente, foram obtidas as seguintes informações: temperatura axilar de 36,5°C, pressão arterial de 130 mmHg x 66 mmHg, frequência cardíaca de 80 bpm, saturação de oxigênio de 96%, glicemia capilar de 88 mg/dL e Glasgow = 15. O paciente estava consciente e orientado em tempo e espaço; pupilas fotorreagentes; movimentos oculares preservados; força motora grau III em dimídio direito e discreta redução da sensibilidade tátil ipsilateral; apagamento do sulco nasolabial à direita; ptose da pálpebra direita; diadococinesia preservada; afasia grave. Foi feita uma tomografia, a qual é exibida a seguir.

Nesse caso clínico, assinale a alternativa que apresenta, respectivamente, o achado exibido na tomografia, o escore do NIHSS e o melhor tratamento para esse paciente.
Provas
Uma mulher de 46 anos de idade, hipertensa, asmática e diabética insulino-dependente, apresenta tosse seca, coriza, mialgia e cefaleia há 4 dias. Há 1 dia apresenta febre (38,2 ºC), dispneia ao realizar pequenos esforços e piora da sibilância. Seu histórico vacinal é desconhecido. Na admissão no pronto-socorro, realizou aerossol com broncodilatador, porém sem apresentar melhora. Ela foi, portanto, encaminhada à sala de emergência e seus exames revelaram frequência respiratória de 34 ipm, frequência cardíaca de 95 bpm, pressão arterial de 138 mmHg x 90 mmHg, saturação de oxigênio de 78%, tiragem de subtotal e de fúrcula, estertores crepitantes em bases pulmonares, sibilos expiratórios esparsos e ausculta cardíaca sem alterações.
Com base nessa situação, assinale a alternativa que apresenta a melhor conduta para a paciente.
Provas
Caso clínico para a questão.
Um paciente de 42 anos de idade é trazido ao pronto-socorro por quadro de agitação, de confusão mental há 24 horas, tremores, náuseas, calafrios e cefaleia. Nega febre, tosse, dispneia, perda da consciência, sangramentos e outras queixas. Antecedentes pessoais: etilista (1 L/dia de destilados há 15 anos e última dose há 2 dias), DMinsulino-dependente, HAS. Ao exame físico, apresenta: mau estado geral, diaforese, fácies ansiosa, marcha atáxica, ausência de sinais meníngeos, tremores, Glasgow = 14 (O4/V3/M5), flapping, auscultas cardíaca e pulmonar normais, abdome semigloboso, presença de semicírculo de Skoda, temperatura axilar de 38,5 oC, pressão arterial de 156 mmHg x 88 mmHg, frequência cardíaca de 106 bpm, saturação de oxigênio de 96% e glicemia capilar de 295 mg/dL.
Na situação apresentada, considere que, após solicitação dos exames iniciais, tenha sido iniciada a administração de antitérmico, antibioticoterapia empírica e lorazepam. Nesse caso, assinale, respectivamente, a conduta adicional mais adequada e a sua justificativa fisiopatológica.
Provas
Caso clínico para a questão.
Um paciente de 42 anos de idade é trazido ao pronto-socorro por quadro de agitação, de confusão mental há 24 horas, tremores, náuseas, calafrios e cefaleia. Nega febre, tosse, dispneia, perda da consciência, sangramentos e outras queixas. Antecedentes pessoais: etilista (1 L/dia de destilados há 15 anos e última dose há 2 dias), DMinsulino-dependente, HAS. Ao exame físico, apresenta: mau estado geral, diaforese, fácies ansiosa, marcha atáxica, ausência de sinais meníngeos, tremores, Glasgow = 14 (O4/V3/M5), flapping, auscultas cardíaca e pulmonar normais, abdome semigloboso, presença de semicírculo de Skoda, temperatura axilar de 38,5 oC, pressão arterial de 156 mmHg x 88 mmHg, frequência cardíaca de 106 bpm, saturação de oxigênio de 96% e glicemia capilar de 295 mg/dL.
Considere as seguintes hipóteses diagnósticas e os seguintes exames laboratoriais.
1. cetoacidose diabética
2. delirium tremens
3. hemorragia intraparenquimatosa
4. meningite
a. TC crânio
b. urina tipo 1 e gasometria arterial
c. eletrólitos
d. líquor e hemoculturas
Com base nesse caso clínico, assinale a alternativa que apresenta a correta correlação entre as principais hipóteses diagnósticas e os exames laboratoriais adequados para cada uma delas.
Provas
Caso clínico para a questão.
Um homem de 35 anos de idade, usuário de cocaína, é trazido por familiares ao pronto-socorro (PS) após tentar agredir sua mãe. Ele consumiu cerca de 4 “pinos” de cocaína algumas horas antes. Na admissão, apresenta-se com roupas rasgadas e sujas, escoriações pelos braços, ideias persecutórias e agride com palavras e com pontapés a equipe de saúde e o segurança do PS.
Considere que, no caso descrito, após haver melhora do quadro de agitação do paciente, ele tenha evoluído com dor torácica e com alteração no ECG, como mostra a imagem a seguir. Considere, ainda, que o plantonista tenha prescrito morfina, AAS 200 mg, clopidogrel 300 mg, atorvastatina 40 mg e metoprolol 50 mg e encaminhado o paciente para a sala de hemodinâmica.

Nessa situação, acerca da conduta tomada pelo plantonista, assinale a alternativa correta.
Provas
Caso clínico para a questão.
Um homem de 35 anos de idade, usuário de cocaína, é trazido por familiares ao pronto-socorro (PS) após tentar agredir sua mãe. Ele consumiu cerca de 4 “pinos” de cocaína algumas horas antes. Na admissão, apresenta-se com roupas rasgadas e sujas, escoriações pelos braços, ideias persecutórias e agride com palavras e com pontapés a equipe de saúde e o segurança do PS.
Nessa situação hipotética, o paciente apresenta
Provas
Caderno Container