Foram encontradas 50 questões.
Paciente RHT, 10 anos, sexo masculino, compareceu
em 2012 para avaliação devido fimose e testículo retrátil
bilateral. Durante o exame físico, foi notada a ausência
do primeiro quirodáctilo direito, manchas café-com-leite
no hipocôndrio direito e região lombar, além da presença de fáceis sindrômica. Mãe relatou leve hipoacusia.
Apresentava bom estado geral. Foram evidenciados
plaquetopenia e anemia (hemácias 4,2 milhões/mm3
;
hemoglobina 11,9 g/dL; hematócrito 39%; VCM 81 fL;
HCM 28,1 pg; CHCM 32,4 g/dL; plaquetas 97.000/mm3
;
leucócitos 11.600/mm3
).
O teste utilizado para confirmação diagnóstica é o de
O teste utilizado para confirmação diagnóstica é o de
Provas
Questão presente nas seguintes provas
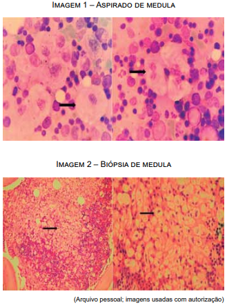
É um erro inato do metabolismo do grupo das doenças
lisossômicas de depósito. De herança autossômica recessiva, resultante da deficiência da beta-glicosidase ácida
ou beta-glicocerebrosidase, que leva ao acúmulo de glicolipídios nos macrófagos principalmente em baço, fígado,
medula óssea e pulmão. As manifestações clínicas ou
fenotípicas vão depender do grau de deficiência da
enzima, existindo três tipos. A do tipo I, forma não neuropática, afeta crianças e adultos com hepatoesplenomegalia, anemia, trombocitopenia, leucopenia e lesões ósseas.
Tal descrição e imagens correspondem ao observado na
Tal descrição e imagens correspondem ao observado na
Provas
Questão presente nas seguintes provas
Constitui critério mandatório para o diagnóstico de
síndrome POEMS:
Provas
Questão presente nas seguintes provas
Pode causar prolongamento combinado do tempo de
protrombina e do tempo de tromboplastina ativado a
deficiência de
Provas
Questão presente nas seguintes provas
Os anticoagulantes orais diretos (DOACS) são amplamente prescritos para prevenir e tratar o tromboembolismo venoso e arterial, apoiados por evidências clínicas,
e são preferidos à varfarina em muitas diretrizes.
Deles, é um inibidor direto da trombina:
Deles, é um inibidor direto da trombina:
Provas
Questão presente nas seguintes provas
Existem muitos sistemas de grupos sanguíneos diferentes; no entanto, alguns são clinicamente mais significativos do que outros.
Em relação a eles, é correto afirmar:
Em relação a eles, é correto afirmar:
Provas
Questão presente nas seguintes provas
Em relação aos critérios de estratificação de risco na
leucemia linfoblástica aguda (LLA), é correto afirmar:
Provas
Questão presente nas seguintes provas
Paciente multípara de 44 anos de idade necessita de
histerectomia total abdominal por sangramento uterino
anormal. Não há história de sangramento de partos ou
cirurgias anteriores. Em sua consulta pré-operatória com
a equipe de ginecologia, sua hemoglobina é de 8,7 g/dL
com baixos níveis de ferritina e vitamina B12.
Considera-se aplicar os princípios do gerenciamento de sangue do paciente.
Em relação a “patient blood management”, é correto afirmar:
Considera-se aplicar os princípios do gerenciamento de sangue do paciente.
Em relação a “patient blood management”, é correto afirmar:
Provas
Questão presente nas seguintes provas
JJ, 29 anos, com insuficiência renal crônica com hemoglobina de 6,7 g/dL, é atendido no pronto-socorro por uma
lesão no ombro. Tem frequência cardíaca e pressão arterial normais, afirma que tem anemia crônica, e é capaz de
conduzir suas rotinas diárias sem dificuldade. O médico
do pronto-socorro solicita uma transfusão de hemácias.
Em relação à transfusão, nesse contexto, é correto afirmar:
Em relação à transfusão, nesse contexto, é correto afirmar:
Provas
Questão presente nas seguintes provas
Muitos medicamentos afetam a função plaquetária.
Em relação a eles, é correto afirmar:
Provas
Questão presente nas seguintes provas
Cadernos
Caderno Container