Magna Concursos

Foram encontradas 600 questões.

Leia o caso clínico a seguir para responder à questão:
Homem, 34 anos de idade, portador de asma desde a infância, chega à emergência com dispneia intensa, fala entrecortada e uso evidente de musculatura acessória. Relata início do quadro há cerca de 3 horas, sem melhora após várias nebulizações domiciliares com salbutamol. Ao exame físico: PA: 135 × 85 mmHg; FC: 128 bpm; FR: 36 irpm; SpO2: 88% em ar ambiente. Murmúrio vesicular muito reduzido bilateralmente, com sibilos difusos e fala monossilábica. Gasometria arterial: pH: 7,33; PaCO2: 47 mmHg; PaO2: 62 mmHg; HCO3: 23. Após três nebulizações sequenciais com β2-agonista e ipratrópio, permanece com dispneia grave, uso de musculatura acessória e dificuldade para falar.
Mesmo após tratamento otimizado, o paciente evolui com rebaixamento do nível de consciência e bradipneia, necessitando intubação orotraqueal (IOT). Após IOT e ventilação mecânica, as pressões de pico estão elevadas (> 50 cmH2O), e o capnograma mostra hipercapnia persistente (PaCO2: 70 mmHg), com auto-PEEP visível. O ventilador está em volume controlado, VC: 6 mL/kg; FR: 20 irpm; PEEP: 8 cmH2O; FiO2: 60%.

Qual deve ser o ajuste ventilatório inicial para reduzir o risco de barotrauma e hiperdistensão dinâmica nesse paciente?
 

Provas

Questão presente nas seguintes provas
Leia o caso clínico a seguir para responder à questão:
Homem, 34 anos de idade, portador de asma desde a infância, chega à emergência com dispneia intensa, fala entrecortada e uso evidente de musculatura acessória. Relata início do quadro há cerca de 3 horas, sem melhora após várias nebulizações domiciliares com salbutamol. Ao exame físico: PA: 135 × 85 mmHg; FC: 128 bpm; FR: 36 irpm; SpO2: 88% em ar ambiente. Murmúrio vesicular muito reduzido bilateralmente, com sibilos difusos e fala monossilábica. Gasometria arterial: pH: 7,33; PaCO2: 47 mmHg; PaO2: 62 mmHg; HCO3: 23. Após três nebulizações sequenciais com β2-agonista e ipratrópio, permanece com dispneia grave, uso de musculatura acessória e dificuldade para falar.
Qual deve ser a conduta imediata e prioritária nesse momento?
 

Provas

Questão presente nas seguintes provas
Na reanimação cardiorespiratória pediátrica (RCP) com ritmo não chocável (assistolia/atividade elétrica sem pulso), qual sequência de prioridades e medicação representa o manejo inicial conforme as diretrizes?
 

Provas

Questão presente nas seguintes provas
Segundo as diretrizes da Global Initiative for Asthma (GINA), qual achado clínico indica intubação orotraqueal imediata na crise asmática?
 

Provas

Questão presente nas seguintes provas
Paciente do sexo feminino, 45 anos de idade, em uso de sertralina por transtorno depressivo e amiodarona por antecedente de extrassitolia ventricular, chega ao pronto antedimento com história de síncope há 10 minuto, apresentando PA: 110 × 70 mmHg e SatO2: 96% aa. Realizou-se o eletrocardiograma a seguir:
Enunciado 4482343-1 (Arquivo pessoal; imagem usada com autorização)

Qual é a conduta nesse caso?
 

Provas

Questão presente nas seguintes provas
Paciente do sexo masculino, 35 anos de idade, politrauma, com traumatismo crânio encefálico grave, chega à sala de emergência trazido pelo serviço de resgate com escala de coma de Glasgow de 5, com pupilas anisocóricas e hipertensão intracraniana (PIC = 28 mmHg) no monitor, associado a PA: 150 × 90 mmHg e FC: 122 bpm.

Qual é a intervenção terapêutica imediata?
 

Provas

Questão presente nas seguintes provas
Sobre o tratamento do choque anafilático, assinale a alternativa correta.
 

Provas

Questão presente nas seguintes provas
Sobre a arritmia evidenciada no eletrocardiograma de repouso a seguir, assinale a alternativa correta.
Enunciado 4482340-1 (Arquivo pessoal; imagem usada com autorização)
 

Provas

Questão presente nas seguintes provas
Paciente de 67 anos de idade, portadora de DPOC e diabetes mellitus tipo 2, comparece à consulta de revisão após alta hospitalar por pneumonia adquirida na comunidade. Encontra-se clinicamente estável, em seguimento ambulatorial, e relata calendário vacinal incompleto.

Considerando seu perfil clínico e o risco de complicações respiratórias e infecciosas, qual deve ser a prioridade em relação à vacinação para proteção contra desfechos graves segundo o calendário vacinal do adulto?
 

Provas

Questão presente nas seguintes provas
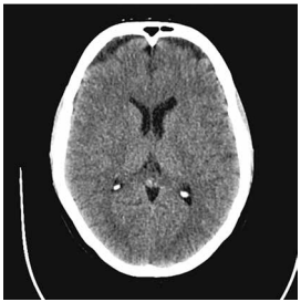
Paciente de 54 anos de idade, com história de febre, cefaleia intensa, vômitos e rebaixamento do nível de consciência há 24h. Glasgow 11; FC: 118 bpm; PA: 86 × 54 mmHg; Tax: 38,6 ºC; petéquias em tronco. SpO2: 96% em O2. Realizou-se a tomografia de crânio a seguir:
Enunciado 4482338-1 (Arquivo pessoal; imagem usada com autorização)

Qual é a prioridade terapêutica inicial?
 

Provas

Questão presente nas seguintes provas