Magna Concursos

Foram encontradas 600 questões.

3986436 Ano: 2025
Disciplina: Medicina
Banca: VUNESP
Orgão: SES-SP
Paciente de 59 anos, com trombocitemia essencial JAK2- -positiva, é reavaliado em consulta de retorno. O histórico é negativo para evento tromboembólico. Ele não toma medicamentos e não tem outros problemas médicos. Hemograma atual: contagem de plaquetas: 1.350.000/mm3; leucograma e hemoglobina: normais.
Constitui a próxima conduta correta:
 

Provas

Questão presente nas seguintes provas
3986435 Ano: 2025
Disciplina: Medicina
Banca: VUNESP
Orgão: SES-SP
Homem de 65 anos, com hepatite B crônica e cirrose, é avaliado no consultório. Ele não está em tratamento para hepatite B. A ultrassonografia abdominal recente não mostra nenhuma lesão suspeita no fígado. Exames séricos: aspartato aminotransferase: 45 U/L; alanina aminotransferase: 34 U/L; razão normalizada internacional: 1,3; bilirrubina total: 1 mg/dL. Perfil sorológico da hepatite B: HBeAg: negativo; anti-HBe: positivo; anti-HBs: negativo; HBsAg: positivo. DNA do vírus da hepatite B sérico: 3.000 UI/mL.
Nesse momento, a conduta de escolha é
 

Provas

Questão presente nas seguintes provas
3986434 Ano: 2025
Disciplina: Medicina
Banca: VUNESP
Orgão: SES-SP
Em relação à síndrome de Sjögren (SS), assinale a alternativa correta.
 

Provas

Questão presente nas seguintes provas
3986433 Ano: 2025
Disciplina: Medicina
Banca: VUNESP
Orgão: SES-SP
Mulher de 24 anos apresenta quadro de dor e edema no braço esquerdo há cerca de um dia. O histórico é relevante para uso frequente de drogas ilícitas. Ao exame físico, nota-se eritema na fossa antecubital esquerda e na parte superior do braço, com dor significativa à palpação. Tomografia do braço esquerdo: há gás observado em planos fasciais sugestivo de infecção necrotizante de tecidos moles.
Além do desbridamento cirúrgico de emergência, qual é o regime antibiótico parenteral de escolha?
 

Provas

Questão presente nas seguintes provas
3986432 Ano: 2025
Disciplina: Medicina
Banca: VUNESP
Orgão: SES-SP

Homem de 76 anos com DPOC é atendido em consulta de rotina. Ele é ex-fumante há quarenta anos e usa terapia inalatória combinada de tiotrópio e olodaterol. Relata piora progressiva da dispneia e aumento do volume de escarro nos últimos seis meses, além de sudorese noturna intermitente e mal-estar geral. Ao exame físico: SatO2 : 94% em ar ambiente; pulmonar com murmúrio vesicular reduzido difusamente. A espirometria mostra (% do previsto): VEF1: 48%; capacidade vital forçada: 81%. Não há achados significativos nos exames de sangue de rotina. Uma de três amostras de escarro coletadas em dias separados é positiva para o complexo Mycobacterium avium. A tomografia de tórax é mostrada a seguir:Homem de 76 anos com DPOC é atendido em consulta de rotina. Ele é ex-fumante há quarenta anos e usa terapia inalatória combinada de tiotrópio e olodaterol. Relata piora progressiva da dispneia e aumento do volume de escarro nos últimos seis meses, além de sudorese noturna intermitente e mal-estar geral. Ao exame físico: SatO2: 94% em ar ambiente; pulmonar com murmúrio vesicular reduzido difusamente. A espirometria mostra (% do previsto): VEF1: 48%; capacidade vital forçada: 81%. Não há achados significativos nos exames de sangue de rotina. Uma de três amostras de escarro coletadas em dias separados é positiva para o complexo Mycobacterium avium. A tomografia de tórax é mostrada a seguir:

Enunciado 4918958-1

Considerando a principal hipótese diagnóstica, o próximo passo mais apropriado no manejo desse paciente é

 

Provas

Questão presente nas seguintes provas
3986431 Ano: 2025
Disciplina: Medicina
Banca: VUNESP
Orgão: SES-SP
Mulher de 70 anos é avaliada devido a exames de sangue anormais. Os antecedentes são notáveis para hipertensão arterial, doença cardíaca isquêmica, doença renal crônica estágio 3 e úlcera péptica prévia. Ela está tomando ramipril, furosemida, suplementos de carbonato de cálcio e vitamina D. Ela nega sintoma, exceto dor abdominal ocasional e dispepsia frequente. Ao exame físico, ela está euvolêmica e a pressão arterial é de 110 x 80 mmHg. Exames séricos: cálcio ajustado: 12,1 mg/dL (normal: 8,5 a 10,5); fosfato: 2,7 mg/dL (normal: 2,3 a 4,6); bicarbonato: 37 mEq/L (normal: 22 a 26); proteína total: 6,0 g/dL; hormônio da paratireoide: baixo; 25-hidroxicolecalciferol: 50 ng/mL (normal: 20 a 48).
Constitui a explicação mais provável para os achados laboratoriais descritos:
 

Provas

Questão presente nas seguintes provas
3986430 Ano: 2025
Disciplina: Medicina
Banca: VUNESP
Orgão: SES-SP
Homem de 72 anos apresenta sangramento prolongado no local da punção arterial após cateterismo cardíaco. A heparina intravenosa é descontinuada. 24 horas depois, ele apresenta um grande hematoma na virilha, e o local da punção continua a apresentar sangramento, apesar da compressão. Ele não tem histórico de sangramento anormal. O perfil metabólico básico é normal. Outros resultados laboratoriais mostram: hematócrito: 27% (na admissão: 38%); plaquetas: 210.000/mm3; razão normalizada internacional: 1,2; tempo de tromboplastina parcial ativada: 85 segundos.
A próxima conduta que deve ajudar a determinar a causa do sangramento nesse paciente é solicitar
 

Provas

Questão presente nas seguintes provas
3986429 Ano: 2025
Disciplina: Medicina
Banca: VUNESP
Orgão: SES-SP
Homem de 68 anos, com diabetes e apneia obstrutiva do sono, desenvolve síndrome do desconforto respiratório agudo (ARDS) relacionada a quase afogamento. Isso progride para infecção bacteriana sobreposta e sepse. A angiotomografia de tórax é negativa para embolia pulmonar. O tratamento é realizado com vancomicina e piperacilina-tazobactam. Não há uso de droga vasopressora e não houve hipotensão durante a evolução. 48 horas após, ao exame físico, ele está euvolêmico; pressão arterial: 112 x 67 mmHg; temperatura: 38 ºC. Os exames séricos atuais são: creatinina: 2,5 mg/dL (à admissão: 0,9 mg/dL); bicarbonato: 14 mEq/L. Exame de urina: sedimento incolor, sem cilindros ou cristais. O sódio urinário é 40 mEq/L.
Qual é a etiologia mais provável para a injúria renal aguda (IRA)?
 

Provas

Questão presente nas seguintes provas
3986428 Ano: 2025
Disciplina: Medicina
Banca: VUNESP
Orgão: SES-SP
Mulher de 45 anos, com doença de Crohn ileal fibroestenótica, é atendida com quadro de diarreia crônica. Ela foi submetida a uma ressecção ileal há três anos para tratamento de obstrução do intestino delgado. Há dois meses, uma ileocectomia para obstrução recorrente foi realizada. A revisão de suas anotações cirúrgicas indica que aproximadamente 120 cm de íleo foram ressecados. Desde então, ela tem evacuado diariamente, com fezes múltiplas, soltas e fétidas. Não há hematoquezia ou melena. A paciente refere perda de peso de 3,6 kg nos últimos três meses e nega tabagismo ou consumo de álcool. Ao exame físico: sinais vitais normais; IMC: 20 kg/m2; abdome: notam-se cicatrizes cirúrgicas de aspecto normal, sem dor.
A causa mais provável da diarreia é
 

Provas

Questão presente nas seguintes provas
3986427 Ano: 2025
Disciplina: Medicina
Banca: VUNESP
Orgão: SES-SP
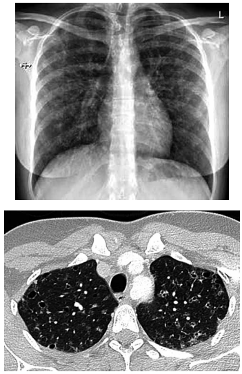
Mulher de 26 anos tem história de tosse crônica com secreção amarelada associada a dispneia ao subir escadas rapidamente. Ela fuma trinta cigarros por dia, com histórico de 13 anos-maço. Os testes de função pulmonar revelam (% do previsto): VEF1: 94%; capacidade vital forçada: 94%; capacidade pulmonar total: 107%; capacidade pulmonar de difusão de monóxido de carbono (TLCO): 57%. A radiografia e tomografia realizadas são mostradas a seguir:
Enunciado 4918945-1
O exame que mais provavelmente deve confirmar a principal hipótese diagnóstica é
 

Provas

Questão presente nas seguintes provas