Foram encontradas 600 questões.
Paciente de 10 anos de idade, antecedente de diagnóstico de diabetes mellitus tipo 1 há 2 anos, chega à sala
de emergência com história contada pelos pais de vômitos, dor abdominal e sonolência progressiva de inicio há
18h. Ao exame fisico: FC: 138 bpm, PA: 94/62 mmHg,
FR: 32 irpm, com padrão de respiração de Kussmaul,
SpO2: 97%, Glasgow 14, perfusão lentificada.
O paciente apresentava exames laboratoriais: gasometria arterial: pH: 7,08; PaCO2: 20; HCO3– : 6; AG: 28. Glicemia: 456 mg/dL. Na+ corrigido: 134 mEq/L. K+: 4,8 mEq/L. Cetose positiva. Lactato: 2,0.
As medidas iniciais foram realizadas com hidratação e insulina endovenosa, porém a criança evolui 4h depois com rebaixamento do nível de consciência, para Glasgow 10, antecedido de cefaleia intensa, sem hipotensão ou convulsão, porém com bradicardia relativa (FC: 92 bpm).
Quais são o diagnóstico da complicação e a conduta imediata?
O paciente apresentava exames laboratoriais: gasometria arterial: pH: 7,08; PaCO2: 20; HCO3– : 6; AG: 28. Glicemia: 456 mg/dL. Na+ corrigido: 134 mEq/L. K+: 4,8 mEq/L. Cetose positiva. Lactato: 2,0.
As medidas iniciais foram realizadas com hidratação e insulina endovenosa, porém a criança evolui 4h depois com rebaixamento do nível de consciência, para Glasgow 10, antecedido de cefaleia intensa, sem hipotensão ou convulsão, porém com bradicardia relativa (FC: 92 bpm).
Quais são o diagnóstico da complicação e a conduta imediata?
Provas
Questão presente nas seguintes provas
Em um paciente com hiponatremia grave
(Na < 120 mEq/L), qual sequência fisiopatológica
e diagnóstica orienta a conduta inicial segundo as
diretrizes?
Provas
Questão presente nas seguintes provas
Leia o caso clínico a seguir para responder à questão:
Paciente, sexo masculino, de 16 anos de idade, há
6 dias com febre, com melhora há 24 h, associada a
cefaleia, sonolência, sangramento gengival, mialgia,
vômitos, dor abdominal intermitente e tontura ao levantar, chega à UPA. Ao exame físico: PA: 100 × 66 mmHg;
FC: 112 bpm; abdome com hepatomegalia 2 cm; dor à
palpação em FID, sem sinais de irritação peritoneal.
Petéquias discretas, prova do laço positiva. Exames
complementares iniciais: Ht: 44% (prévio 38% há
48 h); Hb: 13,8 g/dL; plaquetas: 58.000/mm3; leucócitos: 3.100/mm3; Na+: 132 mEq/L; K+: 3,6; Cr: 0,8; TGO/
TGP: 68/74 U/L. Albumina: 3,1 g/dL. Ultrassom: discreto derrame pleural direito e traço de líquido livre em
fossa ilíaca direita.
Qual é a estratégia imediata de fluidoterapia?
Provas
Questão presente nas seguintes provas
Leia o caso clínico a seguir para responder à questão:
Paciente, sexo masculino, de 16 anos de idade, há
6 dias com febre, com melhora há 24 h, associada a
cefaleia, sonolência, sangramento gengival, mialgia,
vômitos, dor abdominal intermitente e tontura ao levantar, chega à UPA. Ao exame físico: PA: 100 × 66 mmHg;
FC: 112 bpm; abdome com hepatomegalia 2 cm; dor à
palpação em FID, sem sinais de irritação peritoneal.
Petéquias discretas, prova do laço positiva. Exames
complementares iniciais: Ht: 44% (prévio 38% há
48 h); Hb: 13,8 g/dL; plaquetas: 58.000/mm3; leucócitos: 3.100/mm3; Na+: 132 mEq/L; K+: 3,6; Cr: 0,8; TGO/
TGP: 68/74 U/L. Albumina: 3,1 g/dL. Ultrassom: discreto derrame pleural direito e traço de líquido livre em
fossa ilíaca direita.
Provas
Questão presente nas seguintes provas
Em emergência hipertensiva com lesão de órgão-alvo,
qual meta inicial de redução pressórica é adequada?
Provas
Questão presente nas seguintes provas
Em pacientes com SDRA moderada a grave em ventilação mecânica invasiva, qual estratégia ventilatória está
mais associada à redução de mortalidade segundo as
diretrizes?
Provas
Questão presente nas seguintes provas
Paciente do sexo masculino, 72 anos de idade, extabagista, DPOC (GOLD II), chega ao pronto-socorro
com febre, tosse purulenta, dispneia progressiva e
confusão mental. Ao exame físico: PA: 82 × 50 mmHg;
FC: 118 bpm; FR: 28 irpm; SpO2: 90% com cateter
3 L/min; T: 38,7 ºC; tempo de enchimento capilar de
5 s; extremidades frias. Na abordagem terapêutica inicial, o paciente recebeu ringer lactato (2.100 mL EV) em
45 minutos e antibioticoterapia de amplo espectro (piperacilina-tazobactam 4,5 g EV).
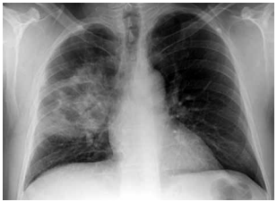
Porém, após a reposição volêmica, o paciente apresenta PA: 86 × 52 mmHg; FC: 116 bpm; saturação venosa de O2: 61%; lactato: 4,6 mmol/L (antes 4,9). Gasometria venosa: pH: 7,31; PvCO2: 46 mmHg; HCO3: 22 mEq/L. Creatinina: 2,2 mg/dL (baseline 1,0); bilirrubinas normais; leucócitos: 17.800/mm3; PCR: 22 mg/dL. Realizou-se a radiografia de tórax a seguir:
(Arquivo pessoal; imagem usada com autorização)
Qual é a intervenção hemodinâmica apropriada nesse momento?
Porém, após a reposição volêmica, o paciente apresenta PA: 86 × 52 mmHg; FC: 116 bpm; saturação venosa de O2: 61%; lactato: 4,6 mmol/L (antes 4,9). Gasometria venosa: pH: 7,31; PvCO2: 46 mmHg; HCO3: 22 mEq/L. Creatinina: 2,2 mg/dL (baseline 1,0); bilirrubinas normais; leucócitos: 17.800/mm3; PCR: 22 mg/dL. Realizou-se a radiografia de tórax a seguir:
(Arquivo pessoal; imagem usada com autorização)
Qual é a intervenção hemodinâmica apropriada nesse momento?
Provas
Questão presente nas seguintes provas
Mulher de 74 anos apresenta quadro de cefaleia e febre
há quatro dias. Ela tem diabetes tipo 2 e hipertensão e
está em uso de metformina e anlodipino. Não há viagem
recente. O histórico é positivo para erupção cutânea com
penicilina. Ao exame físico: sonolenta, confusa; temperatura: 38,2 ºC; pressão arterial: 142 x 92 mmHg; frequência cardíaca: 98 bpm; há rigidez de nuca; fundo de
olho sem papiledema; não há déficit neurológico focal. O
líquor evidencia pleocitose com predomínio de polimorfonucleares.
Além da ceftriaxona, o agente antibacteriano que deve ser administrado é
Além da ceftriaxona, o agente antibacteriano que deve ser administrado é
Provas
Questão presente nas seguintes provas
Mulher de 48 anos, na pós-menopausa, é avaliada em
consulta de retorno por diabetes mellitus tipo 2, hipertensão, obesidade e dislipidemia (HDL baixo; LDL e triglicérides elevados). Relata estar sobrecarregada com a pouca
melhora do controle glicêmico, mas se sente bem. Ela segue a dieta mediterrânea e faz exercícios desde a última
consulta; perdeu 6% do peso corporal, mas agora atingiu
um platô. O tratamento atual inclui: metformina, dapagliflozina, enalapril, anlodipino, indapamida e rosuvastatina.
A hemoglobina A1c recente é 7,9%, abaixo dos 8,4% anteriores à perda de peso. Exame físico: pressão arterial:
128 x 72 mmHg; IMC: 34,2 kg/m2, circunferência abdominal: 97 cm. Exames séricos: hemograma e coagulograma
normais; albumina: 4,4 g/dL; aspartato aminotransferase:
42 U/L; alanina aminotransferase: 36 U/L; creatinina:
0,8 mg/dL; eletrólitos normais.
Para essa paciente, a conduta correta é
Para essa paciente, a conduta correta é
Provas
Questão presente nas seguintes provas
Homem de 56 anos apresenta quadro de tremor de repouso bilateral nos membros superiores há seis meses.
Ao exame físico, apresentava tremor de repouso bilateral
de frequência moderada, ligeiramente mais acentuado
no membro superior direito do que no esquerdo, e rigidez em roda dentada bilateral, que parecia ser igual em
ambos os membros; bradicinesia significativa que afeta
ambos os lados do corpo. Foi-lhe prescrita levodopa, que
teve pouco efeito sobre os sintomas. No acompanhamento, um ano depois, ele relata instabilidade significativa na
marcha. Nesse momento, o exame mostra dismetria bilateral, e sua marcha é ampla e ligeiramente cambaleante.
Uma ressonância magnética (imagem axial ponderada
em T2) é realizada e mostrada a seguir:
Qual é o diagnóstico mais provável para esse paciente?
Qual é o diagnóstico mais provável para esse paciente?
Provas
Questão presente nas seguintes provas
Cadernos
Caderno Container