Foram encontradas 600 questões.
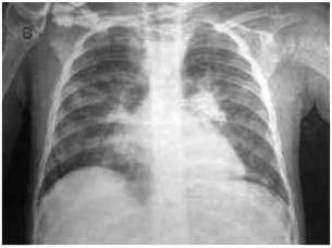
Paciente do sexo masculino, de 58 anos, portador de
diabetes mellitus do tipo 2, dislipidemia e doença arterial
coronariana, é admitido no pronto-socorro com cefaleia
intensa, turvação visual e dispneia súbita há dois horas.
Ao exame físico: PA: 220 × 130 mmHg, FC: 96 bpm,
SpO2: 94% em ar ambiente, crepitações bibasais e B3
audível. A gasometria arterial demostra hipoxemia leve, e
a radiografia de tórax é mostrada a seguir:
(Arquivo pessoal; imagem usada com autorização)
Com base no quadro clínico, é correto afirmar que o diagnóstico e a conduta inicial são, correta e respectivamente:
(Arquivo pessoal; imagem usada com autorização)
Com base no quadro clínico, é correto afirmar que o diagnóstico e a conduta inicial são, correta e respectivamente:
Provas
Questão presente nas seguintes provas
Analise o caso clínico a seguir para responder à questão:
Paciente do sexo feminino, de 65 anos, portadora de hipertensão arterial e dislipidemia mista, chega à sala de emergência com história de dor torácica há três horas, sem fatores de piora. Nega irradiação. Realizou eletrocardiograma mostrado a
seguir, com troponina ultrassensível elevada:

(Arquivo pessoal; imagem usada com autorização)
Provas
Questão presente nas seguintes provas
Analise o caso clínico a seguir para responder à questão:
Paciente do sexo feminino, de 65 anos, portadora de hipertensão arterial e dislipidemia mista, chega à sala de emergência com história de dor torácica há três horas, sem fatores de piora. Nega irradiação. Realizou eletrocardiograma mostrado a
seguir, com troponina ultrassensível elevada:

(Arquivo pessoal; imagem usada com autorização)
Provas
Questão presente nas seguintes provas
Paciente do sexo feminino, de 72 anos, portadora de nefropatia diabética com disfunção renal grave (clearance de
creatinina de 14 mL/min/1,73 m2) e insuficiência cardíaca de classe funcional II (NYHA), apresenta dor torácica atípica há
uma semana, irradiada para dorso, com melhora em posição sentada e piora ao decúbito. Refere febre baixa e cansaço
progressivo na chegada à UPA. Ao exame físico: PA: 110 × 68 mmHg, FC: 98 bpm, bulhas normofonéticas com atrito
pericárdico audível, sem sopros, ausculta pulmonar limpa. Exames laboratoriais iniciais: ureia: 198 mg/dL; creatinina:
4,8 mg/dL; potássio: 4,9 mEq/L; troponina levemente aumentada, sem elevação dinâmica. Realizou o eletrocardiograma
mostrado a seguir:
(Arquivo pessoal; imagem usada com autorização)
Diante do quadro clínico, a estratégia terapêutica correta é
(Arquivo pessoal; imagem usada com autorização)
Diante do quadro clínico, a estratégia terapêutica correta é
Provas
Questão presente nas seguintes provas
Analise o caso clínico a seguir para responder à questão:
Paciente do sexo feminino, de 78 anos, portadora de
fibrilação atrial crônica, em uso irregular de anticoagulante
oral (apixabana 2,5 mg duas vezes ao dia), é admitida na
UTI com dor abdominal intensa e difusa há oito horas, desproporcional aos achados do exame físico. Relata náuseas e
evacuação de fezes com sangue escuro há doze horas. Ao
exame físico: pressão arterial: 90 × 60 mmHg, FC: > 112 bpm,
abdome flácido, sem sinais de irritação peritoneal, mas com
dor difusa à palpação. Exames laboratoriais iniciais: lactato
sérico: 6,1 mmol/L; leucócitos: 19.000/mm3. Gasometria:
pH: 7,28; bicarbonato: 16 mEq/L.
Provas
Questão presente nas seguintes provas
Analise o caso clínico a seguir para responder à questão:
Paciente do sexo feminino, de 78 anos, portadora de
fibrilação atrial crônica, em uso irregular de anticoagulante
oral (apixabana 2,5 mg duas vezes ao dia), é admitida na
UTI com dor abdominal intensa e difusa há oito horas, desproporcional aos achados do exame físico. Relata náuseas e
evacuação de fezes com sangue escuro há doze horas. Ao
exame físico: pressão arterial: 90 × 60 mmHg, FC: > 112 bpm,
abdome flácido, sem sinais de irritação peritoneal, mas com
dor difusa à palpação. Exames laboratoriais iniciais: lactato
sérico: 6,1 mmol/L; leucócitos: 19.000/mm3. Gasometria:
pH: 7,28; bicarbonato: 16 mEq/L.
Provas
Questão presente nas seguintes provas
Qual fator de risco tem maior correlação com delirium em
pacientes idosos hospitalizados na UTI?
Provas
Questão presente nas seguintes provas
Paciente jovem foi admitido na UTI com quadro de
edema periorbitário, oligúria, hematúria macroscópica e
hipertensão arterial (160 × 100 mmHg), cinco dias após
um episódio de faringoamigdalite. O exame de urina
revela hematúria com dismorfismo eritrocitário e cilindros
hemáticos, além de proteinúria discreta (1,2g/24h).
A creatinina sérica está em 2,1 mg/dL.
Com base no quadro clínico e nos achados laboratoriais, assinale a alternativa que apresenta corretamente a característica típica da síndrome nefrítica aguda.
Com base no quadro clínico e nos achados laboratoriais, assinale a alternativa que apresenta corretamente a característica típica da síndrome nefrítica aguda.
Provas
Questão presente nas seguintes provas
Paciente de 42 anos, previamente hígido, é admitido na UTI
devido a instabilidade hemodinâmica (PA: 90 × 60 mmHg),
dor articular incapacitante com limitação funcional grave
e plaquetopenia significativa (85.000/mm3), em contexto
de febre alta há quatro dias. Apresenta edema importante
em articulações periféricas (mãos, punhos e tornozelos) e
queixa-se de dor intensa que impede deambulação. Relata
que outros familiares desenvolveram sintomas semelhantes
e que mora em área urbana com aumento recente de casos
de arboviroses.
Diante desse quadro clínico e do cenário epidemiológico, qual é o diagnóstico mais provável?
Diante desse quadro clínico e do cenário epidemiológico, qual é o diagnóstico mais provável?
Provas
Questão presente nas seguintes provas
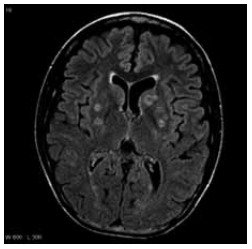
Paciente do sexo masculino, de 49 anos, portador de HIV
diagnosticado há dez anos, interrompeu a TARV há três
anos. Procura o pronto-socorro com cefaleia progressiva
há quatro semanas, associada a febre, sendo internado
na unidade de terapia intensiva por confusão mental e
fraqueza em hemicorpo esquerdo. Ao exame físico:
desorientado, paresia grau 3/5 em membro superior
esquerdo, sem rigidez de nuca. Realizou a ressonância
de crânio mostrada a seguir:
(Arquivo pessoal; imagem usada com autorização)
Qual é o diagnóstico clínico associado?
(Arquivo pessoal; imagem usada com autorização)
Qual é o diagnóstico clínico associado?
Provas
Questão presente nas seguintes provas
Cadernos
Caderno Container