Foram encontradas 600 questões.
Uma mulher de 77 anos, hipertensa, apresenta-se ao pronto-socorro após um episódio de síncope não testemunhado em casa. Ela estava de pé e não apresentou sintomas prévios. A paciente apenas se recorda de ter acordado no chão. Não há história prévia de síncope. Medicamento em uso: anlodipina 5 mg/dia. Um eletrocardiograma é registrado:

(Arquivo pessoal; imagem usada com autorização)
A paciente permaneceu assintomática após o evento, e os exames laboratoriais iniciais foram normais.
A melhor conduta para essa paciente é:
Provas
Mulher, 56 anos, portadora de miocardiopatia dilatada não isquêmica e fração de ejeção de 20%, em terapia de ressincronização cardíaca com desfibrilador (CRT-D) implantado há 6 meses, apresenta-se ao consultório com história de 2 semanas de piora progressiva da dispneia aos esforços. Nega qualquer falta de adesão medicamentosa ou dietética. Continua em uso regular dos seguintes medicamentos: furosemida, 40 mg, duas vezes ao dia; carvedilol, 6,25 mg, duas vezes ao dia; sacubitril/valsartana, 24/26 mg, duas vezes ao dia; espironolactona, 12,5 mg ao dia; empagliflozina, 10 mg ao dia.
Ao exame físico: FC 88 bpm; PA 98 x 60 mmHg; pressão venosa jugular 12 cmH2 O; pulmões limpos; ritmo cardíaco regular, com presença de B3; extremidades aquecidas, com leve edema. Realizou eletrocardiograma (ECG), conforme segue:

(Arquivo pessoal; imagem usada com autorização)
A radiografia de tórax mostra leve congestão vascular pulmonar. Assim sendo, assinale a alternativa que a presenta a melhor conduta para esse caso.
Provas
Homem, 62 anos, hipertenso e portador de DPOC leve, chega ao pronto-socorro com palpitações intensas, iniciadas há cerca de 40 minutos, associadas a leve dispneia. Ao exame:
PA 104 × 62 mmHg; FC 188 bpm; FR 22 irpm; saturação 95% AA. Está consciente, sudorético, sem dor torácica. Realizou o ECG a seguir:

(Arquivo pessoal; imagem usada com autorização)
Foi realizada manobra vagal: sem resposta significativa. Na sequência, foram administradas 6 mg de adenosina, ocorrendo breve pausa e retorno imediato da taquicardia, mantendo o mesmo padrão. Eco portátil: função normal, sem sinais de congestão.
Qual é a conduta mais apropriada nesse cenário?
Provas
Homem de 50 anos é encaminhado para avaliação cardiológica. Ele é ex-tabagista e realizou uma tomografia computadorizada de tórax para rastreamento de câncer de pulmão. O exame foi negativo para malignidade, mas mostrou uma possível anomalia de artéria coronária. Uma angiotomografia coronária subsequente revelou uma artéria coronária direita (RCA) anômala, originando-se do seio coronariano esquerdo e com trajeto interarterial, sem aterosclerose.
Para investigar melhor o achado, ele realizou uma cintilografia do miocárdio para pesquisa de isquemia ao esforço – induzida, que mostrou isquemia moderada na parede inferior.
Assinale a alternativa que apresenta a conduta mais apropriada.
Provas
Mulher de 80 anos é trazida ao pronto-socorro após queda da própria altura. Apresenta antecedentes de hipertensão, dislipidemia e fibrilação atrial persistente. Ela é alérgica à aspirina e faz uso dos seguintes medicamentos: lisinopril e apixabana. Ao exame físico, apresenta sopro sistólico no bordo esternal direito e rotação externa do membro inferior esquerdo. O eletrocardiograma está ilustrado a seguir:

O ecocardiograma bidimensional mostra fração de ejeção de 50%, área valvar aórtica de 0,72 cm2, gradiente médio de 41 mmHg e insuficiência aórtica leve. Após discussão pelo “heart team”, decide-se pelo implante transcateter de valva aórtica (TAVI).
Dentre as alternativas a seguir, assinale aquela que é contraindicação absoluta para TAVI, considerando o quadro clínico e a apresentação nessa paciente.
Provas
(Arquivo pessoal; imagem usada com autorização) Em face do exposto, qual é a melhor conduta inicial?
Provas
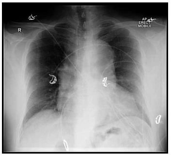
Mulher de 56 anos chega ao pronto-socorro com dispneia. Refere piora progressiva dos sintomas nas últimas 2 semanas. História médica: câncer de mama tratado recentemente com quimioterapia. Exame físico da admissão: PA: 88 × 64 mmHg; FC: 112 bpm; SpO2: 94% em ar ambiente. Presença de turgência jugular, bulhas cardíacas taquicárdicas, sem sopros; pulmões limpos; ausência de edema de membros inferiores; extremidades frias. ECG: taquicardia sinusal. Ecocardiograma à beira-leito: função do VE hiperdinâmica; grande derrame pericárdico circunferencial. Os exames laboratoriais ainda não estão disponíveis.
Assinale a alternativa que apresenta a conduta imediata mais apropriada, antes do tratamento definitivo.
Provas
Mulher, 65 anos, com histórico de diabetes mellitus e hipertensão, é avaliada por dor torácica aos esforços. Foi realizada cintilografia do miocárdio associada ao estresse físico (teste ergométrico), que evidenciou isquemia induzida no ápice e na parede anterior do ventrículo esquerdo, com fração de ejeção de 45%. Suas medicações atuais incluem: aspirina, lisinopril, atorvastatina, metformina, metoprolol e mononitrato de isossorbida. Ao exame físico: afebril, PA 130 × 72 mmHg; FC 72 bpm; FR 16 irpm. Função renal normal.
Qual é o próximo passo mais apropriado na investigação diagnóstica dessa paciente?
Provas
Mulher, 41 anos, previamente saudável, apresenta hipertensão arterial de início recente, com valores persistentes em torno de 170–180 x 100–110 mmHg, apesar do início de terapia com um bloqueador de canal de cálcio e um inbidor da ECA.
Refere episódios de sudorese fria, ansiedade intensa súbita, cefaleia pulsátil, e palpitações irregulares, geralmente precipitados por mudança de posição ou durante evacuação. Nega tabagismo, e a função renal é normal. Exames iniciais mostram:
Potássio: 4,3 mEq/L.
Sódio: 140 mEq/L.
Creatinina: 0,7 mg/dL.
TSH: normal.
ECG: extrassístoles supraventriculares frequentes.
Cintilografia de tireoide: normal.
Entretanto, o médico nota que as metanefrinas plasmáticas estão limítrofes e que os episódios hipertensivos são muito irregulares, com períodos de pressão arterial normal entre as crises. A paciente também relata que, há meses, percebe nódulos indolores nos lábios e episódios de diarreia esporádica.
Qual etiologia deve ser fortemente considerada como causa da hipertensão dessa paciente?
Provas
Mulher, 29 anos, retorna para consulta de seguimento. Sua história médica inclui psoríase e hipertensão mal controlada, mesmo utilizando 3 medicamentos anti-hipertensivos. Ela nega tabagismo. Eletrólitos e função renal estão normais. Exames laboratoriais foram negativos para feocromocitoma.
Considerando a faixa etária e prevalência, qual é a causa mais provável da hipertensão secundária dessa paciente?
Provas
Caderno Container