Foram encontradas 544 questões.
Em relação ao Mal de Paget/Doença de Paget (afecção óssea crônica), assinale V para a afirmativa verdadeira e F para a falsa.
I. Diagnóstico clínico: sintomatologia dolorosa e fraturas espontâneas.
II. Diagnóstico laboratorial: aumento isolado da fosfatase alcalina em uma pessoa saudável nos demais aspectos.
III. Diagnóstico por imagem: a osteosclerose é de difícil caracterização nas radiografias realizadas habitualmente.
As afirmativas são, respectivamente,
Provas
Em relação à tuberculose pulmonar, a fim de se conter a cadeia de transmissão da doença e atuar no controle da infecção, o indivíduo com tuberculose bacilífera (baciloscopia positiva) deve permanecer afastado do trabalho até apresentar
Provas
O esquema básico para o tratamento da tuberculose de adultos é composto por: rifampicina; isoniazida; pirazinamida e etambutol.
Em relação aos efeitos adversos de menor gravidade e seus manejos clínicos assinale a afirmativa correta.
Provas
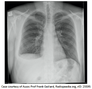
Um paciente de 45 anos é atendido em um ambulatório. Ele apresenta: queda do estado geral e sensação de febre. Ele traz uma radiografia de tórax em posição póstero-anterior realizada recentemente.

Esta radiografia revela
Provas
O Código de Ética Médica declara que é vedado ao médico causar dano ao paciente, por ação ou omissão, caracterizável como imperícia, imprudência ou negligência.
Relacione as caracterizações a seguir às suas respectivas definições.
1. Imperícia
2. Imprudência
3. Negligência
( ) É a omissão da diligência devida, da conduta esperada. É a falta de cuidados e de atenção.
( ) É incompetência, inexperiência, inaptidão técnica, despreparo profissional; carência de aptidão prática e teórica.
( ) É o agir com açodamento, ausência de ponderação. Quando tendo conhecimento do risco e não ignorando a ciência médica, toma a decisão de agir assim mesmo.
A relação correta, na ordem apresentada é
Provas
Um novo texto do Código de Ética Médica (CEM) entrou em vigor no dia 30 de abril de 2019, incorporando temas pertinentes às mudanças da sociedade.
Assinale V para a afirmativa verdadeira e F para a falsa a seguir apresentadas.
De acordo com o CEM, capítulo XIII – PUBLICIDADE, é vedado ao médico:
( ) Permitir que sua participação na divulgação de assuntos médicos, em qualquer meio de comunicação de massa, deixe de ter caráter exclusivamente de esclarecimento e educação da sociedade.
( ) Divulgar informação sobre assunto médico de forma sensacionalista, promocional ou de conteúdo inverídico.
( ) Incluir, em anúncios profissionais de qualquer ordem, seu nome, seu número no Conselho Regional de Medicina, com o estado da Federação no qual foi inscrito e Registro de Qualificação de Especialista (RQE) quando anunciar a especialidade.
As afirmativas são, respectivamente,
Provas
Avalie se as afirmativas a seguir, acerca do Índice de Gini, são falsas (F) ou verdadeiras (V).
I. Mede o grau de concentração de renda em determinado grupo, apontando a diferença entre os rendimentos dos mais pobres e os dos mais ricos.
II. Numericamente, varia de zero a um.
III. Quanto mais perto de zero é o índice de Gini de um grupo, mais concentrada nas mãos de poucos é a renda do grupo.
As afirmativas são respectivamente
Provas
Em relação a características das séries temporais, avalie se as afirmativas a seguir são falsas (F) ou verdadeiras (V):
I. A autocorrelação avalia o modo como uma observação, num dado instante, está relacionada com as observações passadas; em particular, a autocorrelação de primeira ordem caracteriza séries nas quais uma observação está correlacionada com a observação imediatamente anterior.
II. A tendência de uma série temporal é uma medida do padrão de crescimento (positivo ou negativo) da variável em um certo período de tempo.
III. A sazonalidade mede se há padrões de comportamento que se repetem em épocas específicas. IV. Dizemos que uma série temporal apresenta estacionariedade se a variável em estudo se comporta de modo aleatório ao longo do tempo ao redor de uma média constante.
As afirmativas são respectivamente
Provas
Avalie as seguintes afirmativas acerca da Análise Discriminante Linear (ADL) estão corretas:
I. Análise Discriminante Linear é usada para classificar e visualizar dados e reduzir dimensão do problema.
II. A ideia é dividir o espaço de dados em regiões que representam as classes e usar uma regra de alocação para alocar cada observação em alguma região.
III. O que se espera com a aplicação da ADL é que a variância entre classes seja maximizada em relação à variância intraclasse.
Está correto o que se afirma em
Provas
As afirmativas a seguir, acerca da análise de componentes principais (ACP) estão corretas, à exceção de uma. Assinale-a.
Provas
Caderno Container