Foram encontradas 60 questões.
Considere o texto a seguir:
A sessão da Câmara Federal de 17 de abril de 2016, que aprovou a abertura do processo de impeachment da presidenta Dilma Rousseff, causou profundo impacto na sociedade brasileira. Não apenas pela gravidade institucional da matéria e da decisão, mas também por ter revelado limitações e contradições de grande parte dos parlamentares; todos eles eleitos pelo voto popular. Um verdadeiro choque para muitos brasileiros.
Recolhido de “PELA LÍNGUA PORTUGUESA
DO BRASIL, VOTO SIM!”
http://noticias.r7.com/blogs/portugues-de-brasileiro/pela-lingua-
-portuguesa-do-brasil-voto-sim-20160417/
Dentre as bizarrices ditas durante as indevidas declarações de voto, chamaram atenção diversos atropelos à norma culta da língua portuguesa, conforme citado nas alternativas adiante. Assinale a única alternativa em que não ocorre falha de concordância:
Provas
Questão presente nas seguintes provas
Considere o seguinte contexto:
Durante um julgamento, em agosto deste ano, o ministro Ricardo Lewandowski passou, assim, a palavra à colega Cármen Lúcia, que o
substituiria na presidência do Supremo Tribunal Federal (STF): “Então eu concedo a palavra à eminente ministra Cármen Lúcia, nossa presidenta eleita… ou presidente?”
A ministra – em alusão à preferência da então presidenta afastada Dilma Rousseff pelo termo presidenta – respondeu: “Eu fui estudante e eu sou amante da língua portuguesa. Acho que o cargo é de presidente, não é não?”, disse, rindo.
Inconveniências à parte, o fato é que ambas as formas são aceitas para designar uma mulher que assume a presidência de qualquer órgão ou do país. Presidenta ou presidente. No dicionário ‘Houaiss’, por exemplo, está consignado o termo presidenta para definir ‘mulher que preside (algo)’ ou ‘mulher que se elege para a presidência de um país’. O termo, portanto, é vernáculo. Leia, atentamente, os três títulos e subtítulos selecionados da repercussão que o episódio teve na mídia e assinale a alternativa correta:
(1) “Cármen Lúcia pede para ser chamada de ‘presidente’ em vez de ‘presidenta’” | G1;
(2) “Presidenta ou presidente? Cármen Lúcia assume o STF e recusa-se ser chamada pelo feminino de presidente” | Revista Carta Capital;
(3) “Carmen Lúcia revogou a invencionice arrogante de Dilma” | Revista Veja.
Provas
Questão presente nas seguintes provas
Considere o texto a seguir:
“O tradicional colégio Pedro II, escola federal fundada em 1837, no Rio, não tem mais uniformes masculino e feminino. Na prática, o uso de saias está autorizado para os meninos, que podem usá-las livremente. Desde maio deste ano, o Pedro II adota nas listas de chamada o nome social escolhido por alunos e alunas transexuais”.
Adaptado de Colégio Pedro II, no Rio, libera saia para
meninos. Estadão, 20/09/2016.
http://educacao.estadao.com.br/noticias/geral,colegio-pedro-
-ii-no-rio-libera-saia-para-meninos,10000077010
Para o estabelecimento da coesão textual, são diversos os recursos disponíveis na língua portuguesa. Entre eles estão os pronomes. O termo las, em destaque no primeiro parágrafo, trata-se de pronome pessoal:
Provas
Questão presente nas seguintes provas

O verbete golpista é assim descrito no dicionário HOUAISS da língua portuguesa:
- n “adjetivo e substantivo de dois gêneros
- que ou aquele que dá golpe (‘manobra desleal’ e ‘golpe de Estado’) ou golpes
- que ou quem é favorável a golpe(s) de Estado”
Como substantivo, golpista apresenta uma só forma para o gênero masculino e o gênero feminino. A distinção de gênero deve ser feita com o uso dos artigos o, a, um, uma ou de outros determinantes (o golpista, a golpista, um golpista, uma golpista).
Marque a alternativa em que aparece, também, um substantivo biforme, aquele que apresenta duas formas diferentes, uma para o gênero masculino e outra para o gênero feminino.
Provas
Questão presente nas seguintes provas
Diante do avanço conservador, há debates polêmicos em curso sobre a existência ou não de uma “nova direita”. Há um novo fenômeno, há novas estratégias ou simplesmente há mais do mesmo?
O professor Emir Sader considera que uma “nova direita” surgiu quando ela assumiu a ideologia e os projetos econômicos do neoliberalismo em resposta ao esgotamento do desenvolvimentismo e à crise do socialismo e do estado de bem-estar social, entre os anos 80 e 90.
Adaptado de A direita avança, de Vitor Taveira.
Revista Caros Amigos, n° 231, 2016.
Ao tomar como referência o trecho sublinhado, quanto à concordância verbal, é correto afirmar que o verbo haver é:
Provas
Questão presente nas seguintes provas
TEXTO 03
PNEUMOTÓRAX
“Febre, hemoptise, dispnéia e suores noturnos.
A vida inteira que podia ter sido e que não foi.
Tosse, tosse, tosse.
Mandou chamar o médico:
- Diga trinta e três.
- Trinta e três... trinta e três... trinta e três...
- Respire.
.....................................................................................
- O senhor tem uma escavação no pulmão esquerdo e o pulmão direito infiltrado.
- Então, doutor, não é possível tentar o pneumotórax?
- Não. A única coisa a fazer é tocar um tango argentino.”
Manuel Bandeira (1886-1968), poeta, acadêmico e
professor de literatura hispano-americana da Faculdade
Nacional de Filosofia da Universidade do Brasil (atual UFRJ).
No verso “- Não. A única coisa a fazer é tocar um tango argentino.”, o médico, pelas mãos do poeta, sintetiza o estado de seu paciente tuberculoso. Considerado todo o poema, é correto afirmar que nesse verso final:
Provas
Questão presente nas seguintes provas
TEXTO 2
“APAGAR-ME
Apagar-me
diluir-me
desmanchar-me
até que depois
de mim
de nós
de tudo
não reste mais
que o charme.”
- Paulo Leminski,
É correto afirmar que, nesse seu belo poema, Paulo Leminski pôs no centro de sua estratégia poética o uso intensivo da:
Provas
Questão presente nas seguintes provas
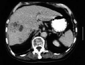
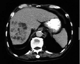
Um homem de 65 anos apresenta febre, astenia, perda de apetite, náusea e emagrecimento há cerca de 3 semanas. Os exames laboratoriais revelaram Htc 30%, Hgb 10g%, Leucócitos 11000 (0 – 0 – 0 – 0 – 7 – 68 – 17 – 8), AST 29 U/L (normal até 31 U/L), ALT 30 (normal até 37 U/L), fosfatase alcalina 320 U/L (normal até 120 U/L), bilirrubina total 0,9 mg/dL, bilirrubina indireta 0,7 mg/dL. USG abdominal: massa heterogênea de limites pouco definidos em lobo direito do fígado. TC de abdômen (a seguir). Observe as imagens e assinale a alternativa que apresenta o diagnóstico provável.


Provas
Questão presente nas seguintes provas
A IDADE MÉDIA NACIONAL
O Brasil desencaixou. Desencaixou e passou a rodar no fuso paraguaio. Lá, como se sabe, depois de peculiar processo, o presidente Fernando Lugo foi impedido, assumindo o vice-presidente. Também não amputaram a Lugo os direitos políticos. Dizem os golpistas de lá, como os daqui, que o processo de impedimento seguiu os trâmites legais, que não houve atentado à Constituição nem violência física. Aqui, como também se sabe, os golpistas mantiveram os ritos, não promoveram violência (as pancadarias de antes e de depois do golpe não contam, claro) e garantiram direitos políticos à presidente impedida.
Dizia o Carlos Marx que a história só se repete como farsa; bela frase, mas um erro rotundo. A Segunda Guerra Mundial reencenou tragicamente a Primeira, as duas resultando da estúpida competição por mercados entre imperialismos expansionistas. A guerra do Vietnã é a da Coréia, só que com inovação tecnológica: a bomba de napalm, despejada sobre populações civis. O golpe brasileiro de 2016 não reprisa 1964, mas o paraguaio de 2002, em sua mais pura essência política: uma condenação sem provas, os legisladores maculando o mandato que detinham; uma concessão de direitos políticos que não possuíam autoridade constitucional para outorgar. Garantir os direitos políticos de Dilma Rousseff é tanto indício de golpe de Estado quanto cassar seu mandato: o de reescrever a Constituição pela força tirânica de maioria institucional.
O país ingressa em sua Idade Média. Os conservadores dominam as instituições do Executivo, do Legislativo e do Judiciário com base em inegável maioria ocasional. Não é por isso, apenas, que são golpistas, mas pelo uso soberbo do poder. Assim como a Idade Média e o absolutismo só foram unânimes pela repressão, o conservadorismo hegemônico só se sustenta pela asfixia da divergência. Asfixia de que não está ausente a chantagem da vida privada de alguns, como bem a conhecem ilustres membros do Judiciário e do Legislativo, e violência nas ruas, com a brutalidade que for necessária.
Só entregarão o poder por via democrática se, multiplicando fogueiras, não puderem evitá-lo.
Wanderley Guilherme dos Santos.
Cientista Político, Professor aposentado da UFRJ.
Segunda Opinião, 16 de setembro de 2016
http://insightnet.com.br/segundaopiniao/,
No trecho “Dizia o Carlos Marx que a história só se repete como farsa; bela frase, mas um erro rotundo.”, que inicia o segundo parágrafo, a conjunção mas pode ser substituída, sem alteração de sentido, por:
Provas
Questão presente nas seguintes provas
Um homem de 40 anos apresenta astenia e prurido há 1 ano. Ao exame, está anictérico, afebril, com escoriações em MMSS e abdômen,
com fígado palpável a 2 cm do RCD e hepatimetria de 14 cm; o restante do exame está normal. Os exames laboratoriais revelaram AST 88 U/L ALT 97 U/L, fosfatase alcalina 630 U/L, albumina 3,9 g/dL, proteínas totais 6,8 g/dL, sorologia negativa para hepatite B e C, ANCA positivo, AMA e FAN negativos. A Colangioressonância estava normal. A biópsia hepática mostrou: infiltrado mononuclear em espaços porta; ausência de ductos biliares em alguns espaços porta (ductopenia) e proliferação de ductos em outros. Nota-se fibrose periductal com obliteração de pequenos ductos em dois espaços porta. Os valores de referência eram AST 32 U/L, ALT 33 U/L e fosfatase alcalina 125 U/L. Assinale a alternativa com o diagnóstico provável.
Provas
Questão presente nas seguintes provas
Cadernos
Caderno Container