Foram encontradas 4.020.952 questões.
Homem, 25 anos, sofre ferimento cortante na região
jugal direita. Ao exame: dificuldade para soprar/insuflar
as bochechas, escape de ar pela comissura labial direita
e acúmulo de alimento no vestíbulo. Fechamento palpebral e movimentos da testa preservados.
Qual estrutura nervosa foi mais provavelmente lesada?
Qual estrutura nervosa foi mais provavelmente lesada?
Provas
Questão presente nas seguintes provas
Paciente do sexo feminino, 35 anos, chega ao pronto-socorro relatando que bocejava profundamente quando
sentiu um “estalo” e incapacidade de fechar a boca,
irreversível espontaneamente, acompanhados de dor
intensa na região anterior aos ouvidos. Ao exame físico,
observa-se assimetria facial.
Qual é o diagnóstico mais provável e a conduta imediata mais adequada?
Qual é o diagnóstico mais provável e a conduta imediata mais adequada?
Provas
Questão presente nas seguintes provas
Paciente do sexo masculino, 55 anos, obeso, com diagnóstico de adenocarcinoma de reto baixo localmente
avançado, submetido à quimiorradioterapia neoadjuvante. É levado à cirurgia para ressecção anterior baixa
do reto. O procedimento é tecnicamente difícil devido à
obesidade e à significativa quantidade de gordura visceral. Durante a liberação lateral do mesorreto direito,
próximo à asa sacral, há sangramento súbito e vigoroso,
controlado com compressão e aplicação de ligadura
direta do vaso. Após a conclusão da cirurgia, nota-se
que o membro inferior direito está pálido e frio. Os pulsos
poplíteo, pedioso e tibial posterior estão ausentes. O
membro contralateral apresenta perfusão normal.
Considerando o quadro de isquemia aguda, qual vaso sanguíneo foi mais provavelmente lesionado durante a cirurgia?
Considerando o quadro de isquemia aguda, qual vaso sanguíneo foi mais provavelmente lesionado durante a cirurgia?
Provas
Questão presente nas seguintes provas
Paciente de 72 anos, com histórico de hérnia umbilical
conhecida há anos e obesidade grau I, foi recentemente
diagnosticado com adenocarcinoma gástrico do terço inferior do corpo do estômago. Iniciou quimioterapia sistêmica.
Ele procura o pronto-socorro queixando-se de um aumento progressivo do volume na região umbilical nas últimas
3 semanas, associado a um desconforto local contínuo e
leve edema ao redor. Negava náuseas, vômitos ou parada
de eliminação de gases e fezes. Ao exame, abdome globoso, e na região umbilical era palpável uma massa nodular, firme, fixa, não redutível a compressão e não dolorosa
à palpação superficial.
Considerando o quadro apresentado, a hipótese diagnóstica mais provável para o nódulo umbilical é:
Considerando o quadro apresentado, a hipótese diagnóstica mais provável para o nódulo umbilical é:
Provas
Questão presente nas seguintes provas
Analise a imagem a seguir:

Qual é o nome da incisão cirúrgica apresentada?
Provas
Questão presente nas seguintes provas
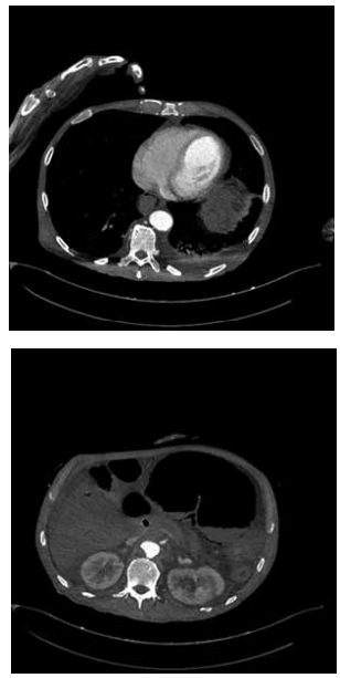
Paciente de 78 anos, hipertenso, tabagista, é admitido no
pronto-socorro em choque séptico de instalação rápida,
associado à dor abdominal súbita e distensão. Realizada
tomografia computadorizada de abdome a seguir:
Qual o diagnóstico mais provável baseado na interpretação da imagem e no quadro clínico?
Qual o diagnóstico mais provável baseado na interpretação da imagem e no quadro clínico?
Provas
Questão presente nas seguintes provas
A crioglobulinemia, uma vasculite causada por anticorpos
que se precipitam em baixas temperaturas, é mais frequentemente causada por qual das seguintes infecções virais?
Provas
Questão presente nas seguintes provas
Homem, 48 anos de idade, procura médico de família e
comunidade referindo tontura há cerca de 1 ano, quando notou, em ouvido direito, perda auditiva progressiva e
zumbidos discretos. Os sintomas eram leves, e ele não
procurou auxílio médico. Seus sintomas progrediram e
passou a sentir tontura e discreta dormência facial.
O diagnóstico mais provável é:
O diagnóstico mais provável é:
Provas
Questão presente nas seguintes provas
Homem, levado pela esposa a médico da família e comunidade, é acompanhado há cerca de 3 anos com suspeita
de demência.
O fator que leva o médico a suspeitar de demência em vez de delirium ou depressão é:
O fator que leva o médico a suspeitar de demência em vez de delirium ou depressão é:
Provas
Questão presente nas seguintes provas
Mulher de 69 anos de idade é levada por sua filha a uma
UPA por quadro de resfriado, fraqueza, adinamia e dor
muscular difusa. Exame físico: PA: 160 × 100 mmHg, dor à
palpação de coxas, panturrilhas e região lombar. Lombalgia há 10 dias em uso de cetoprofeno. Antecedente de diabetes mellitus tipo 2, em uso de metformina, e hipercolesterolêmica, em uso de pravastatina. Dados laboratoriais:
ureia: 520 mg/dL; creatinina: 5,1 mg/dL; K: 6,2 mEq/dL;
Ca total: 6,1 mg/dL; fósforo de 5,8 mg/Ld; ácido úrico:
19 mg/dL. Fita reagente de urina: hematúria. Urina tipo I:
proteinúria 2+, cilindros, granulosos, sem hemácias.
Assinale a alternativa que apresenta a causa mais provável da lesão renal aguda.
Assinale a alternativa que apresenta a causa mais provável da lesão renal aguda.
Provas
Questão presente nas seguintes provas
Cadernos
Caderno Container