Foram encontradas 270 questões.
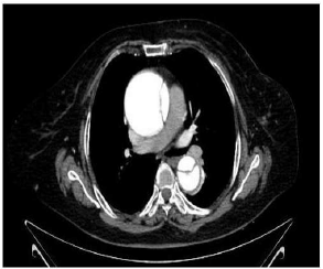
Homem de 57 anos, com antecedente de hipertensão arterial sistêmica, em uso de Clortalidona 25 mg, enalapril 20 mg 12/12 h e anlodipino 10 mg 1x dia, procurou o prontosocorro com queixa de dor torácica, “em rasgando”, de grande intensidade irradiando para dorso. O eletrocardiograma não apresentou alterações significativas. Realizou o exame reproduzido abaixo.

Sobre o caso, o diagnóstico e a conduta são, respectivamente,
Provas
Mulher de 27 anos compareceu ao pronto-socorro com queixa de dispneia aos esforços habituais há 6 meses. Nega comorbidades ou uso de medicamentos. Ao exame físico, apresentou PA 100x60 mmHg; FC 96 bpm; ritmo cardíaco regular com desdobramento fixo de B2; murmúrio vesicular presente, simétrico, sem ruídos adventícios; abdome sem alterações; extremidades sem edema. O eletrocardiograma evidenciou ritmo sinusal com sobrecarga de câmaras direitas. O ecocardiograma apresentou o seguinte: comunicação interatrial (CIA) tipo ostium secundum, de 22 mm e shunt bidirecional, dilatação importante de átrio e ventrículo direitos com PSAP de 74 mmHg. O tratamento recomendado para essa paciente é indicar
Provas
Para responder à questão, considere o caso clínico abaixo.
Mulher de 68 anos é diabética, dislipidêmica e ex-tabagista, com quadro de dor torácica atípica e dispneia aos esforços habituais, com início há 4 meses, apresentando piora no último mês. Está em uso de metformina 1000 mg, gliclazida 60 mg e atorvastatina 80 mg/dia. Ao exame físico, apresenta PA 128x58 mmHg, FC 64 bpm, auscultas cardíaca e pulmonar normais. O eletrocardiograma, o ecocardiograma, a espirometria bem como os exames laboratoriais não apresentam alterações significativas. Dessa forma, o cardiologista decidiu solicitar cintilografia de perfusão miocárdica com estresse físico.
O teste ergométrico no terceiro minuto do protocolo de Bruce, com PA sistólica 106x52 mmHg, está reproduzido abaixo.

A imagem reproduzida abaixo é de uma cintilografia na fase de repouso e após o estresse físico.

Após análise dessa cintilografia, o cardiologista conclui que o exame apresenta
Provas
Para responder à questão, considere o caso clínico abaixo.
Mulher de 68 anos é diabética, dislipidêmica e ex-tabagista, com quadro de dor torácica atípica e dispneia aos esforços habituais, com início há 4 meses, apresentando piora no último mês. Está em uso de metformina 1000 mg, gliclazida 60 mg e atorvastatina 80 mg/dia. Ao exame físico, apresenta PA 128x58 mmHg, FC 64 bpm, auscultas cardíaca e pulmonar normais. O eletrocardiograma, o ecocardiograma, a espirometria bem como os exames laboratoriais não apresentam alterações significativas. Dessa forma, o cardiologista decidiu solicitar cintilografia de perfusão miocárdica com estresse físico.
O teste ergométrico no terceiro minuto do protocolo de Bruce, com PA sistólica 106x52 mmHg, está reproduzido abaixo.

Em relação à fase de estresse da cintilografia, o exame apresenta
Provas
Homem de 39 anos, assintomático, foi encaminhado para o cardiologista devido à identificação de sopro cardíaco. Ao exame físico, apresentou PA = 136x42 mmHg, FC = 76 bpm, pulso em “martelo d’água”, ritmo cardíaco regular em dois tempos, bulhas normofonéticas com sopro sistólico 2+/6 e sopro diastólico 3+/6+ em foco aórtico, murmúrio vesicular presente sem ruídos adventícios, abdome sem alterações, extremidades sem edema, ausência de estase jugular. Realizou ecocardiograma que demonstrou FE = 53%, diâmetro do VE de 69x48 mm, DSVE indexado de 21 mm/m², insuficiência aórtica importante, com fusão comissural e dupla lesão mitral de grau discreto, PSAP de 39 mmHg. De acordo com a Atualização da Diretriz Brasileira de Valvopatias de 2021,
Provas
Mulher de 75 anos, professora aposentada, ativa e sem comorbidades conhecidas, foi levada à UPA por familiares devido a quadro de síncope desliga-liga. Foi avaliada pelo clínico geral, que solicitou exames laboratoriais com troponinas seriadas. Os demais exames não apresentaram alterações significativas. Realizou o eletrocardiograma reproduzido abaixo e pediu parecer do cardiologista.

Ao avaliar a paciente, o cardiologista solicitou a repetição do eletrocardiograma, apresentado abaixo.

Sobre o caso, o cardiologista conclui que há necessidade de
Provas
Mulher de 60 anos, nulípara, hipertensa há mais de 20 anos, sedentária e com sobrepeso, foi diagnosticada com carcinoma ductal invasivo em mama direita, HER 2 positivo. Iniciou tratamento com trastuzumabe, evoluindo com queda da FE de 60% para 44%, de forma assintomática. De acordo com a Diretriz Brasileira de Cardio-oncologia - 2020, a paciente deverá iniciar tratamento para insuficiência cardíaca (IC), manter acompanhamento com o cardio-oncologista, realizar ecocardiogramas e biomarcadores seriados bem como
Provas
Mulher de 32 anos queixa-se de palpitações taquicárdicas recorrentes nos últimos 3 meses. Como a realização de holter 24 horas e o ecocardiograma não mostraram alterações, o médico que a acompanhava atribuiu as queixas a quadro de ansiedade e crises de pânico. Foi iniciado escitalopram 10 mg com melhora parcial dos sintomas. No momento, apresenta episódio de mal-estar e taquicardia, com necessidade de procura do pronto-socorro. Ao exame físico, o médico constata PA 100x66 mmHg.
Realizou o eletrocardiograma reproduzido abaixo.

O tratamento recomendado, nesse momento, é
Provas
Mulher de 62 anos é diabética e hipertensa, com quadro de angina rapidamente progressiva, atualmente aos mínimos esforços. Foi solicitada uma cinecoronariografia, que está reproduzida abaixo.

Ao interpretar o exame, o cardiologista conclui tratar-se de
Provas
Os testes genéticos são importantes para o diagnóstico precoce de doenças cardiovasculares hereditárias. Além do diagnóstico e do rastreamento dos familiares, os testes podem contribuir com informações sobre o prognóstico da doença e auxiliar no planejamento da conduta terapêutica. Sobre a genética das cardiopatias,
Provas
Caderno Container