Foram encontradas 60 questões.
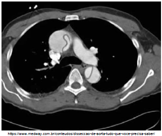
Analise a imagem a seguir.

Essa dissecção apresentada na imagem acima é tipo
Provas
Sobre os estudos ecográficos com Doppler, assinale a opção correta.
Provas
Em relação à ecografia da pancreatite aguda, é correto afirmar que
Provas
A doença de Paget ou osteíte deformante, é a segunda doença óssea metabólica mais frequente do paciente adulto depois da osteoporose. A respeito da doença de Paget, marque a opção correta.
Provas
Marque a opção que apresenta um contraste à base de gadolínio, com configuração molecular linear.
Provas
A radiografia simples tem acurácia baixa no diagnóstico do tromboembolismo pulmonar (TEP) agudo, tendo, na verdade, função importante na exclusão de outras condições clínicas semelhantes.
Marque a opção que apresenta o sinal radiográfico que pode estar presente no TEP agudo.
Provas
Sobre os adenomas hepáticos, marque a opção correta.
Provas
Um paciente com queixas de prurido leve na face após a infusão endovenosa de meio de contraste iodado deve ser tratado com
Provas
Marque a opção que apresenta os meios de contrastes iodados que apresentam maior potencial de eventos adversos em exames tomográficos.
Provas
Analise as assertivas abaixo quanto aos gêneros e às tipologias textuais.
I. O discurso científico, assim como o filosófico, utiliza-se da tipologia dissertativa.
II. A utilização de verbos no imperativo é uma característica da tipologia textual descritiva.
III. O gênero textual poesia privilegia a linguagem conotativa em relação à linguagem denotativa.
IV. Os gêneros textuais são formas relativamente estáveis, sendo possível escrever um texto em um formato que habitualmente seria de outro gênero textual.
Sobre as assertivas acima, é correto afirmar que
Provas
Caderno Container