Foram encontradas 502 questões.
Paciente em pós-operatório tardio (10 anos) de gastroplastia em Y de Roux (bypass) para tratamento da obesidade mórbida apresenta reganho de peso importante no último ano. Realizou tomografia de abdome com contraste por via oral que evidencia estômago excluso repleto de contraste.
Assinale a principal hipótese diagnóstica e melhor conduta para o caso.
Provas
Em relação a gastrectomia vertical para tratamento cirúrgico da obesidade, pode-se afirmar:
Provas
Paciente em pós operatório de gastrectomia total com reconstrução em Y de Roux por adenocarcinoma gástrico. No 6º dia pós-operatório realizou teste com ingestão de azul de metileno, que resultou na saída de secreção azulada pelo dreno abdominal logo após a ingestão. Apresenta sinais vitais estáveis, sem dor abdominal. Assinale a principal hipótese e melhor conduta.
Provas
Homem de 38 anos realiza endoscopia digestiva alta que demonstra gastrite atrófica e 3 lesões polipóides de cerca de 5 mm ressecadas durante o exame. O exame anátomo-patológico revela tumor neuroendócrino. Gastrina de jejum mostra níveis acima do valor de referência.
Qual a melhor conduta?
Provas
Paciente de 48 anos realizou endoscopia digestiva alta que revelou lesão ulcerada que se estendia da região do antro até o fundo gástrico, com diagnóstico anátomo-patológico de adenocarcinoma indiferenciado, com células em anel de sinete. Com o intuito de programação de quimioterapia neoadjuvante, qual a melhor conduta nesse momento?
Provas
Homem, 73 anos, foi transferido de hospital secundário para avaliação em outro serviço de alta complexidade. Histórico de ingestão de corpo estranho (CE) há 40 dias durante refeição e desde então referia dificuldade para deglutir alimentos sólidos. Procurou vários serviços médicos que não fizeram diagnóstico correto. Há 10 dias começou a apresentar febre (Tax: 38,5º C) e expectoração purulenta. Antes da endoscopia digestiva alta (EDA) foi realizada tomografia de tórax (Fig.1 - 3) que identificou o CE assinalado na figura 1. A EDA foi realizada e constatado CE no 1/3 médio do esôfago que foi removido.
Paciente apresentava-se em bom estado geral, comunicativo, hidratado, descorado ++, eupneico. Tax: 36,8º C; Freq. Resp: 124 rpm; FC: 90 bpm; PA: 150 X 110 mmHg. SatO2: 93% (AA).

Com base nos dados clínicos e de imagem, quais são as medidas mais adequadas a serem adotadas a seguir?
Provas
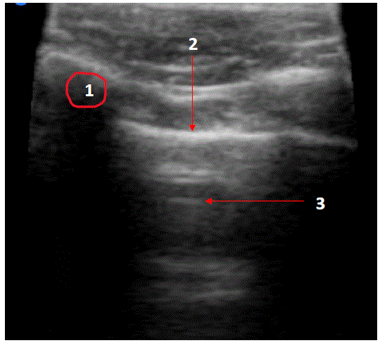
Atualmente a ultrassonografia está sendo utilizada com maior frequência para auxiliar no diagnóstico e procedimentos invasivos do tórax. Assinale a alternativa que contempla as estruturas corretamente identificadas na imagem abaixo obtida pelo ultrassom do tórax (parede torácica e espaço pleural).

Provas
Quais são as janelas estudadas no E-FAST (Extended Focused Assessment with Sonography for Trauma)?
Provas
Paciente 61 anos apresenta hérnia inguinal recidivada bilateral e encarcerada à esquerda, conforme figura abaixo. Relata dor e abaulamento intenso local e redução do conteúdo após analgesia. Refere ter sido operado há 15 anos sem o uso de tela.
A respeito do tratamento cirúrgico deste paciente podemos afirmar que:

Provas
Paciente de 49 anos, com lúpus eritematoso sistêmico em uso de corticosteroide, é portadora de hérnia umbilical conforme figura abaixo, com abaulamento umbilical, desconforto e dor local ao tossir e aos esforços. No intraoperatório o conteúdo do saco herniário era composto de gordura pré-peritoneal redutível e com anel de 2,5 x 2 cm.

A respeito do tratamento mais adequado ao caso, podemos afirmar que:
Provas
Caderno Container