Foram encontradas 1.067 questões.
Paciente 38 anos, 30ª semana e primigesta. Refere hipertensão arterial crônica e vem fazendo uso de 1,0 grama/dia de alfa-metildopa. Chega à emergência com queixa de dor em baixo ventre, cefaleia e fosfenos. Ao exame, estado geral bom, pressão arterial de 150 x 100 mmHg, batimentos cardiofetais de 146bpm e dinâmica uterina de 2 contrações/10 minutos/40 segundos. Ao toque vaginal o colo uterino apresentava-se com 2 cm de dilatação, longo, amolecido e central, bolsa das águas íntegra e cefálico. Proteinúria de fita de 2+/4+.
Realizada uma cardiotocografia com resultado abaixo. Ureia 10 mg/dL, creatinina 0,8 mg/dL, ácido úrico 10 mg/dL, bilirrubinas totais 1,4 mg/dL, AST 23 mg/dL, ALT 24 mg/dL e plaquetas 49.000/mm3.

Diante do quadro clínico, assinale a conduta CORRETA para essa paciente.
Provas
Paciente 39 anos, na 22ª semana, vem ao pré-natal assintomática, trazendo resultado de ultrassonografia morfológica fetal de 2º trimestre. O exame sugere feto com edema generalizado, ascite e derrame pleural. Classificação sanguínea (CS) materna: A Rh positivo e teste de coombs indireto negativo. Pico sistólico da artéria cerebral média foi superior a 1,5 múltiplos da mediana (MoM), sendo realizadas quatro transfusões intrauterina, a cada 15 dias. Retorna na 30ª semana trazendo ultrassonografia fetal sem alterações morfológicas. Evoluiu sem necessidade de novas hemotransfusões e parto vaginal aconteceu na 36ª semana de gravidez. O recém-nascido apresentou-se morfologicamente normal e sem necessidade de hemotransfusão extrauterina.
Assinale a alternativa que pode representar a hipótese etiológica mais provável.
Provas
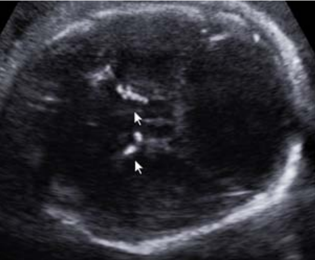
Paciente na 28ª semana, multípara, seis partos vaginais e sem pré-natal adequado vem à emergência obstétrica preocupada para mostrar uma ultrassonografia, a qual descreve uma circunferência cefálica abaixo de três desviospadrões para a idade gestacional e imagem abaixo:

Foi encaminhada para um serviço especializado, onde foi submetida à investigação diagnóstica. Na 39ª semana de gravidez, evoluiu com o parto vaginal. Ao nascimento, as alterações ultrassonográficas foram confirmadas, acrescidas de coriorretinite e atraso no desenvolvimento neurológio.
Baseado nesses sinais e sintomas, assinale a alternativa que sugere a principal hipótese etiológica fetal.
Provas
Paciente na 10ª semana e tercigesta (dois partos vaginais prematuros, na 24ª e 25ª semanas). Chega ao pré-natal assintomática, preocupada e refere que os partos anteriores foram indolores.
Sobre isso, assinale a alternativa CORRETA.
Provas
Paciente 35 anos, primigesta e na 39ª semana de gravidez, sendo acompanhada no pré-natal de alto risco. Durante a consulta foi observada as curvas de altura de fundo de útero pela idade gestacional e a de peso fetal estimado por meio da ultrassonografia pela idade gestacional abaixo. A dopplervelocimetria das artérias uterinas, umbilicais e cerebral média foi > 95º percentil, < 95º percentil e > 5º percentil, respectivamente.
Observe a imagem a seguir:


Assinale a alternativa CORRETA, conforme os critérios atuais para avaliação do crescimento fetal.
Provas
Paciente 20 anos, primigesta e na 8ª semana de gravidez. No momento assintomática e vem trazendo os exames de rotina com sorologia para toxoplasmose, IgM positivo e IgG positivo. Traz ainda os exames realizados na consulta pré-concepcional há 1 ano e 6 meses com sorologia para toxoplasmose, IgM negativo e IgG negativo.
Assinale a alternativa que indica a conduta mais adequada recomendada pelo Ministério da Saúde do Brasil.
Provas
Paciente 22 anos, secundigesta e na 28ª semana. Classificação sanguínea materna AB Rh positivo, classificação sanguínea paterna A Rh negativa e coombs indireto positivo.
Assinale a alternativa que NÃO justifica essa possibilidade clínica.
Provas
Paciente 23 anos, tercigesta (dois abortamentos, precoces e espontâneos) e na 8ª semana de gravidez, refere dor tipo cólica em baixo ventre e sangramento genital em pequena intensidade. Ao exame: toque vaginal fechado com sangramento discreto em dedo de luva e útero aumentado de volume compatível com a gestação.
Assinale a alternativa que indica a conduta mais adequada.
Provas
Considerando os sinais clínicos da gravidez, correlacione a primeira coluna com a segunda.
Coluna 1
A. Sinal de Hartmann
B. Sinal de Holzapfel
C. Sinal de Goodel
D. Sinal de Halban
E. Sinal de MacDonald
Coluna 2
1. Útero pode ser fletido como dobradiça, pelo amolecimento do istmo.
2. Formação de lanugem e pelos na face.
3. Preensibilidade uterina aumentada devido à consistência cística e elástico- pastosa.
4. Amolecimento do colo uterino
5. Sangramento de implantação do blastocisto.
Assinale a alternativa que indica a correlação CORRETA.
Provas
Paciente 35 anos, na 39ª semana, tercigesta (uma cesariana anterior), chega na emergência obstétrica referindo perda de líquido há 1 hora de forma súbita de um líquido transparente, cheirando a água sanitária, escorrendo pelas pernas e se acumulando do chão. Negava outras queixas e refere desejo pelo parto vaginal. Ao exame clínico, temperatura axilar de 36,5ºC e frequência cardíaca materna de 78 bpm. Ao exame obstétrico: batimentos cardiofetais de 136bpm (sem desacelerações), dinâmica uterina ausente, toque vaginal com colo uterino amolecido e anterior com 1 cm de dilatação, 30% de esvaecimento cervical, bolsa rota com líquido amniótico claro com grumos e no plano -3 de De Lee.
Assinale a alternativa CORRETA referente à conduta inicial menos indicada na atualidade.
Provas
Caderno Container