Foram encontradas 1.067 questões.
Para qual das condições abaixo existe uma forte evidência científica para o uso do canabidiol?
Provas
Em relação ao distúrbio dos movimentos na infância, assinale a alternativa CORRETA.
Provas
Senhora de 55 anos, G2P2 (cesarianas), DUM há um mês. Nega uso de medicações. Procura o ambulatório de ginecologia para mostrar resultado da avaliação histológica de uma biópsia endometrial por histeroscopia realizada como conduta por achado ecográfico de espessamento endometrial. O resultado revelou hiperplasia com atipia. De acordo com o quadro acima, qual a melhor conduta?
Provas
Qual das doenças geneticamente determinadas NÃO apresenta, atualmente, tratamento específico?
Provas
Qual das seguintes substâncias habitualmente NÃO está relacionada com o desenvolvimento de neuropatias periféricas?
Provas
O epitélio vaginal sofre influência hormonal ao longo da vida, mudando as características citológicas de acordo com a predominância da ação dos vários esteroides envolvidos.
De acordo com o enunciado acima, assinale a alternativa CORRETA.
Provas
Qual das seguintes condições NÃO está associada com papiledema?
Provas
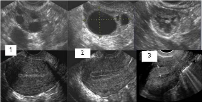
Considere a imagem abaixo:

As figuras 1, 2 e 3 correspondem, respectivamente, a que fase do ciclo ovulatório/menstrual?
Provas
Várias doenças musculares podem causar ptose palpebral que pode vir associada com oftalmoparesias. Qual das seguintes condições cursa com ptose palpebral habitualmente SEM oftalmoparesia?
Provas
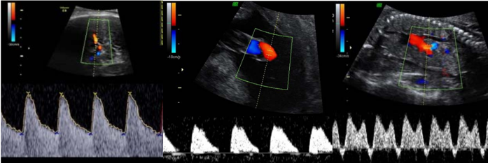
Gestante 28 anos, secundigesta (parto vaginal), na 31ª semana de gravidez. Veio à emergência mostrar resultado de ultrassonografia. No momento, assintomática. Ao exame, estado geral bom, dinâmica uterina ausente, batimentos cardiofetais de 128 bpm e altura de fundo uterino de 21 cm. Pressão arterial de 150 x 100 mmHg. Ultrassonografia com maior bolsão de líquido amniótico de 1,0 cm. Peso fetal estimado de 900g (< 3º percentil). Proteinúria de fita de 2+/4+. Abaixo seguem as imagens da dopplervelocimetria da artéria cerebral média, umbilical e ducto venoso, respectivamente.

Assinale a alternativa CORRETA quanto à conduta, baseada nos critérios diagnósticos da International Society for the Study of Hypertension in Pregnancy.
Provas
Caderno Container