Foram encontradas 1.067 questões.
Paciente 28 anos, na 38ª semana, secundigesta e um aborto anterior, chega na emergência obstétrica referindo perda de líquido há 19 horas. Após anamnese detalhada do médico assistente, a paciente refere que a perda foi de um liquido que molhou a vulva e as pernas. Negava outras queixas. Ao exame clínico, temperatura axilar de 36,5ºC e frequência cardíaca materna de 88 bpm. Ao exame obstétrico: batimentos cardiofetais de 148bpm, dinâmica uterina ausente, toque vaginal não realizado no momento e ausente líquido amniótico pelo exame especular e à manobra de valsava.
Assinale a alternativa CORRETA referente ao exame de melhor acurácia para esclarecimento diagnóstico.
Provas
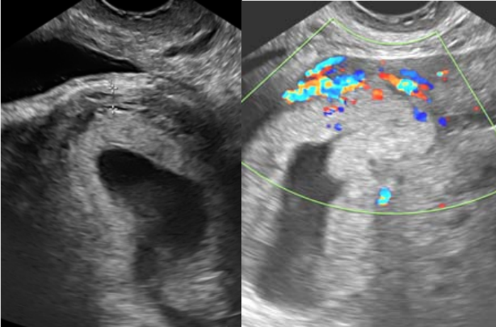
Paciente, 31 anos, tercigesta (duas cesarianas anteriores), na 7ª semana de gravidez com queixa de sangramento genital há 15 dias, com piora há 24 horas. Ao exame, encontrava-se com estado geral bom, hipocorada (+/4+), acianótica, consciente e orientada. Pressão arterial de 120 x 80 mmHg. Frequência cardíaca de 88 bpm. Abdome plano depressível e indolor, sem massas palpáveis e ausência de sinais de irritação peritoneal. Submetida a exame ultrassonográfico transvaginal, com a imagem abaixo revelando saco gestacional dentro de cavidade uterina, de contorno regular, em topografia de istmocele.

Assinale a alternativa a qual sugere a principal hipótese diagnóstica.
Provas
Gestante 38 anos de idade, primigesta e na 37ª semana de gravidez. Na emergência obstétrica, queixou-se de dor em baixo ventre. Ao exame, batimentos cardiofetais de 140 bpm, dinâmica uterina de 2 contrações / 10 minutos / 35 e 45 segundos. Ao toque vaginal, encontrava-se com 5 cm de dilatação, 80% de esvaecimento cervical, bolsa das águas íntegras e cefálico.
Observe o partograma abaixo:

Assinale a alternativa que menos apresenta relevância sobre o mecanismo do parto dessa paciente.
Provas
Uma mulher de 71 anos com história de diabetes insípido central está sendo tratada com desmopressina. Ela apresenta-se com confusão, sede intensa e poliúria. Seus exames de sangue mostram uma concentração de sódio sérico de 155 mEq/L (valor de referência: 135-145 mEq/L).
Qual é a causa mais provável da hipernatremia nesta paciente?
Provas
Uma mulher de 55 anos é admitida no pronto-socorro com febre alta, taquicardia, hipotensão e confusão mental. Ele relata dor lombar nas últimas 72 horas. No exame físico, tem Giordano positivo. Os exames de laboratório mostram leucocitose e lactato sérico elevado.
Qual é a conduta mais apropriada?
Provas
Em relação à Hipertensão Arterial Sistêmica (HAS), é INCORRETO afirmar que
Provas
Um médico residente foi realizar uma paracentese de alívio em um paciente portador de cirrose hepática e acidentou-se com uma agulha. Então, o residente procurou a triagem da Infectologia e lá foram coletados exames pós-exposição de material pérfuro-cortante com resultado negativo HIV e as seguintes sorologias para as Hepatites: HBsAg negativo; anticorpo anti-HBs positivo ,anti-HBc IgG e IgM negativos, anti-HCV negativo e Anti-HAV IgG positivo.
Assinale a alternativa CORRETA com relação ao quadro laboratorial.
Provas
Um paciente 56 anos com diagnóstico de carcinoma de células renais apresenta-se ao hospital, com fraqueza muscular, poliúria e constipação.
O médico solicita os seguintes exames:
• PTH (Paratormônio): 20 pg/ml (Valor de Referência Normal: 10-65 pg/mL).
• Cálcio Sérico: 14 mg/dl (Valor de Referência Normal: 8,4-10,2 mg/dL).
• Fósforo: 3 mg/dl (Valor de Referência Normal: 2,5-4,5 mg/dL).
• Magnésio: 2,0 mg/dl (Valor de Referência Normal: 1,7-2,2 mg/dL).
• Potássio: 4,0 mEq/L (Valor de Referência Normal: 3,5-5,0 mEq/L).
• Vitamina D: 25 ng/Ml
Qual é o mecanismo subjacente mais provável da hipercalcemia nesse paciente?
Provas
Sobre a doença celíaca, é CORRETO afirmar que
Provas
Um portador de cirrose hepática, Child A, de etiologia alcoólica foi admitido com história de episódios recorrentes de melena, que exigiram várias hemotransfusões no último ano. A endoscopia revelou angiectasias em antro gástrico, que se distribuíam em estrias lineares partindo do piloro.
Qual a opção terapêutica mais adequada para o caso?
Provas
Caderno Container