Foram encontradas 2.016 questões.
Paciente masculino de 50 anos chega à emergência de uma Unidade de Pronto Atendimento com infarto agudo do miocárdio (IAM) com supradesnivelamento do segmento ST, em parede dorsodiafragmática. Clinicamente apresenta-se em Killip I. Os sintomas iniciaram há 40 minutos. Qual a melhor estratégia de tratamento, considerando-se que o Centro de Referência para hemodinâmica encontra-se a 120 minutos de distância?
Provas
Mulher de 60 anos, assintomática, vai à consulta para revisão cardiovascular. Durante a avaliação, a média de pressão arterial aferida em quatro ocasiões em duas consultas diferentes foi de 144/92 mmHg. Realizou monitorização ambulatorial de pressão arterial de 24 horas (MAPA), representada na figura abaixo (a primeira linha representa a pressão sistólica, e a terceira linha, a diastólica). A média pressórica durante a vigília na MAPA é 128/78 mmHg.

Em relação à pressão arterial, essa paciente é mais bem caracterizada como portadora de
Provas
Paciente com 75 anos, história de cirurgia de revascularização miocárdica há 4 anos e angina estável classe II. Chega na emergência com palpitações, dor retroesternal, sudorese e dispneia, que iniciaram há uma hora. A PA é 80/60 mmHg, há creptações nos terços inferiores dos pulmões e o eletrocardiograma está representado abaixo.

A melhor conduta nesse caso é
Provas
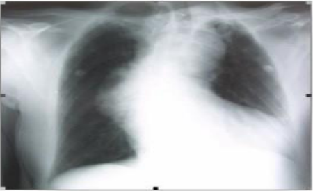
Paciente de 70 anos, masculino, história de hipertensão de longa data. Chega na emergência com dor retroesternal de início súbito, de forte intensidade, iniciada há 2 horas. Apresentava-se pálido, ansioso, e a PA era 100/60 mmHg. O eletrocardiograma e o RX de tórax estão representados abaixo.


A melhor abordagem, entre as seguintes, nesse caso é
Provas
Paciente de 45 anos apresenta piora da capacidade funcional nos últimos três anos. Nos últimos dois meses, refere edema de membros inferiores. Uma tomografia de tórax mostra calcificação pericárdica. Diante desse quadro, quais seriam os prováveis achados clínicos, ecocardiográficos e hemodinâmicos do presente caso?
Provas
Paciente de 45 anos apresenta diminuição da capacidade funcional e palpitações nos últimos quatro meses. Na avaliação ambulatorial, diagnosticou-se que a paciente era portadora de valvulopatia. Os achados da ausculta cardíaca estão representados na figura A. Considere as três afirmações a respeito desse caso.

I - A impulsão paraesternal é um achado provável.
II - A B1 deve ser hiperfonética.
III- A área valvar deve estar entre 1,6 cm² a 1,8 cm².
Quais estão corretas?
Provas
Assinale a alternativa correta em relação ao tratamento da insuficiência cardíaca.
Provas
Paciente masculino, 65 anos, hipertenso e diabético, em consulta ambulatorial, refere dor anginosa típica aos grandes esforços. Traz cintilografia miocárdica de esforço realizada há duas semanas demonstrando isquemia miocárdica em território de artéria coronária direita estimada em 5%. Frente a esse caso, assinale a alternativa correta.
Provas
Homem de 55 anos, com quadro clínico de angina estável aos moderados esforços, é submetido a testes não invasivos para estratificação de risco. Possui ecocardiografia sem alterações na contração segmentar, e a fração de ejeção é de 65%. O teste ergométrico mostrou capacidade física máxima atingindo 4 METS, sem alterações eletrocardiográficas e interrompido por fadiga. Diante dos resultados, assinale a alternativa correta.
Provas
Qual a descrição que melhor caracteriza mecanismo associado à maioria dos episódios de ruptura da placa ateroesclerótica e a patogênese das Síndromes Coronarianas Agudas?
Provas
Caderno Container