Foram encontradas 316 questões.
Um paciente masculino de 45 anos, previamente hígido, compareceu à emergência médica com cefaléia fronto-parietal, Eva 10 (Escala Visual Analógica), acompanhada de lacrimejamento, obstrução nasal e náuseas durante a crise. Ele não apresentava dor entre um episódio e outro, mas na semana em que compareceu à emergência teve vários episódios durante o dia. Não possuía histórico prévio de cefaleia e nem houve traumatismo de crânio. Fez uso de analgésico, mas com poucos resultados. A pressão arterial encontrava-se em 120/80 mmHg e seu exame neurológico apresentava normalidade. A hipótese diagnóstica e conduta a ser seguida são, respectivamente,
Provas
Um paciente de 46 anos apresentou um quadro de emagrecimento, polidpsia e poliúria. Os exames de sangue revelaram glicose 254 mg/dL e os demais exames bioquímicos estavam normais. Antes de desenvolver os sintomas, seu IMC era de 23 kg/m2. Apesar de disciplinado, esse paciente estava com dificuldade em controlar sua glicemia com dieta orientada por nutricionista, exercícios, e diabetostáticos orais. Nesse caso, a conduta adequada é
Provas
Uma mulher de 40 anos relata quadro de "virose respiratória" há 2 semanas que cedeu espontaneamente. Há 3 dias começou a apresentar parestesias em mãos e pés, seguidas de diminuição progressiva de força muscular em braços e pernas. Hoje procurou atendimento pois já não conseguia andar por curta distância sem a ajuda do filho. Nega dispneia, náusea, disfagia, distúrbios visuais e alteração esfincteriana. Ao exame, tetraparesia flácida de predomínio distal, reflexos profundos abolidos nos 4 membros, sensibilidade dolorosa preservada, paresia facial periférica bilateral e nuca livre. Restante do exame físico normal. O diagnóstico é
Provas
Uma paciente de 74 anos, parda, diabética e hipertensa de longa data, IMC 31 kg/m2, encontra-se internada para realizar cirurgia eletiva de ponte "by-pass" aorto-bifemoral devido à claudicação intermitente de membros inferiores. Sua pressão arterial elevou-se para 245/125 mmHg, desenvolvendo dispneia, estertores crepitantes bilaterais difusos que progrediram para bolhosos, esforço respiratório, Saturação de O2 87% e FC: 110 bpm. Sua temperatura axilar encontrava-se em 36,4ºC. RCR 3 tempos, B4. Ictus cordis no 4º espaço intercostal esquerdo na linha clavicular média. O ECG revelou ritmo sinusal, hipertrofia ventricular esquerda, sem alterações isquêmicas agudas. O Ecocardiograma com Doppler apresentou hipertrofia concêntrica do ventrículo esquerdo. A função sistólica global e segmentar do ventrículo esquerdo mantinha-se preservada. Havia déficit de relaxamento do VE e ausência de alterações no ventrículo direito. O quadro apresentado revaleva ausência de hipertensão arterial pulmonar. O RX de tórax demonstrou área cardíaca de tamanho normal e hipotransparência difusa do parênquima pulmonar. As enzimas cardíacas, glicose e função renal estavam normais. O hemograma apresentou discreta leucocitose. O diagnóstico compatível e a conduta a ser adotada no quadro descrito são, respectivamente,
Provas
Uma paciente de 64 anos, parda, com histórico de hipertensão arterial há 10 anos e diabetes mellitos há 5 anos, fumava em média 25 maços de cigarro por ano. Essa paciente faz uso frequente de Atenolol 50 mg/dia, Hidroclorotiazida 25 mg/dia, Besilato de Anlodipino 10 mg/dia e Metformina 850 mg/dia. Durante uma consulta de rotina sua pressão arterial encontrava-se em 160/110 mmHg e foi, portanto, acrescentado Maleato de Enalapril 20 mg/dia. Após duas semanas de tratamento, foi verificado o seguinte resultado de exame laboratorial: urina normal, Na 141 mEq/L, K 5,9 mEq/L Glicose 125 mg/dL, pH 7.37, HCO3 23 mEq/L e sua creatinina passou de 1,5 mg/dL para 2,8 mg/dL. Após esse período a pressão arterial foi aferida em 145/90 mmHg e o fundo de olho não gerava evidências de retinopatia diabética. Diante disso, a interpretação e conduta a ser adotada é que
Provas
Uma mulher de 50 anos, viúva, está muito triste e nervosa desde o falecimento do marido e não consegue dormir à noite. Uma amiga lhe emprestou alguns ?remédios controlados? para tentar ajudá-la a descansar. A paciente ingeriu, então, 5 comprimidos da medicação de uma vez, mas não dormiu de imediato, então, tomou mais 5. Na manhã seguinte sentia-se mal, com muita vertigem, sendo levada a pronto-socorro. Ao exame, apresentava nistagmo horizontal bilateral e marcha ebriosa. A medicação ingerida foi
Provas
Um homem de 55 anos, tabagista, apresenta tosse produtiva com períodos de exacerbação há alguns anos. Foi admitido na emergência com piora da tosse e hemoptise. Ao ser examinado constatou-se taquipneico, afebril, taquicárdico, normotenso, com baqueteamento digital. A ausculta pulmonar apresentava roncos difusos. A radiografia de tórax realizada gerou imagens lineares paralelas em bases (em trilho de trem) e imagens areolares em terço médio de ambos os pulmões, algumas com nível hidroaéreo. O diagnóstico provável é
Provas
Uma mulher de 28 anos notou icterícia e colúria há 5 dias, acompanhadas de náuseas e desconforto em hipocôndrio direito. Os exames laboratoriais realizados indicaram: ALT 1250 UI/L, AST 980 UI/L, Gama GT 350 UI/I e fosfatase alcalina 280 mg/dl. Os exames indicados para se fazer o diagnóstico etiológico da doença são:
Provas
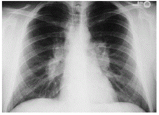
Um homem de 30 anos procurou atendimento médico devido à alteração de radiografia de tórax encontrada quando fez exames de rotina (figura abaixo). A princípio não relatava queixas, mas na anamnese dirigida referiu tosse seca há cerca de 6 meses. HPP: paralisia facial periférica há 3 meses com boa recuperação. O diagnóstico provável é

Provas
Um homem de 40 anos compareceu à consulta médica relatando "virose" há 5 dias, caracterizada por coriza, congestão nasal e leve dor na face. HPP: portador de infecção por HIV há 1 ano e hipertensão arterial controlada em uso de hidroclorotiazida 25mg/dia. Relatou também que possui união estável com companheiro soronegativo há 1 ano. Os exames laboratoriais apresentaram hemograma normal, creatinina 0,8 mg/dL, glicose 78 mg/dL, colesterol total 142 mg/dL, HDL-colesterol 55 mg/dL, potássio 4,2 mEq/l, anti-HCV negativo, HbsAg negativo, antiHBc negativo e antiHBs positivo, CD4 789/mm3 e carga viral 2820 cópias/ml. O ECG e bem como a radiografia de tórax apresentaram normalidade. O médico recomendou o uso de antiretrovirais em especial devido a
Provas
Caderno Container