Foram encontradas 348 questões.
Paciente submetido à troca de valva cardíaca com inserção de prótese metálica. Iniciada anticoagulação com antagonista de vitamina K.
Quais fatores de coagulação serão comprometidos com o uso dessa medicação?
Provas
Paciente masculino, 73 anos, apresenta fratura de fêmur espontânea. No inventário ósseo, percebe-se lesões líticas, em variados locais, principalmente, em crânio e quadril. Apresenta como comorbidade insuficiência renal crônica e hipertensão arterial. Deseja-se investigar a possibilidade de mieloma múltiplo.
Qual dos exames descritos a seguir não está diretamente ligado ao diagnóstico dessa patologia?
Provas
Paciente masculino, 17 anos, entra no pronto socorro com quadro de cefaleia intensa e convulsões. O exame de imagem revelou trombose de seio venoso cerebral. O paciente não tem história de doenças prévias ou de uso de medicações. Apresenta história familiar de trombose venosa profunda em membros. Foram investigadas causas de trombofilia hereditária. Qual dessas alterações relacionadas à trombofilia é mais prevalente?
Provas
Paciente masculino, 73 anos, é encaminhado ao ambulatório para investigação por alteração de hemograma persistente, há alguns meses. Assintomático. Ao exame físico apresenta adenomegalias discretas cervicais e axilares. Solicitados exames: HMG: HB: 13,5 g/dl, HT: 39%; leucócitos: 33000 com 22% de neutrófilos (7260), 2% de eosinófilos (660), 75% de linfócitos (24750) 1% de monócitos (330), plaquetas: 165000 mm³. DHL:425U/L (207-414U/L), ácido úrico 7,2 mg/dl (3,5- 7,2mg/dl), TGO: 30 U/L (15-37U/L), TGP 35U/L (10-40U/L) creatinina: 1,2mg/dl (0,9-1,3mg/dl), uréia: 23 mg/dl (15- 40mg/dl).
Qual o diagnóstico mais provável e o tratamento indicado nesse caso?
Provas
O acidente vascular cerebral (AVC), vulgarmente denominado de derrame, resulta da restrição do fluxo sanguíneo ao cérebro, causando lesão celular e danos às funções neurológicas do paciente. Dessa forma, o conhecimento da anatomia vascular cerebral é essencial para o correto entendimento da sintomatologia, diagnóstico e tratamento do AVC. Indique a alternativa INCORRETA sobre a lesão das artérias e suas possíveis consequências no paciente com AVC.
Provas
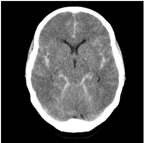
As urgências neurológicas tem importante prevalência em nosso meio. Seu diagnóstico precoce pelo médico assistente do paciente, através da tomografia, é essencial para o bom prognóstico e evolução do paciente.

https://radiopaedia.org/articles/subarachnoid-haemorrhage
Uma paciente de 23 anos trazida inconsciente, sem história de trauma, dá entrada na sala de emergência e realiza essa tomografia. Qual seria uma possível causa para a principal alteração tomográfica?
Provas
A esquizofrenia constitui doença crônica, com curso caracterizado por episódios de recaída, entremeados por períodos de remissão variável, associada à redução da expectativa de vida e a diferentes graus de prejuízo no funcionamento sócio-ocupacional.
Em relação ao tratamento da esquizofrenia, indique a alternativa INCORRETA.
Provas
Paciente do sexo masculino, 25 anos, previamente hígido, é levado à emergência às 4h da manhã, após ter “passado mal” em uma festa. Ao exame, apresenta-se com Tax de 39,5ºC, rigidez muscular, PA 180 x 110mm Hg e agitação psicomotora.
Dentre as alternativas listadas, qual é a mais provável?
Provas
O zolpidem é, atualmente, o hipnótico mais prescrito na maioria dos países para insônia. Parece ser mais seguro em comparação aos benzodiazepínicos (BZDs) e poderia ser uma opção para o uso de longo prazo e controlado ("quando necessário").
Sobre insônia e indutores do sono, indique a alternativa CORRETA.
Provas
A força muscular é definida pela habilidade de um músculo ou grupo muscular em desenvolver tensão e força resultantes em um esforço máximo, tanto dinâmica como estaticamente, em relação às demandas feitas a ele.
A forma de se avaliar a força dos músculos ventilatórios é, EXCETO:
Provas
Caderno Container