Foram encontradas 1.200 questões.
Um paciente de 23 anos de idade é admitido com quadro de dor torácica, febril (temperatura = 38,4 °C), taquipneico (FR = 34 ipm), com tosse, estertores crepitantes e sibilos, principalmente em hemitórax esquerdo. SatO2 = 89% (ar ambiente), com PaO2 = 56%. O hemograma mostra Hb = 6,8 g/dL (VR = 13,5 g/dL – 17,5 g/dL), presença de drepanócitos, e corpúsculos de Howell-Jolly, além de leucograma = 16.800 leucócitos/mm³ (VR = 3.500 células/mm³ – 10.000 células/mm³). PA = 120 mmHg x 78 mmHg e FC = 104 bpm. O paciente apresenta também queixa de dor articular limitante. Os raios X de tórax revelam infiltrado interstício-alveolar em 2/3 inferiores de pulmão esquerdo.
Considerando esse caso clínico, julgue os itens a seguir.
Provas
Uma paciente de 38 anos de idade vai ao pronto-socorro com histórico de cefaleia aguda recorrente, mais à direita, que fica pulsando, em escala de dor 8, com náuseas e vômitos. O exame neurológico está normal, com sinais vitais normais. Referindo irritabilidade, fez uso de analgésico não anti-inflamatório sem resultados. A dor iniciou hoje.
Quanto a esse caso clínico, julgue os itens a seguir.
Provas
Uma paciente de 38 anos de idade vai ao pronto-socorro com histórico de cefaleia aguda recorrente, mais à direita, que fica pulsando, em escala de dor 8, com náuseas e vômitos. O exame neurológico está normal, com sinais vitais normais. Referindo irritabilidade, fez uso de analgésico não anti-inflamatório sem resultados. A dor iniciou hoje.
Quanto a esse caso clínico, julgue os itens a seguir.
Provas
Uma paciente de 38 anos de idade vai ao pronto-socorro com histórico de cefaleia aguda recorrente, mais à direita, que fica pulsando, em escala de dor 8, com náuseas e vômitos. O exame neurológico está normal, com sinais vitais normais. Referindo irritabilidade, fez uso de analgésico não anti-inflamatório sem resultados. A dor iniciou hoje.
Quanto a esse caso clínico, julgue os itens a seguir.
Provas
Uma paciente de 38 anos de idade vai ao pronto-socorro com histórico de cefaleia aguda recorrente, mais à direita, que fica pulsando, em escala de dor 8, com náuseas e vômitos. O exame neurológico está normal, com sinais vitais normais. Referindo irritabilidade, fez uso de analgésico não anti-inflamatório sem resultados. A dor iniciou hoje.
Quanto a esse caso clínico, julgue os itens a seguir.
Provas
Uma paciente de 38 anos de idade vai ao pronto-socorro com histórico de cefaleia aguda recorrente, mais à direita, que fica pulsando, em escala de dor 8, com náuseas e vômitos. O exame neurológico está normal, com sinais vitais normais. Referindo irritabilidade, fez uso de analgésico não anti-inflamatório sem resultados. A dor iniciou hoje.
Quanto a esse caso clínico, julgue os itens a seguir.
Provas

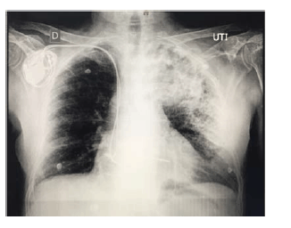
Considere um paciente de 66 anos de idade, com histórico de hipertensão arterial e diabetes controlados, além de ser cardiopata com marcapasso artificial. Relata calafrios com dois dias de evolução e tosse produtiva, além de estar taquipneico, com FR = 32 ipm, com PA = 110 mmHg x 82 mmHg; e com pulso = 126 bpm. Refere cansaço com dispneia. Tem nível de consciência preservado, com SatO2 = 89% (ar ambiente) e ureia = 58 mg/dL (VR = 5 mg/dL – 40 mg/dL). Apresenta o exame de raios X de tórax mostrado e nega internação ou uso de antibióticos no último ano.
Com relação a esse caso clínico e com base nos conhecimentos médicos correlatos, julgue os itens a seguir.
Provas

Considere um paciente de 66 anos de idade, com histórico de hipertensão arterial e diabetes controlados, além de ser cardiopata com marcapasso artificial. Relata calafrios com dois dias de evolução e tosse produtiva, além de estar taquipneico, com FR = 32 ipm, com PA = 110 mmHg x 82 mmHg; e com pulso = 126 bpm. Refere cansaço com dispneia. Tem nível de consciência preservado, com SatO2 = 89% (ar ambiente) e ureia = 58 mg/dL (VR = 5 mg/dL – 40 mg/dL). Apresenta o exame de raios X de tórax mostrado e nega internação ou uso de antibióticos no último ano.
Com relação a esse caso clínico e com base nos conhecimentos médicos correlatos, julgue os itens a seguir.
Provas

Considere um paciente de 66 anos de idade, com histórico de hipertensão arterial e diabetes controlados, além de ser cardiopata com marcapasso artificial. Relata calafrios com dois dias de evolução e tosse produtiva, além de estar taquipneico, com FR = 32 ipm, com PA = 110 mmHg x 82 mmHg; e com pulso = 126 bpm. Refere cansaço com dispneia. Tem nível de consciência preservado, com SatO2 = 89% (ar ambiente) e ureia = 58 mg/dL (VR = 5 mg/dL – 40 mg/dL). Apresenta o exame de raios X de tórax mostrado e nega internação ou uso de antibióticos no último ano.
Com relação a esse caso clínico e com base nos conhecimentos médicos correlatos, julgue os itens a seguir.
Provas

Considere um paciente de 66 anos de idade, com histórico de hipertensão arterial e diabetes controlados, além de ser cardiopata com marcapasso artificial. Relata calafrios com dois dias de evolução e tosse produtiva, além de estar taquipneico, com FR = 32 ipm, com PA = 110 mmHg x 82 mmHg; e com pulso = 126 bpm. Refere cansaço com dispneia. Tem nível de consciência preservado, com SatO2 = 89% (ar ambiente) e ureia = 58 mg/dL (VR = 5 mg/dL – 40 mg/dL). Apresenta o exame de raios X de tórax mostrado e nega internação ou uso de antibióticos no último ano.
Com relação a esse caso clínico e com base nos conhecimentos médicos correlatos, julgue os itens a seguir.
Provas
Caderno Container