Foram encontradas 361 questões.
Uma paciente de 20 anos de idade comparece à consulta médica porque necessita iniciar o uso de contraceptivo. Relata que tem epilepsia, faz uso de lamotrigina de forma continua e nega outras comorbidades. Nega histórico de trombose venosa profunda ou outras doenças do aparelho cardiovascular em sua família.
A respeito desse caso e tendo em vista os conhecimentos médicos correlatos, julgue os itens a seguir.
O uso de contraceptivo combinado não interage com a lamotrigina.
Provas
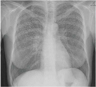
Uma paciente de 45 anos de idade compareceu, acompanhada pela filha, a consulta ambulatorial. Queixa-se de perda de peso (em tomo de 4 kg nos últimos seis meses), febre vespertina e fadiga há mais de 20 dias. Observou que tem trabalhado muito, tem uma fadiga crônica e acha que iniciou os sintomas após exposição à chuva e a vento frio quando voltava do trabalho para casa. Ela informa que é etilista social e tabagista (15 cigarros/dia), e apresentou alguns exames laboratoriais como hemograma, eletrólitos, função hepática e renal normais. Os raios X de tórax estão representados na imagem a seguir. O resultado do PPD e o lavado brônquico são negativos.

Disponível em: <http://www.medicinanet.com.br/>. Acesso em: 12 nov.2020 .
(Figura ampliada na página 10)
Com base nesse caso clínico, na imagem apresentada e nos conhecimentos médicos correlatos, julgue os itens a seguir.
A imagem dos raios X de tórax coloca a tuberculose como diagnóstico diferencial.
Provas
Uma paciente de 45 anos de idade compareceu, acompanhada pela filha, a consulta ambulatorial. Queixa-se de perda de peso (em tomo de 4 kg nos últimos seis meses), febre vespertina e fadiga há mais de 20 dias. Observou que tem trabalhado muito, tem uma fadiga crônica e acha que iniciou os sintomas após exposição à chuva e a vento frio quando voltava do trabalho para casa. Ela informa que é etilista social e tabagista (15 cigarros/dia), e apresentou alguns exames laboratoriais como hemograma, eletrólitos, função hepática e renal normais. Os raios X de tórax estão representados na imagem a seguir. O resultado do PPD e o lavado brônquico são negativos.

Disponível em: <http://www.medicinanet.com.br/>. Acesso em: 12 nov.2020 .
(Figura ampliada na página 10)
Com base nesse caso clínico, na imagem apresentada e nos conhecimentos médicos correlatos, julgue os itens a seguir.
Essa paciente apresenta sinais e sintomas de esquistossomose, tomando-o um dos diagnósticos diferenciais.
Provas
Uma paciente de 45 anos de idade compareceu, acompanhada pela filha, a consulta ambulatorial. Queixa-se de perda de peso (em tomo de 4 kg nos últimos seis meses), febre vespertina e fadiga há mais de 20 dias. Observou que tem trabalhado muito, tem uma fadiga crônica e acha que iniciou os sintomas após exposição à chuva e a vento frio quando voltava do trabalho para casa. Ela informa que é etilista social e tabagista (15 cigarros/dia), e apresentou alguns exames laboratoriais como hemograma, eletrólitos, função hepática e renal normais. Os raios X de tórax estão representados na imagem a seguir. O resultado do PPD e o lavado brônquico são negativos.

Disponível em: <http://www.medicinanet.com.br/>. Acesso em: 12 nov.2020 .
(Figura ampliada na página 10)
Com base nesse caso clínico, na imagem apresentada e nos conhecimentos médicos correlatos, julgue os itens a seguir.
O lavado broncoalveolar negativo, no caso descrito, descarta o diagnóstico de câncer de pulmão.
Provas
Uma paciente de 45 anos de idade compareceu, acompanhada pela filha, a consulta ambulatorial. Queixa-se de perda de peso (em tomo de 4 kg nos últimos seis meses), febre vespertina e fadiga há mais de 20 dias. Observou que tem trabalhado muito, tem uma fadiga crônica e acha que iniciou os sintomas após exposição à chuva e a vento frio quando voltava do trabalho para casa. Ela informa que é etilista social e tabagista (15 cigarros/dia), e apresentou alguns exames laboratoriais como hemograma, eletrólitos, função hepática e renal normais. Os raios X de tórax estão representados na imagem a seguir. O resultado do PPD e o lavado brônquico são negativos.

Disponível em: <http://www.medicinanet.com.br/>. Acesso em: 12 nov.2020 .
(Figura ampliada na página 10)
Com base nesse caso clínico, na imagem apresentada e nos conhecimentos médicos correlatos, julgue os itens a seguir.
A febre vespertina, nesse caso, é patognomônica de tuberculose e fecha o diagnóstico da paciente mencionada.
Provas
Uma paciente de 45 anos de idade compareceu, acompanhada pela filha, a consulta ambulatorial. Queixa-se de perda de peso (em tomo de 4 kg nos últimos seis meses), febre vespertina e fadiga há mais de 20 dias. Observou que tem trabalhado muito, tem uma fadiga crônica e acha que iniciou os sintomas após exposição à chuva e a vento frio quando voltava do trabalho para casa. Ela informa que é etilista social e tabagista (15 cigarros/dia), e apresentou alguns exames laboratoriais como hemograma, eletrólitos, função hepática e renal normais. Os raios X de tórax estão representados na imagem a seguir. O resultado do PPD e o lavado brônquico são negativos.

Disponível em: <http://www.medicinanet.com.br/>. Acesso em: 12 nov.2020 .
(Figura ampliada na página 10)
Com base nesse caso clínico, na imagem apresentada e nos conhecimentos médicos correlatos, julgue os itens a seguir.
Os hábitos de vida dessa paciente podem estar relacionados à queixa de fadiga crônica.
Provas
Um paciente de 40 anos de idade agendou uma consulta em unidade básica de saúde por causa de uma úlcera na perna esquerda, que apareceu há cinco meses. Ele relata que, quando a úlcera surgiu, morava em uma chácara no interior do estado da Bahia. No inicio, era uma lesão parecida com a picada de um inseto, mas depois a úlcera aumentou o tamanho e começou a doer. Atualmente ao examinar, observa-se uma úlcera na perna esquerda, com bordas elevadas e infiltradas, com a presença de secreção amarelada. Na história fa1niliar, a filha está em tratamento para leishmaniose cutânea. Ao exame físico, verificam-se PA = 120 mmHg x 80 mmHg, FC = 90 bpm, Sat02 = 97% em ar ambiente, FR = 19 irpm, e o paciente encontra-se anictérico, acianótico, afebril e hipocorado 1+/4+.

Disponível em: <https ://medifoco.com.br/>. Acesso em: 10 nov. 2020
Em relação a esse caso clínico e a sua principal suspeita diagnóstica; e com base nos conhecimentos médicos correlatos, julgue os itens a seguir.
O paciente descrito deve ser tratado, e após a negativação da reação de Montenegro, pode-se confirmar a alta por cura da doença.
Provas
Um paciente de 40 anos de idade agendou uma consulta em unidade básica de saúde por causa de uma úlcera na perna esquerda, que apareceu há cinco meses. Ele relata que, quando a úlcera surgiu, morava em uma chácara no interior do estado da Bahia. No inicio, era uma lesão parecida com a picada de um inseto, mas depois a úlcera aumentou o tamanho e começou a doer. Atualmente ao examinar, observa-se uma úlcera na perna esquerda, com bordas elevadas e infiltradas, com a presença de secreção amarelada. Na história fa1niliar, a filha está em tratamento para leishmaniose cutânea. Ao exame físico, verificam-se PA = 120 mmHg x 80 mmHg, FC = 90 bpm, Sat02 = 97% em ar ambiente, FR = 19 irpm, e o paciente encontra-se anictérico, acianótico, afebril e hipocorado 1+/4+.

Disponível em: <https ://medifoco.com.br/>. Acesso em: 10 nov. 2020
Em relação a esse caso clínico e a sua principal suspeita diagnóstica; e com base nos conhecimentos médicos correlatos, julgue os itens a seguir.
A melhor forma de prevenção dessa doença é o controle vetorial, a fim de eliminar o reservatório, diagnosticar e tratar precocemente todos os casos e vacinar de acordo com as campanhas de imunização de todo o País.
Provas
Um paciente de 40 anos de idade agendou uma consulta em unidade básica de saúde por causa de uma úlcera na perna esquerda, que apareceu há cinco meses. Ele relata que, quando a úlcera surgiu, morava em uma chácara no interior do estado da Bahia. No inicio, era uma lesão parecida com a picada de um inseto, mas depois a úlcera aumentou o tamanho e começou a doer. Atualmente ao examinar, observa-se uma úlcera na perna esquerda, com bordas elevadas e infiltradas, com a presença de secreção amarelada. Na história fa1niliar, a filha está em tratamento para leishmaniose cutânea. Ao exame físico, verificam-se PA = 120 mmHg x 80 mmHg, FC = 90 bpm, Sat02 = 97% em ar ambiente, FR = 19 irpm, e o paciente encontra-se anictérico, acianótico, afebril e hipocorado 1+/4+.

Disponível em: <https ://medifoco.com.br/>. Acesso em: 10 nov. 2020
Em relação a esse caso clínico e a sua principal suspeita diagnóstica; e com base nos conhecimentos médicos correlatos, julgue os itens a seguir.
Há necessidade de notificação compulsória para o caso mencionado.
Provas
Um paciente de 40 anos de idade agendou uma consulta em unidade básica de saúde por causa de uma úlcera na perna esquerda, que apareceu há cinco meses. Ele relata que, quando a úlcera surgiu, morava em uma chácara no interior do estado da Bahia. No inicio, era uma lesão parecida com a picada de um inseto, mas depois a úlcera aumentou o tamanho e começou a doer. Atualmente ao examinar, observa-se uma úlcera na perna esquerda, com bordas elevadas e infiltradas, com a presença de secreção amarelada. Na história fa1niliar, a filha está em tratamento para leishmaniose cutânea. Ao exame físico, verificam-se PA = 120 mmHg x 80 mmHg, FC = 90 bpm, Sat02 = 97% em ar ambiente, FR = 19 irpm, e o paciente encontra-se anictérico, acianótico, afebril e hipocorado 1+/4+.

Disponível em: <https ://medifoco.com.br/>. Acesso em: 10 nov. 2020
Em relação a esse caso clínico e a sua principal suspeita diagnóstica; e com base nos conhecimentos médicos correlatos, julgue os itens a seguir.
O melhor tratamento para esse caso é o tópico.
Provas
Caderno Container