Foram encontradas 350 questões.
Os critérios de Ranson são frequentemente utilizados para a definição prognóstica nas pancreatites agudas. Sendo assim, assinale a alternativa que apresenta o parâmetro que deve ser utilizado na admissão hospitalar.
Provas
Um paciente de 55 anos de idade, portador de hipertensão arterial (enalapril 10 mg/dia), diabetes melito (glimepirida 2 mg/dia) e transtorno bipolar (lítio 300 mg/dia e imipramina 100 mg/dia), foi levado, por seus familiares, à emergência hospitalar, devido à agitação, a alucinações, a tremores, a rubor, a mioclonias e à taquipneia.
Com base nesse caso hipotético, assinale a alternativa que apresenta o diagnóstico mais provável.
Provas
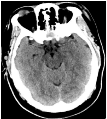
Uma mulher de quarenta anos de idade, obesa, hipertensa e tabagista, em uso irregular de hidroclorotiazida e anticoncepcional oral, compareceu ao pronto-socorro, queixando-se de cefaleia súbita de forte intensidade, iniciada há cerca de 12 h e associada a episódio de vômito. Refere que apresentou episódios semelhantes nas últimas duas semanas, de menor intensidade. Realizou a tomografia de crânio mostrada a seguir.

Internet: © 2017 Elliot K. Fishman, MD.
Com base nesse caso hipotético, assinale a alternativa que apresenta a conduta a ser adotada inicialmente.
Provas
Um paciente foi internado na enfermaria de um hospital geral há cerca de 36 h, com dor torácica, febre e dispneia. No prontuário do paciente, lê-se “dezoito anos de idade, anemia falciforme”. O paciente está recebendo dieta geral + hidratação com soro fisiológico (1.000 mL/24 h) e analgesia com dipirona de seis em seis horas. Ao exame físico, desidratado+, ictérico+, hipocorado++, com fácies de dor, PA de 100 x 60 mmHg, FC de 105 bmp, 38 ⁰C de temperatura, FR de 26 mrm e sat. de O2 de 92% em ar ambiente. Laboratório: Hb 7.5 g/dl; leucócitos 14.360/mm3 ; e plaquetas 356.000/mm3 . Radiografia do tórax revelou infiltrado interstício-alveolar em terços inferiores dos pulmões.
Com base nessa situação hipotética, assinale a alternativa correta.
Provas
Uma jovem de 23 anos de idade, em viagem de família para um sítio, foi levada ao pronto-socorro por familiares após quadro súbito de náusea, vômitos e dor abdominal, minutos após ser picada por inseto que não conseguiu identificar. Ao exame: mau estado geral, desidratada +/4, anictérica, agitada, sudorética, com lesões eritematopruriginosas em pele, PA de 120 x 60 mmHg, FC de 130 bpm, sibilos difusos, FR de 36 irpm e abdome doloroso à palpação profunda, sem edemas de membros inferiores.
Com base nessa situação hipotética, assinale a alternativa que apresenta a medida inicial a ser adotada.
Provas
Um paciente de 65 anos de idade, tabagista e etilista, em acompanhamento por carcinoma espinocelular de orofaringe avançado, foi internado com quadro de febre, queda do estado geral e dor local muito intensa. Durante a internação, apresentou melhora do quadro, no entanto, evoluiu com quadro de sonolência. Ao exame, encontrava-se hidratado, corado, afebril, com Glasgow 9, pupilas mióticas, FC de 65 bpm, PA de 110 x 80 mmHg, MV+ bilateralmente, sem ruídos adventícios, FR de 10 irpm, sat. de O2 de 92% em ar ambiente, sem visceromegalias, peristalse diminuída e membros inferiores sem sinais de empastamento.
Com base nesse caso hipotético, assinale a alternativa que apresenta a conduta a ser adotada.
Provas
Quanto à síndrome da fragilidade do idoso, é correto afirmar que
Provas
Um paciente de 38 anos de idade foi internado na UTI devido à meningite criptocócica e recebeu o diagnóstico de AIDS nessa internação. Encontra-se em coma e sob ventilação mecânica, tendo sido iniciado o tratamento com anfotericina há dez dias. O paciente vem mantendo estabilidade hemodinâmica, sem sinais de depleção do volume intravascular, e não se observam edemas. O nível de consciência do paciente deteriorou nas últimas 24 h e foi constatada hiponatremia. Os exames laboratoriais são: sódio plasmático 118 mg/dl; potássio plasmático 4 mg/dl; osmolalidade plasmática 253 mOsm/l; osmolalidade urinária 500 mOsm/l; e sódio urinário 72 mEq/l.
Com base nesse caso hipotético, assinale a alternativa que apresenta a causa mais provável para a hiponatremia.
Provas
Um paciente de 52 anos de idade chegou ao serviço de emergência com história de duas horas de dor precordial opressiva, com irradiação para membro superior esquerdo e mandíbula, associada a mal-estar, a náuseas e à sudorese. Ao exame físico, apresentava ritmo cardíaco regular, pulmões limpos, PA de 120 x 80 mmHg e FC de 86 bpm. Realizou o eletrocardiograma mostrado a seguir.

Com base nesse caso hipotético, assinale a alternativa correta quanto ao diagnóstico e à melhor conduta inicial.
Provas
Com relação às doenças bolhosas da pele, assinale a alternativa correta.
Provas
Caderno Container