Foram encontradas 40 questões.
Qual o sítio esquelético onde mais frequentemente ocorre tuberculose?
Provas
A comissura mais afetada na sindactilia é a:
Provas
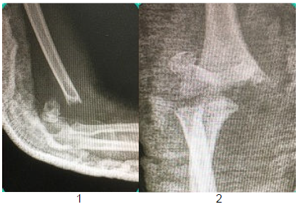
Paciente de 4 anos sofre queda do pula-pula e vem ao pronto-socorro com dor e deformidade do cotovelo direito. Faz as seguintes radiografias:

Fonte: COHEN, Moisés. Tratado de ortopedia. São Paulo: Editora Roca, 2007.
Qual é, respectivamente, a conduta e o nervo mais frequentemente lesado nesse tipo de fratura?
Provas
O pé torto congênito é um dos defeitos congênitos mais comuns dos pés e inclui alterações nos ligamentos, músculos, tendões e ossos. Qual afirmativa a seguir está em desacordo ao pé torto congênito?
Provas
Na ortopedia, diversas manobras são utilizadas no tratamento e redução de luxações e subluxações. A manobra de Spaso é utilizada no tratamento da:
Provas
INSTRUÇÃO: Leia, com atenção, o texto 03 e, a seguir, responda às questões que a ele se referem.
Texto 03

Disponível em: https://br.pinterest.com/pin/157766793178776005/. Acesso em: 22 maio 2024.
O adjetivo “mió”, em relação ao adjetivo “bão”, quanto ao grau, estabelece uma relação de
Provas
INSTRUÇÃO: Leia, com atenção, o texto 03 e, a seguir, responda às questões que a ele se referem.
Texto 03

Disponível em: https://br.pinterest.com/pin/157766793178776005/. Acesso em: 22 maio 2024.
O fenômeno linguístico que se pode constatar na citação de Guimarães Rosa, considerando os usos de “bão e “mió”, é o da variação
Provas
INSTRUÇÃO: Leia, com atenção, o texto 02 e, a seguir, responda às questões que a ele se referem.
Texto 02
Influencer

Disponível em: https://bichinhosdejardim.com/influencer/. Acesso em: 22 maio de 2024.
A personagem Joana, em sua última fala, mostra-se
Provas

Provas
Fonte: LAUDON, Kenneth; LAUDON, Jane. Sistemas de informação gerenciais. São Paulo: Pearson Prentice Hall, 2010, p. 16.
Uma rede corporativa interna baseada na tecnologia da internet que não permite o acesso de usuários autorizados externos à organização é denominada:
Provas
Caderno Container