Foram encontradas 175 questões.
Foi atendido em um hospital veterinário um gato, sem raça definida, com 3,6 kg e dois anos de idade, não castrado, com histórico de atropelamento, dificuldade respiratória e emagrecimento progressivo há, aproximadamente, 15 dias. Após exame clínico, constataram-se dispneia, abafamento dos batimentos cardíacos e sons de borborigmos na região torácica. Para auxiliar no diagnostico, foi realizada uma radiografia simples, cuja imagem está apresentada na figura abaixo.

Exame radiográfico em projeção lateral
Com base nas informações do caso e na imagem radiográfica, o provável diagnóstico é de
Provas
Um criador de ovinos procurou o médico veterinário, alegando que um de seus reprodutores apresentava um aumento do testículo. Ao realizar a consulta, o médico veterinário observou aumento unilateral da bolsa escrotal e alterações testiculares compatíveis com epididimite. Ao realizar o espermograma, observou um sêmen de baixa qualidade e, conversando com o criador, descobriu que esse animal estava com baixa fertilidade e que houve um aumento no número de abortos na propriedade. Além disso, foi realizado o teste rosa de bengala, que apresentou resultado positivo. O quadro apresentado indica provável diagnóstico de
Provas
Uma ovelha fêmea, de aproximadamente 49 kg, desvermifugada recentemente, veio a óbito após apresentar mucosas hipocoradas, apatia, diminuição da ingesta e com histórico de parto distócico no mês anterior. Na necropsia do animal, foram encontrados edema submandibular e larvas no conteúdo abomasal. Foi realizada a coleta de material do intestino grosso e do abomaso do ovino bem como de fezes do reto, armazenadas corretamente para o envio ao laboratório de parasitologia para avaliação. No laboratório, após a coprocultura, foram identificadas larvas com células intestinais retangulares, extremidade anterior arredondada, cauda afilada arredondada e cauda da bainha média com filamento. Diante do quadro apresentado, o provável gênero do parasita causador do óbito do animal é
Provas
Em uma análise ultrassonográfica, a presença de artefatos se refere à exibição e às informações que não transmitem exatamente a verdadeira imagem da área examinada. A informação gerada pode ser errônea, superficial ou deslocada. É importante reconhecer esses artefatos, a fim de evitar falsas interpretações. Analise a figura a baixo.

O tipo de artefato corresponde à
Provas
A artrite encefalite caprina é uma síndrome degenerativa progressiva lenta e multissistêmica, que afeta, principalmente, os sistemas nervoso, articular e mamário, acarretando grandes prejuízos aos criadores da espécie. O agente etiológico, a principal forma de transmissão e o método diagnóstico são, respectivamente,
Provas
Baseado no Manual Técnico do Ministério da Agricultura, Pecuária e Abastecimento (MAPA) do controle da raiva nos herbívoros, o diagnóstico laboratorial é essencial para a definição de foco. Assim, somente, será considerada a ocorrência de um foco de raiva quando houver um ou mais casos da doença confirmados mediante testes laboratoriais. O correto diagnóstico da raiva depende da execução adequada de colheita, acondicionamento e envio do material biológico dos animais suspeitos dessa enfermidade. Sobre a temática da raiva em bovinos, considere as afirmativas abaixo.
I A colheita das amostras de animais suspeitos de estar acometidos de raiva deverá ser efetuada por médico veterinário ou por profissional habilitado por ele, que tenha recebido treinamento adequado e esteja devidamente imunizado.
II Em caso de vários animais mortos com sintomas de encefalite, devem ser coletadas amostras do encéfalo e da medula espinhal de, pelo menos, metade dos animais suspeitos.
III As amostras devem ser enviadas e/ou entregues ao laboratório preferencialmente até 72 horas após a colheita, em caixa isotérmica perfeitamente vedada e com o símbolo de risco biológico.
IV O material coletado deve ser acondicionado em frasco com tampa ou saco plástico duplo, hermeticamente fechado, identificado e colocado dentro de uma caixa isotérmica, que deverá conter gelo reciclável para manter a temperatura entre 2ºC e 4ºC.
Entre as afirmativas, estão corretas
Provas
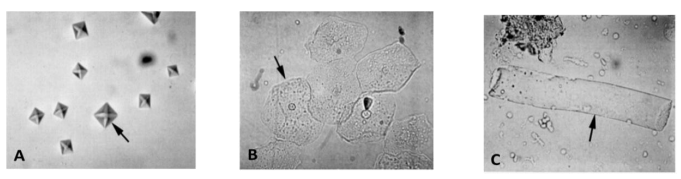
A urinálise fornece informações valiosas sobre o funcionamento do sistema urinário, sendo essencial sua realização no diagnóstico de muitas enfermidades. É composta por três exames: físico, químico e análise de sedimento. Considere as imagens abaixo, obtidas do sedimento urinário de um cão.

As figuras A, B e C representam, respectivamente,
Provas
Um cão macho, sem raça definida, pesando 14 Kg e com 10 anos de idade, foi trazido para atendimento veterinário. Na anamnese, a proprietária relatou que o cão estava prostrado e não conseguia se levantar. No exame clínico, constatou-se que o animal apresentava grande quantidade de carrapatos, mucosas hipocoradas e ascite evidente. O paciente foi encaminhado para ultrassonografia, na qual se evidenciou grande quantidade de líquido livre no abdômen. Foi realizada abdominocentese e drenados 1,5 l de efusão sanguinolenta. Na análise da efusão, os valores apresentaram: eritrócitos > 40.000, leucócitos > 10.000, proteína > 3,0 g/L, fibrinogênio > 75 mg/dL, lactato > 10 mg/dL e presença de bactérias. O quadro descrito é indicativo de
Provas
O processamento do leite após a seleção e a recepção em qualquer estabelecimento compreende vários processos aprovados pelo Departamento de Inspeção de Produtos de Origem Animal. A respeito desses processos, considere as afirmativas abaixo.
I Apenas o leite tipo A destinado ao processamento industrial deve ser submetido à filtração antes do pré-beneficiamento, que inclui os tratamentos térmicos de pasteurização, ultra-alta temperatura (UAT ou UHT) ou esterilização e etapa de envase, e beneficiamento, que consiste na filtração sob pressão, clarificação, bactofugação, microfiltração, padronização do teor de gordura, termização, homogeneização e refrigeração.
II Todo leite destinado ao processamento industrial deve ser submetido à filtração antes de qualquer operação de pré-beneficiamento, que consiste na filtração sob pressão, clarificação, bactofugação, microfiltração, padronização do teor de gordura, termização, homogeneização e refrigeração; e de beneficiamento, que inclui os tratamentos térmicos de pasteurização, ultra-alta temperatura (UAT ou UHT) ou esterilização e etapa de envase.
III É permitido o emprego de substâncias químicas na conservação do leite após o pré-beneficiamento, que inclui os tratamentos térmicos de pasteurização, ultra-alta temperatura (UAT ou UHT) ou esterilização e etapa de envase; e o beneficiamento, que consiste na filtração sob pressão, clarificação, bactofugação, microfiltração, padronização do teor de gordura, termização, homogeneização e refrigeração.
IV É proibido o emprego de substâncias químicas na conservação do leite antes e após o pré-beneficiamento, que consiste na filtração sob pressão, clarificação, bactofugação, microfiltração, padronização do teor de gordura, termização, homogeneização e refrigeração; e o beneficiamento, que inclui os tratamentos térmicos de pasteurização, ultra-alta temperatura (UAT ou UHT) ou esterilização e etapa de envase.
Entre as afirmativas, estão corretas
Provas
O RIISPOA é o regulamento que disciplina a fiscalização e a inspeção industrial e sanitária de produtos de origem animal, no Brasil. A respeito do âmbito de atuação da inspeção, considere as afirmativas abaixo.
I A inspeção e a fiscalização de estabelecimentos de produtos de origem animal que realizem o comércio interestadual ou internacional são de competência do Departamento de Inspeção de Produtos de Origem Animal (DIPOA) e do Serviço de Inspeção Federal (SIF), vinculados ao Ministério da Agricultura, Pecuária e Abastecimento.
II A inspeção e a fiscalização nos estabelecimentos de produtos de origem animal que realizem comércio interestadual ou internacional poderão ser executadas pelos serviços de inspeção dos estados, do Distrito Federal e dos municípios, desde que haja reconhecimento da equivalência dos respectivos serviços junto ao Ministério da Agricultura, Pecuária e Abastecimento.
III Ficam sujeitos à inspeção e à fiscalização previstas no RIISPOA os animais destinados ao abate, a carne e seus derivados, o pescado e seus derivados, os ovos e seus derivados, o leite e seus derivados e os produtos de abelhas e seus derivados, comestíveis e não comestíveis, com adição ou não de produtos vegetais.
IV A inspeção e a fiscalização a que se refere o RIISPOA não são necessárias no momento ante mortem e post mortem dos animais bem como na manipulação, sendo recomendadas no âmbito comercial, no que se refere à conservação, ao acondicionamento, à embalagem, ao armazenamento, à expedição e ao trânsito de quaisquer matérias-primas e de produtos de origem animal.
Entre as afirmativas, estão corretas
Provas
Caderno Container