Foram encontradas 611 questões.
VALORES DE REFERÊNCIA | |||
Hb (hemoglobina) | 12-14 g/dL | Tempo protrombina (TP) | 11-12,5 seg. |
Ht (hematócrito) | 35-49% | Tempo de tromboplastina ativada (TTPA) | 30-43 seg. |
HCM | 26-34 g/L | R | < 1,2 |
VCM | 78-100fl | RNI | < 1,25 |
Reticulócitos | 25.000 – 75000 mm³ 0,5 – 1,5% | ||
Leucócitos | 5.000 – 10.000 mm³ | Eletroforese de hemoglobina | HbA1 > 95% HbA2 1,5 – 3,7% Hb fetal < 2% |
Plaquetas | 150.000 a 4000.000mm³ | ||
AST | 10-30 U/L | ||
Proteinúria | < 0,15g/24h | ALT | 10-40 U/L |
Fosfatase Alcalina | Homem 40 – 129 U/L Mulher 35 – 104 U/L | ||
Gama-GT | 7-50 UI/L | ||
Bilirrubina total | 0,2- 1,0 mg/dl | ||
Bilirrubina direta | 0,1 – 0,4 mg/dl | ||
Colesterol total | < 200mg/dL | Sódio | 135 – 145 mEq/L |
HDL colesterol | > 40 mg/dL | Potássio | 3,5 – 5,5 mEq/L |
LDL colesterol | < 130 mg/dL | Cálcio | 8,4 – 10 mg/dL |
Triglicérides | < 160 mg/dL | Cloreto | 98 – 106 mMol/L |
TIBC | 242 – 450 µg/dL | Lactato | 0,5 – 1, 6 mMol/L |
Ferro sérico | 30 – 160 µg/dL | Glicemia | 74-99 mg/dL |
Ferritina | 23-336ng/mL homen 11-306 ng/mL mulher | FSH | 5 – 30 mi/mL |
LH | 5 – 25 mUI/mL | ||
Albumina | 3,5- 4,7 g/dL | Prolactina | 2 – 29 ng/mL |
TSH | 0,38-5,33 µUI/mL | ||
T4 livre | 0.9 – 1,8ng/dL | ||
Complemento C3 | 90-170mg/dL | ||
Lactatodesidrogenase | 140-271 U/L | PCR ultrasensível | < 0.3 mg/dL |
Creatinofosfoquinase (CK) | Homem < 171 U/L Mulher < 145 U/L | ||
Creatinina | 0,4 – 1,2 mg/dL | ||
Ureia | 15 – 45 mg/dL | ||
Haptoglobina | 30 – 230 mg/dL | ||
Gasometria arterial | pH 7,35 – 7,45 PO2 83 – 108 mmHg PCO2 32 – 48 mmHg HCO3 19 – 24 mmmol/L BE -2 – 3 mmol/L | Hemoglobina glicada (HbA1c) | Ate 6% |
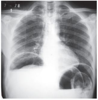
Homem, 41a, relata que há 1 hora apresentou dor súbita de forte intensidade, tipo pontada, no epigástrio, que irradiou para todo abdome. Refere náusea. Nega febre ou sintomas respiratórios. Exame físico: PA=128x76mmHg, FC= 102bmp, FR= 16irpm, oximetria de pulso (ar ambiente)= 99%, corado, hidratado e acianótico; Abdome: plano, tenso, doloroso à digitopercussão e à palpação superficial e profunda, com descompressão brusca dolorosa presente. Radiograma simples de abdome ortostático:

A CONDUTA É:
Provas
VALORES DE REFERÊNCIA | |||
Hb (hemoglobina) | 12-14 g/dL | Tempo protrombina (TP) | 11-12,5 seg. |
Ht (hematócrito) | 35-49% | Tempo de tromboplastina ativada (TTPA) | 30-43 seg. |
HCM | 26-34 g/L | R | < 1,2 |
VCM | 78-100fl | RNI | < 1,25 |
Reticulócitos | 25.000 – 75000 mm³ 0,5 – 1,5% | ||
Leucócitos | 5.000 – 10.000 mm³ | Eletroforese de hemoglobina | HbA1 > 95% HbA2 1,5 – 3,7% Hb fetal < 2% |
Plaquetas | 150.000 a 4000.000mm³ | ||
AST | 10-30 U/L | ||
Proteinúria | < 0,15g/24h | ALT | 10-40 U/L |
Fosfatase Alcalina | Homem 40 – 129 U/L Mulher 35 – 104 U/L | ||
Gama-GT | 7-50 UI/L | ||
Bilirrubina total | 0,2- 1,0 mg/dl | ||
Bilirrubina direta | 0,1 – 0,4 mg/dl | ||
Colesterol total | < 200mg/dL | Sódio | 135 – 145 mEq/L |
HDL colesterol | > 40 mg/dL | Potássio | 3,5 – 5,5 mEq/L |
LDL colesterol | < 130 mg/dL | Cálcio | 8,4 – 10 mg/dL |
Triglicérides | < 160 mg/dL | Cloreto | 98 – 106 mMol/L |
TIBC | 242 – 450 µg/dL | Lactato | 0,5 – 1, 6 mMol/L |
Ferro sérico | 30 – 160 µg/dL | Glicemia | 74-99 mg/dL |
Ferritina | 23-336ng/mL homen 11-306 ng/mL mulher | FSH | 5 – 30 mi/mL |
LH | 5 – 25 mUI/mL | ||
Albumina | 3,5- 4,7 g/dL | Prolactina | 2 – 29 ng/mL |
TSH | 0,38-5,33 µUI/mL | ||
T4 livre | 0.9 – 1,8ng/dL | ||
Complemento C3 | 90-170mg/dL | ||
Lactatodesidrogenase | 140-271 U/L | PCR ultrasensível | < 0.3 mg/dL |
Creatinofosfoquinase (CK) | Homem < 171 U/L Mulher < 145 U/L | ||
Creatinina | 0,4 – 1,2 mg/dL | ||
Ureia | 15 – 45 mg/dL | ||
Haptoglobina | 30 – 230 mg/dL | ||
Gasometria arterial | pH 7,35 – 7,45 PO2 83 – 108 mmHg PCO2 32 – 48 mmHg HCO3 19 – 24 mmmol/L BE -2 – 3 mmol/L | Hemoglobina glicada (HbA1c) | Ate 6% |
Mulher, 62a, procura atendimento com disúria há uma semana e febre há três dias. Antecedente pessoal: diabete melito. Exame físico: FC= 108 bpm, FR= 24 irpm, PA= 72x50 mmHg, T= 37,2°C, oximetria de pulso (ar ambiente)= 95%; corada, desidratada ++/4+, pulsos regulares e simétricos; ausculta cardiopulmonar sem alterações; abdome normotenso, demonstra desconforto à palpação profunda de flanco esquerdo, sem sinais de peritonite; neurológico: sonolenta, responde a estímulos verbais, sem déficits neurológicos focais. Glicemia capilar= 128 mg/dL. Solicitada a dosagem de lactato sérico e a coleta de duas hemoculturas por sítios diferentes de punção. Prescritas ceftriaxona intravenosa e expansão volêmica com solução salina isotônica (30ml/kg= 2.100ml). Após a infusão de 800 ml em 40 minutos, apresenta melhora da sonolência e FC= 94 bpm, FR= 22 irpm, PA= 80x52 mmHg. A CONDUTA EM RELAÇÃO AO MANEJO HEMODINÂMICO É:
Provas
VALORES DE REFERÊNCIA | |||
Hb (hemoglobina) | 12-14 g/dL | Tempo protrombina (TP) | 11-12,5 seg. |
Ht (hematócrito) | 35-49% | Tempo de tromboplastina ativada (TTPA) | 30-43 seg. |
HCM | 26-34 g/L | R | < 1,2 |
VCM | 78-100fl | RNI | < 1,25 |
Reticulócitos | 25.000 – 75000 mm³ 0,5 – 1,5% | ||
Leucócitos | 5.000 – 10.000 mm³ | Eletroforese de hemoglobina | HbA1 > 95% HbA2 1,5 – 3,7% Hb fetal < 2% |
Plaquetas | 150.000 a 4000.000mm³ | ||
AST | 10-30 U/L | ||
Proteinúria | < 0,15g/24h | ALT | 10-40 U/L |
Fosfatase Alcalina | Homem 40 – 129 U/L Mulher 35 – 104 U/L | ||
Gama-GT | 7-50 UI/L | ||
Bilirrubina total | 0,2- 1,0 mg/dl | ||
Bilirrubina direta | 0,1 – 0,4 mg/dl | ||
Colesterol total | < 200mg/dL | Sódio | 135 – 145 mEq/L |
HDL colesterol | > 40 mg/dL | Potássio | 3,5 – 5,5 mEq/L |
LDL colesterol | < 130 mg/dL | Cálcio | 8,4 – 10 mg/dL |
Triglicérides | < 160 mg/dL | Cloreto | 98 – 106 mMol/L |
TIBC | 242 – 450 µg/dL | Lactato | 0,5 – 1, 6 mMol/L |
Ferro sérico | 30 – 160 µg/dL | Glicemia | 74-99 mg/dL |
Ferritina | 23-336ng/mL homen 11-306 ng/mL mulher | FSH | 5 – 30 mi/mL |
LH | 5 – 25 mUI/mL | ||
Albumina | 3,5- 4,7 g/dL | Prolactina | 2 – 29 ng/mL |
TSH | 0,38-5,33 µUI/mL | ||
T4 livre | 0.9 – 1,8ng/dL | ||
Complemento C3 | 90-170mg/dL | ||
Lactatodesidrogenase | 140-271 U/L | PCR ultrasensível | < 0.3 mg/dL |
Creatinofosfoquinase (CK) | Homem < 171 U/L Mulher < 145 U/L | ||
Creatinina | 0,4 – 1,2 mg/dL | ||
Ureia | 15 – 45 mg/dL | ||
Haptoglobina | 30 – 230 mg/dL | ||
Gasometria arterial | pH 7,35 – 7,45 PO2 83 – 108 mmHg PCO2 32 – 48 mmHg HCO3 19 – 24 mmmol/L BE -2 – 3 mmol/L | Hemoglobina glicada (HbA1c) | Ate 6% |
Adolescente, 16a, saudável, necessita atualizar a carteira vacinal para poder cumprir seis meses de intercâmbio estudantil para a Bélgica. Há comprovação de ter recebido três doses da vacina de hepatite B na infância. A ORIENTAÇÃO SERÁ:
Provas
Em relação ao tratamento da endometriose, pode-se afirmar que:
Provas
Mulher, 68 anos, trazida para emergência por quadro de prostração, fraqueza e torpor há dois dias. Antecedentes pessoais: diabetes há 40 anos, em uso de insulina e metformina, hipertensão arterial em uso de hidroclorotiazida e atenolol. Como estava se alimentando pouco, algumas doses de insulina deixaram de ser aplicadas.
Exame físico: Altura 1,60 m; Peso 68 Kg; FC 94 bpm; PA 112/70 mm Hg; T 37,4º.C; descorada +/4; desidratada ++/4. Ausculta pulmonar: roncos em ambas as bases pulmonares. Abdômen: dor difusa à palpação, sem hepatomegalia e esplenomegalia. Exames laboratoriais: glicemia 648 mg/dL; creatinina1,5 mg/dL; ureia 52 mg/dL; sódio 146 mEq/L; potássio 2,9 mEq/L; Cloro 105 mEq/L; hemoglobina 10,2 g/L; leucócitos 6.800/mm3 . Gasometria venosa: ph 7,32; HCO3 20 mEq/L; SO2 91,6%; pCO2 37mmHg. Radiograma de tórax sem alterações significativas.
O diagnóstico e conduta são:
Provas
Mulher 34a, após queda do terceiro andar de um prédio, é trazida pelo SAMU. Apresenta-se em prancha longa rígida; com intubação orotraqueal, colar cervical e head block; dois acessos venosos calibrosos. Na entrada do Pronto Socorro apresenta: PA= 67x42mmHg; FC= 139 bpm; oximetria de pulso (FiO2 100%)= 100%; FAST (Focused Assessment with Sonography for Trauma) positivo em duas janelas; Sonda vesical apresentou hematuria. Foi realizada reanimação volêmica, com estabilidade hemodinâmica transitória, sendo indicada laparotomia exploradora onde se evidenciou sangramento em mesentério, lesão esplênica não sangrante e um hematoma na Zona II, à esquerda. Realizada ligadura do vaso do mesentério para o controle do sangramento e verificou-se após que o hematoma aumentou de tamanho. A conduta, a seguir, é:
Provas
São doenças da infância com manifestações cutâneas exantemáticas exceto:
Provas
A ventilação para entubação em uma ressucitaçãoo cardiopulmonar deve ser:
Provas
A Resolução CFM 1995/2012 define as diretivas antecipadas de vontade (DAV) como o conjunto de desejos manifestados pelo paciente, sobre cuidados e tratamentos que quer, ou não, receber no momento em que estiver incapacitado de expressar, livre e autonomamente, sua vontade. ACERCA DA DAV, É CORRETO AFIRMAR QUE:
Provas
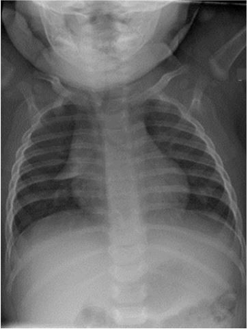
Menino, 6 meses, comparece ao pronto-socorro com história de febre, obstrução nasal, coriza, e tosse há 3 dias, e cansaço há um dia. Nega vômitos ou inapetência. Exame físico: bom estado geral, corado, hidratado, acianótico, dispneico, T=36,2 ºC, FC=163bpm, FR=71irpm, PA=80x45 mmHg, oximetria (ar ambiente) = 91%, pulsos cheios, enchimento capilar=2 segundos; Otocospia: membranas timpânicas translucidas e sem hiperemia; Pulmão: murmúrio vesicular diminuído à direita com raros sibilos bilateralmente; Coração: ritmo duplo regular sem sopros, bulhas normofonéticas. Radiograma de tórax:

ALÉM DE INTERNAR E OFERTAR OXIGÊNIO, A CONDUTA É:
Provas
Caderno Container