Foram encontradas 60 questões.
Qual a neoplasia esquelética benigna mais comum?
Provas
O tipo de tumor ósseo cuja característica clínica mais relevante é a dor noturna, que melhora após uso de aspirina é o
Provas
Uma lesão única, do tipo vidro fosco, localizada no fêmur, é característica de
Provas
O aspecto radiológico caracterizado por “nidus hiperlucente” é um sinal clássico observado no
Provas
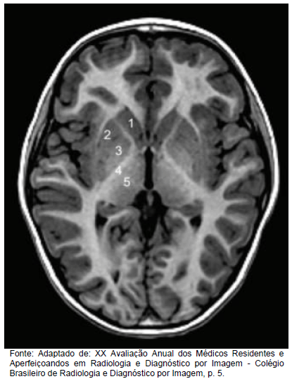
Analise a imagem abaixo.

Marque a opção em que as estruturas indicadas nessa imagem estão corretamente nomeadas.
Provas
Entre as condições a seguir, qual apresenta maior risco de esclerose nefrogênica sistêmica após o uso de meio de contraste à base de gadolínio?
Provas
Numa radiografia convencional de tórax, o efeito anódico é utilizado para
Provas
Preencha as lacunas abaixo.
Os meios de contraste iodados com menor efeito colateral são o e o .
A sequência de palavras que preenche corretamente as lacunas é:
Provas
Leia o período a seguir.
O trabalho não só traz alegria, como também prosperidade.
Considerando o período analisado, é correto afirmar que a conjunção apresentada é
Provas
Assinale a opção em que a oração sublinhada foi classificada incorretamente.
Provas
Caderno Container